Rekombinanter ZNF217 Antikörper
Kurzübersicht für Rekombinanter ZNF217 Antikörper (ABIN7800894)
Target
Alle ZNF217 Antikörper anzeigenAntikörpertyp
Reaktivität
Wirt
Klonalität
Konjugat
Applikation
Güteklasse
Klon
-
-
Expressionssystem
- HEK-293 Cells
-
Verwendungszweck
- KO-Validated Zinc Finger Protein 217 Recombinant Rabbit mAb
-
Aufreinigung
- Affinity Purified
-
Immunogen
- A synthesized peptide derived from human ZNF217
-
Isotyp
- IgG
-
-
-
-
Applikationshinweise
- Western Blotting (WB): 1:1,000-1:5,000, Flow Cytometry (FCM): 1:200-1:2,000
-
Beschränkungen
- Nur für Forschungszwecke einsetzbar
-
-
-
Format
- Liquid
-
Buffer
- PBS (pH 7.4) containing 50% glycerol and 0.02% sodium azide.
-
Konservierungsmittel
- Sodium azide
-
Vorsichtsmaßnahmen
- This product contains Sodium azide: a POISONOUS AND HAZARDOUS SUBSTANCE which should be handled by trained staff only.
-
Lagerung
- -20 °C
-
Informationen zur Lagerung
- Store at -20 °C for one year.
-
Haltbarkeit
- 12 months
-
-
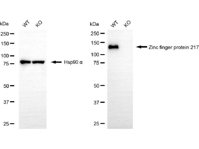
- ZNF217 (Zinc Finger Protein 217 (ZNF217))
-
Andere Bezeichnung
- Zinc Finger Protein 217
-
Molekulargewicht
- 115 kDa
-
Gen-ID
- 7764
-
UniProt
- O75362
Target
-