Telefon:
+49 (0)241 95 163 153
Fax:
+49 (0)241 95 163 155
E-Mail:
orders@antikoerper-online.de

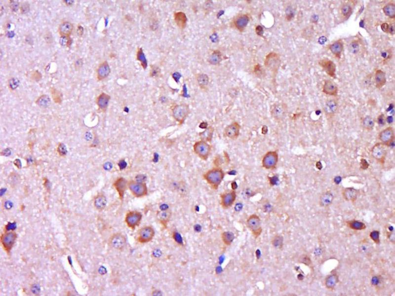
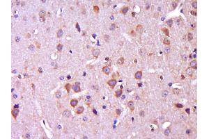
CTNNBIP1 Antikörper (AA 3-70)

Dieser Kaninchen Polyklonal Antikörper detektiert spezifisch CTNNBIP1 in WB, ELISA, IF (cc), IF (p), IHC (fro) und IHC (p). Es zeigt Reaktivität gegenüber Proben von Human und Maus. Es wurde in 2+ Publikationen zitiert.
Produktnummer ABIN753748
357,70 €
Zzgl. Versandkosten 20,00 € und MwSt
100 μL
Lieferung nach: Deutschland
Lieferung in 8 bis 12 Werktagen

Kurzübersicht für CTNNBIP1 Antikörper (AA 3-70) (ABIN753748)

Target

Alle CTNNBIP1 Antikörper anzeigen
CTNNBIP1 (Catenin, beta Interacting Protein 1 (CTNNBIP1))

Reaktivität

Human, Maus

Wirt

  • 46
  • 3
Kaninchen

Klonalität

  • 34
  • 15
Polyklonal

Konjugat

  • 15
  • 3
  • 2
  • 2
  • 2
  • 2
  • 2
  • 2
  • 2
  • 1
  • 1
  • 1
  • 1
  • 1
  • 1
  • 1
  • 1
  • 1
  • 1
  • 1
  • 1
  • 1
  • 1
  • 1
  • 1
  • 1
Dieser CTNNBIP1 Antikörper ist unkonjugiert

Applikation

  • 36
  • 14
  • 13
  • 12
  • 12
  • 8
  • 8
  • 6
  • 3
  • 2
  • 2
  • 2
  • 2
  • 2
Western Blotting (WB), ELISA, Immunofluorescence (Cultured Cells) (IF (cc)), Immunofluorescence (Paraffin-embedded Sections) (IF (p)), Immunohistochemistry (Frozen Sections) (IHC (fro)), Immunohistochemistry (Paraffin-embedded Sections) (IHC (p))
  • Bindungsspezifität

    • 14
    • 13
    • 1
    AA 3-70

    Kreuzreaktivität

    Human, Maus

    Homologie

    Rat,Cow,Horse,Chicken,Rabbit

    Aufreinigung

    Purified by Protein A.

    Immunogen

    KLH conjugated synthetic peptide derived from human CTNNBIP1

    Isotyp

    IgG
  • Applikationshinweise

    WB 1:300-5000
    ELISA 1:500-1000
    IHC-P 1:200-400
    IHC-F 1:100-500
    IF(IHC-P) 1:50-200
    IF(IHC-F) 1:50-200
    IF(ICC) 1:50-200

    Beschränkungen

    Nur für Forschungszwecke einsetzbar
  • Format

    Liquid

    Konzentration

    1 μg/μL

    Buffer

    0.01M TBS( pH 7.4) with 1 % BSA, 0.02 % Proclin300 and 50 % Glycerol.

    Konservierungsmittel

    ProClin

    Vorsichtsmaßnahmen

    This product contains ProClin: a POISONOUS AND HAZARDOUS SUBSTANCE, which should be handled by trained staff only.

    Lagerung

    4 °C,-20 °C

    Informationen zur Lagerung

    Shipped at 4°C. Store at -20°C for one year. Avoid repeated freeze/thaw cycles.

    Haltbarkeit

    12 months
  • Qi, Chen, Cheng, Huang, Xiang, Li, Long, Zhu: "Targeting the Wnt-Regulatory Protein CTNNBIP1 by micro RNA-214 Enhances the Stemness and Self-Renewal of Cancer Stem-Like Cells in Lung Adenocarcinomas." in: Stem cells (Dayton, Ohio), (2015) (PubMed).

    Huang, Caputo, Noordmans, Yazdani, Monteiro, van den Born, van Goor, Heeringa, Korstanje, Hillebrands: "Identification of novel genes associated with renal tertiary lymphoid organ formation in aging mice." in: PloS one, Vol. 9, Issue 3, pp. e91850, (2015) (PubMed).

  • Target

    CTNNBIP1 (Catenin, beta Interacting Protein 1 (CTNNBIP1))

    Andere Bezeichnung

    CTNNBIP1

    Hintergrund

    Synonyms: ICAT, Beta-catenin-interacting protein 1, Inhibitor of beta-catenin and Tcf-4, CTNNBIP1

    Background: Prevents the interaction between CTNNB1 and TCF family members, and acts as negative regulator of the Wnt signaling pathway.

    Gen-ID

    56998

    UniProt

    Q9NSA3
Sie sind hier:
Chat with us!