Telefon:
+49 (0)241 95 163 153
Fax:
+49 (0)241 95 163 155
E-Mail:
orders@antikoerper-online.de

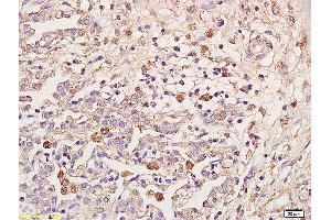
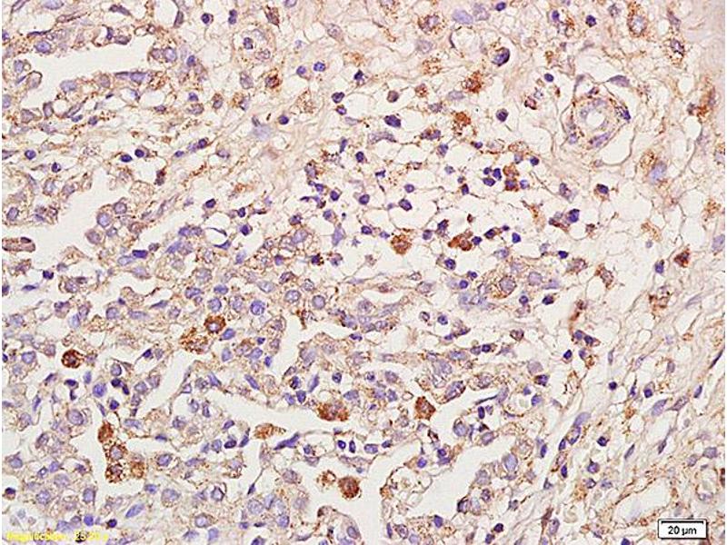
IL18RAP Antikörper (AA 15-120)

Es gibt 1 Publikation für dieses Produkt. Der Kaninchen Polyklonal anti-IL18RAP Antikörper wird verwendet zum Nachweis von IL18RAP in Proben von Human und Maus. Er wurde validiert für WB, ELISA, IP und FACS.
Produktnummer ABIN748058
357,70 €
Zzgl. Versandkosten 20,00 € und MwSt
100 μL
Lieferung nach: Deutschland
Lieferung in 8 bis 12 Werktagen

Kurzübersicht für IL18RAP Antikörper (AA 15-120) (ABIN748058)

Target

Alle IL18RAP Antikörper anzeigen
IL18RAP (Interleukin 18 Receptor Accessory Protein (IL18RAP))

Reaktivität

  • 67
  • 37
  • 7
  • 3
  • 1
Human, Maus

Wirt

  • 63
  • 12
Kaninchen

Klonalität

  • 65
  • 10
Polyklonal

Konjugat

  • 28
  • 7
  • 5
  • 4
  • 2
  • 2
  • 2
  • 2
  • 2
  • 2
  • 2
  • 2
  • 1
  • 1
  • 1
  • 1
  • 1
  • 1
  • 1
  • 1
  • 1
  • 1
  • 1
  • 1
  • 1
  • 1
  • 1
Dieser IL18RAP Antikörper ist unkonjugiert

Applikation

  • 52
  • 20
  • 19
  • 15
  • 10
  • 6
  • 4
  • 2
  • 1
  • 1
  • 1
  • 1
Western Blotting (WB), ELISA, Immunoprecipitation (IP), Flow Cytometry (FACS)
  • Bindungsspezifität

    • 15
    • 8
    • 4
    • 3
    • 2
    • 2
    • 2
    • 2
    • 1
    • 1
    • 1
    • 1
    • 1
    • 1
    • 1
    AA 15-120

    Kreuzreaktivität

    Human, Maus

    Homologie

    Rat,Dog,Horse

    Aufreinigung

    Purified by Protein A.

    Immunogen

    KLH conjugated synthetic peptide derived from human IL-18R beta

    Isotyp

    IgG
  • Applikationshinweise

    WB 1:300-5000
    ELISA 1:500-1000
    FCM 1:20-100
    IP(1-2 μg)

    Beschränkungen

    Nur für Forschungszwecke einsetzbar
  • Format

    Liquid

    Konzentration

    1 μg/μL

    Buffer

    0.01M TBS( pH 7.4) with 1 % BSA, 0.02 % Proclin300 and 50 % Glycerol.

    Konservierungsmittel

    ProClin

    Vorsichtsmaßnahmen

    This product contains ProClin: a POISONOUS AND HAZARDOUS SUBSTANCE, which should be handled by trained staff only.

    Lagerung

    4 °C,-20 °C

    Informationen zur Lagerung

    Shipped at 4°C. Store at -20°C for one year. Avoid repeated freeze/thaw cycles.

    Haltbarkeit

    12 months
  • Valente, Yoshida, Izadpanah, Delafontaine, Siebenlist, Chandrasekar: "Interleukin-18 enhances IL-18R/Nox1 binding, and mediates TRAF3IP2-dependent smooth muscle cell migration. Inhibition by simvastatin." in: Cellular signalling, Vol. 25, Issue 6, pp. 1447-56, (2013) (PubMed).

  • Target

    IL18RAP (Interleukin 18 Receptor Accessory Protein (IL18RAP))

    Andere Bezeichnung

    IL-18R Beta/CD218b

    Hintergrund

    Synonyms: ACPL, CD218b, IL-1R7, IL18RB, CDw218b, IL-1R-7, IL-18RAcP, IL-1RAcPL, IL-18Rbeta, IL-18R-beta, Interleukin-18 receptor accessory protein, IL-18 receptor accessory protein, Accessory protein-like, CD218 antigen-like family member B, IL-1R accessory protein-like, Interleukin-1 receptor 7, Interleukin-18 receptor accessory protein-like, Interleukin-18 receptor beta, IL18RAP, IL1R7

    Background: Required for the high affinity binding of interleukin 18 (IL-18) to its receptor complex (By similarity). Together with IL18R1 mediates IL-18-dependent activation of NF-kappa-B and JNK.

    Gen-ID

    8807

    UniProt

    O95256
Sie sind hier:
Chat with us!