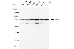
Rekombinanter ASH2L Antikörper
Kurzübersicht für Rekombinanter ASH2L Antikörper (ABIN7800326)
Target
Alle ASH2L Antikörper anzeigenAntikörpertyp
Reaktivität
Wirt
Klonalität
Konjugat
Applikation
Klon
-
-
Expressionssystem
- HEK-293 Cells
-
Verwendungszweck
- ASH2L Recombinant Rabbit mAb
-
Kreuzreaktivität
- Maus, Ratte
-
Aufreinigung
- Affinity Purified
-
Immunogen
- A synthesized peptide derived from human ASH2L
-
Isotyp
- IgG
-
-
-
-
Applikationshinweise
- Western Blotting (WB): 1:1,000-1:5,000, Flow Cytometry (FCM): 1:200-1:2,000, Immunocytochemistry (ICC): 1:100-1:1,000
-
Beschränkungen
- Nur für Forschungszwecke einsetzbar
-
-
-
Format
- Liquid
-
Buffer
- PBS (pH 7.4) containing 50% glycerol and 0.02% sodium azide.
-
Konservierungsmittel
- Sodium azide
-
Vorsichtsmaßnahmen
- This product contains Sodium azide: a POISONOUS AND HAZARDOUS SUBSTANCE which should be handled by trained staff only.
-
Lagerung
- -20 °C
-
Informationen zur Lagerung
- Store at -20 °C for one year.
-
Haltbarkeit
- 12 months
-
-
- ASH2L (Set1/Ash2 Histone Methyltransferase Complex Subunit ASH2 (ASH2L))
-
Andere Bezeichnung
- ASH2L
-
Molekulargewicht
- 69 kDa
-
Gen-ID
- 9070
-
UniProt
- Q9UBL3
Target
-