Telefon:
+49 (0)241 95 163 153
Fax:
+49 (0)241 95 163 155
E-Mail:
orders@antikoerper-online.de

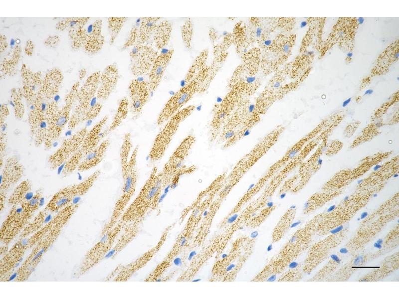
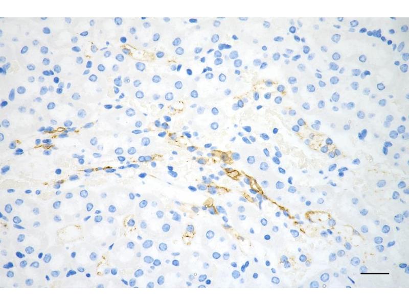
Rekombinanter TRAP1 Antikörper

Der Kaninchen Monoklonal anti-TRAP1 Antikörper wird verwendet zum Nachweis von TRAP1 in Proben von Human. Er wurde validiert für WB, IF (p) und FACS.
Produktnummer ABIN7800567
598,92 €
Zzgl. Versandkosten 20,00 € und MwSt
100 μL
Lieferung nach: Deutschland
Lieferung in 7 bis 10 Werktagen

Kurzübersicht für Rekombinanter TRAP1 Antikörper (ABIN7800567)

Target

Alle TRAP1 Antikörper anzeigen
TRAP1 (TNF Receptor-Associated Protein 1 (TRAP1))

Antikörpertyp

Recombinant Antibody

Reaktivität

  • 90
  • 35
  • 20
  • 5
  • 2
  • 1
Human

Wirt

  • 97
  • 8
Kaninchen

Klonalität

  • 70
  • 34
Monoklonal

Konjugat

  • 41
  • 8
  • 5
  • 5
  • 5
  • 5
  • 5
  • 5
  • 5
  • 4
  • 2
  • 2
  • 1
  • 1
  • 1
  • 1
  • 1
  • 1
  • 1
  • 1
  • 1
  • 1
  • 1
  • 1
  • 1
Dieser TRAP1 Antikörper ist unkonjugiert

Applikation

  • 64
  • 36
  • 27
  • 24
  • 16
  • 14
  • 13
  • 13
  • 12
  • 4
  • 3
  • 2
  • 1
Western Blotting (WB), Immunofluorescence (Paraffin-embedded Sections) (IF (p)), Flow Cytometry (FACS)

Güteklasse

KD Validated

Klon

24GB2560
  • Expressionssystem

    HEK-293 Cells

    Verwendungszweck

    KD-Validated TNF Receptor Associated Protein 1 Recombinant Rabbit mAb

    Aufreinigung

    Affinity Purified

    Immunogen

    A synthesized peptide derived from human TRAP1

    Isotyp

    IgG
  • Applikationshinweise

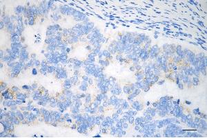
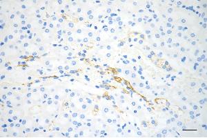
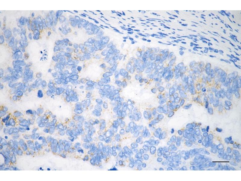
    Western Blotting (WB): 1:1,000-1:5,000, Flow Cytometry (FCM): 1:200-1:2,000, Immunohistochemistry-Paraffin (IHC-P): 1:100-1:200

    Kommentare

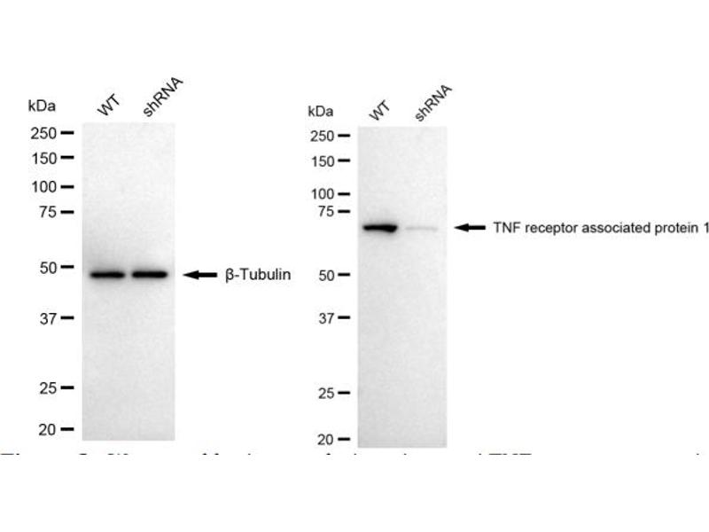
    We assess the antibodies’ specificity and selectivity using knockdown techniques. Our validation approach is straightforward: if an antibody identifies a signal in wild-type (WT) cells, but this signal is absent or noticeably reduced in gene-silenced (KD) cells, we consider the antibody to be highly specific.

    Beschränkungen

    Nur für Forschungszwecke einsetzbar
  • Format

    Liquid

    Buffer

    PBS (pH 7.4) containing 50% glycerol and 0.02% sodium azide.

    Konservierungsmittel

    Sodium azide

    Vorsichtsmaßnahmen

    This product contains Sodium azide: a POISONOUS AND HAZARDOUS SUBSTANCE which should be handled by trained staff only.

    Lagerung

    -20 °C

    Informationen zur Lagerung

    Store at -20 °C for one year.

    Haltbarkeit

    12 months
  • Target

    TRAP1 (TNF Receptor-Associated Protein 1 (TRAP1))

    Andere Bezeichnung

    TNF Receptor Associated Protein 1

    Molekulargewicht

    80 kDa

    Gen-ID

    10131

    UniProt

    Q12931
Sie sind hier:
Chat with us!