Telefon:
+49 (0)241 95 163 153
Fax:
+49 (0)241 95 163 155
E-Mail:
orders@antikoerper-online.de

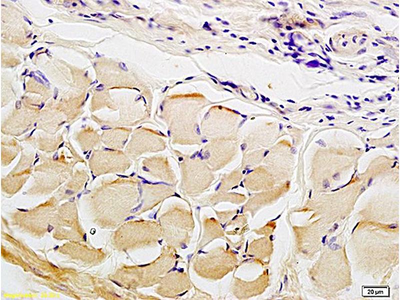
CTHRC1 Antikörper (AA 31-130)

Der Kaninchen Polyklonal anti-CTHRC1 Antikörper wird verwendet zum Nachweis von CTHRC1 in Proben von Human und Ratte. Er wurde validiert für WB, ELISA, IF (cc), IF (p), IHC (p) und IHC (fro).
Produktnummer ABIN759281
357,70 €
Zzgl. Versandkosten 20,00 € und MwSt
100 μL
Lieferung nach: Deutschland
Lieferung in 8 bis 12 Werktagen

Kurzübersicht für CTHRC1 Antikörper (AA 31-130) (ABIN759281)

Target

Alle CTHRC1 Antikörper anzeigen
CTHRC1 (Collagen Triple Helix Repeat Containing 1 (CTHRC1))

Reaktivität

  • 57
  • 28
  • 18
  • 2
  • 2
  • 2
  • 2
  • 2
  • 1
  • 1
  • 1
Human, Ratte

Wirt

  • 46
  • 11
  • 3
Kaninchen

Klonalität

  • 50
  • 10
Polyklonal

Konjugat

  • 24
  • 7
  • 5
  • 4
  • 2
  • 1
  • 1
  • 1
  • 1
  • 1
  • 1
  • 1
  • 1
  • 1
  • 1
  • 1
  • 1
  • 1
  • 1
  • 1
  • 1
  • 1
  • 1
Dieser CTHRC1 Antikörper ist unkonjugiert

Applikation

  • 43
  • 25
  • 13
  • 12
  • 12
  • 8
  • 6
  • 4
  • 2
  • 2
  • 2
  • 1
  • 1
Western Blotting (WB), ELISA, Immunofluorescence (Cultured Cells) (IF (cc)), Immunofluorescence (Paraffin-embedded Sections) (IF (p)), Immunohistochemistry (Paraffin-embedded Sections) (IHC (p)), Immunohistochemistry (Frozen Sections) (IHC (fro))
  • Bindungsspezifität

    • 14
    • 10
    • 6
    • 6
    • 5
    • 3
    • 3
    • 2
    • 1
    • 1
    • 1
    • 1
    • 1
    AA 31-130

    Spezifität

    This antibody will recognize all three isoform variants of this protein.

    Kreuzreaktivität

    Human, Ratte

    Homologie

    Mouse,Dog,Cow,Horse,Rabbit

    Aufreinigung

    Purified by Protein A.

    Immunogen

    KLH conjugated synthetic peptide derived from human CTHRC1

    Isotyp

    IgG
  • Applikationshinweise

    WB 1:300-5000
    ELISA 1:500-1000
    IHC-P 1:200-400
    IHC-F 1:100-500
    IF(IHC-P) 1:50-200
    IF(IHC-F) 1:50-200
    IF(ICC) 1:50-200

    Beschränkungen

    Nur für Forschungszwecke einsetzbar
  • Format

    Liquid

    Konzentration

    1 μg/μL

    Buffer

    0.01M TBS( pH 7.4) with 1 % BSA, 0.02 % Proclin300 and 50 % Glycerol.

    Konservierungsmittel

    ProClin

    Vorsichtsmaßnahmen

    This product contains ProClin: a POISONOUS AND HAZARDOUS SUBSTANCE, which should be handled by trained staff only.

    Lagerung

    4 °C,-20 °C

    Informationen zur Lagerung

    Shipped at 4°C. Store at -20°C for one year. Avoid repeated freeze/thaw cycles.

    Haltbarkeit

    12 months
  • Target

    CTHRC1 (Collagen Triple Helix Repeat Containing 1 (CTHRC1))

    Andere Bezeichnung

    CTHRC1

    Hintergrund

    Synonyms: Collagen triple helix repeat-containing protein 1, Protein NMTC1, CTHRC1, UNQ762/PRO1550

    Background: CTHRC1 is a protein that may play a role in the cellular response to arterial injury through involvement in vascular remodeling. Mutations at this locus have been associated with Barrett esophagus and esophageal adenocarcinoma. Alternatively spliced transcript variants have been described.

    Gen-ID

    115908

    UniProt

    Q96CG8

    Pathways

    Tube Formation
Sie sind hier:
Chat with us!