Rekombinanter SDHA Antikörper (N-Term)
Kurzübersicht für Rekombinanter SDHA Antikörper (N-Term) (ABIN7826142)
Target
Alle SDHA Antikörper anzeigenAntikörpertyp
Reaktivität
Wirt
Klonalität
Konjugat
Applikation
Klon
-
-
Bindungsspezifität
- N-Term
-
Verwendungszweck
- SDHA antibody (HMV336)
-
Immunogen
- Recombinant protein encompassing a sequence within the N- terminus region of human SDHA. The exact sequence is proprietary.
-
Isotyp
- IgG
-
-
-
-
Applikationshinweise
- IHC 1:100-1:200
-
Kommentare
-
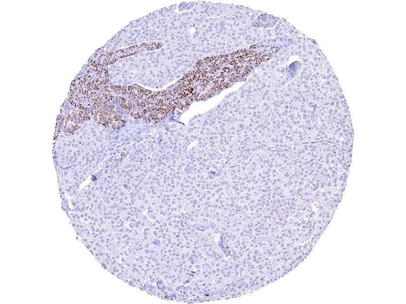
Positive Control: Appendix: A strong SDHA staining should be seen in epithelial cells and a weak to moderate staining should occur in lymphocytic cells.
Product Description/Background: SDHA antibody validated for immunohistochemistry on 76 different Normal Tissues
Negative Control: SDHA staining should be absent in all cells of a tumor with known SDHA expression loss.
-
Protokoll
- Freshly cut sections should be used (less than 10 days between cutting and staining). Heat-induced antigen retrieval for 5 minutes in an autoclave at 121 °C in pH 7,8 Target Retrieval Solution buffer. Apply the antibody at a dilution of 1:150 at 37 °C for 60 minutes.
-
Beschränkungen
- Nur für Forschungszwecke einsetzbar
-
-
-
Format
- Liquid
-
Lagerung
- 4 °C,-20 °C,-80 °C
-
Informationen zur Lagerung
- Antibody with azide - store at 2 to 8 C. Antibody without azide - store at -20 to -80 C. Antibody is stable for 24 months. Non- hazardous. No MSD required.
-
Haltbarkeit
- 24 months
-
-
- SDHA (Succinate Dehydrogenase Complex, Subunit A, Flavoprotein (Fp) (SDHA))
-
Andere Bezeichnung
- SDHA
-
Hintergrund
- Gene Alias: Succinate dehydrogenase complex flavoprotein subunit A , CMD1GG , FP , PGL5 , SDH1 , SDH2 , SDHF
-
UniProt
- P31040
Target
-