Telefon:
+49 (0)241 95 163 153
Fax:
+49 (0)241 95 163 155
E-Mail:
orders@antikoerper-online.de

USP48 Antikörper

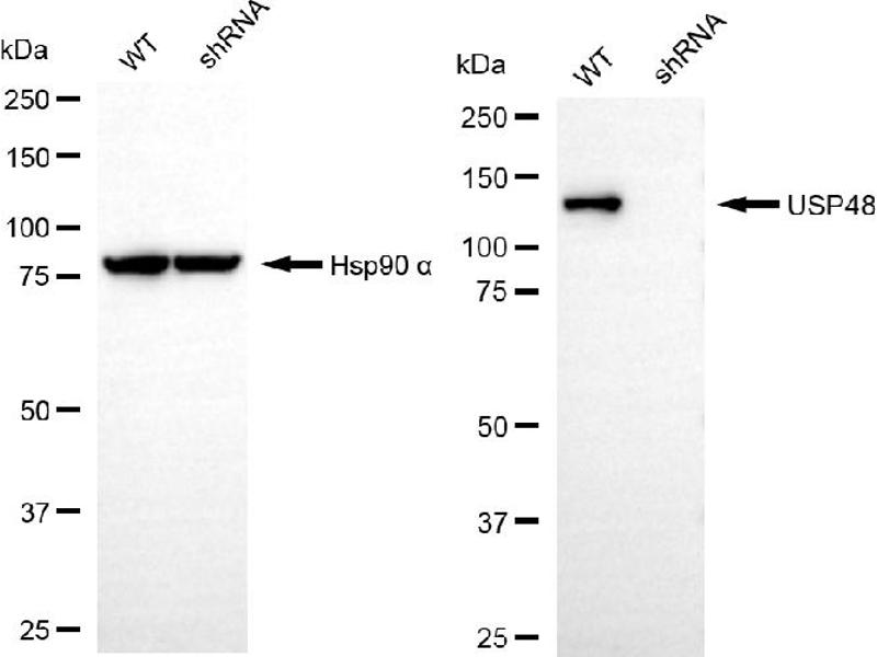
Der Maus Monoklonal anti-USP48 Antikörper (Klon 25GB5540) (ABIN7800736) detektiert spezifisch USP48 in WB und FACS. Dieser Antikörper reagiert spezifisch mit Proben aus Human.
Produktnummer ABIN7800736
598,92 €
Zzgl. Versandkosten 20,00 € und MwSt
100 μL
Lieferung nach: Deutschland
Lieferung in 7 bis 10 Werktagen

Kurzübersicht für USP48 Antikörper (ABIN7800736)

Target

Alle USP48 Antikörper anzeigen
USP48 (Ubiquitin Specific Peptidase 48 (USP48))

Reaktivität

  • 28
  • 14
  • 13
  • 8
  • 4
  • 4
  • 4
  • 4
  • 4
  • 3
  • 2
  • 2
  • 2
  • 1
Human

Wirt

  • 25
  • 3
Maus

Klonalität

  • 26
  • 2
Monoklonal

Konjugat

  • 22
  • 2
  • 2
  • 2
Dieser USP48 Antikörper ist unkonjugiert

Applikation

  • 19
  • 16
  • 8
  • 2
  • 2
  • 2
Western Blotting (WB), Flow Cytometry (FACS)

Güteklasse

KD Validated

Klon

25GB5540
  • Verwendungszweck

    KD-Validated USP48 Mouse mAb

    Kreuzreaktivität

    Maus, Ratte

    Aufreinigung

    Affinity Purified

    Immunogen

    Recombinant protein of human USP48

    Isotyp

    IgG2a
  • Applikationshinweise

    Western Blotting (WB): 1:200-1:1,000, Flow Cytometry (FCM): 1:200-1:2,000

    Kommentare

    We assess the antibodies’ specificity and selectivity using knockdown techniques. Our validation approach is straightforward: if an antibody identifies a signal in wild-type (WT) cells, but this signal is absent or noticeably reduced in gene-silenced (KD) cells, we consider the antibody to be highly specific.

    Beschränkungen

    Nur für Forschungszwecke einsetzbar
  • Format

    Liquid

    Buffer

    PBS (pH 7.4) containing 50% glycerol and 0.02% sodium azide.

    Konservierungsmittel

    Sodium azide

    Vorsichtsmaßnahmen

    This product contains Sodium azide: a POISONOUS AND HAZARDOUS SUBSTANCE which should be handled by trained staff only.

    Lagerung

    -20 °C

    Informationen zur Lagerung

    Store at -20 °C for one year.

    Haltbarkeit

    12 months
  • Target

    USP48 (Ubiquitin Specific Peptidase 48 (USP48))

    Andere Bezeichnung

    USP48

    Molekulargewicht

    119 kDa

    Gen-ID

    84196

    UniProt

    Q86UV5
Sie sind hier:
Chat with us!