Rekombinanter RAB11A Antikörper
Kurzübersicht für Rekombinanter RAB11A Antikörper (ABIN7800089)
Target
Alle RAB11A Antikörper anzeigenAntikörpertyp
Reaktivität
Wirt
Klonalität
Konjugat
Applikation
Klon
-
-
Expressionssystem
- HEK-293 Cells
-
Verwendungszweck
- RAB11A Recombinant Rabbit mAb
-
Kreuzreaktivität
- Maus, Ratte
-
Aufreinigung
- Affinity Purified
-
Immunogen
- A synthesized peptide derived from human RAB11A
-
Isotyp
- IgG
-
-
-
-
Applikationshinweise
- Western Blotting (WB): 1:1,000-1:5,000, Flow Cytometry (FCM): 1:200-1:2,000, Immunocytochemistry (ICC): 1:100-1:1,000
-
Beschränkungen
- Nur für Forschungszwecke einsetzbar
-
-
-
Format
- Liquid
-
Buffer
- PBS (pH 7.4) containing 50% glycerol and 0.02% sodium azide.
-
Konservierungsmittel
- Sodium azide
-
Vorsichtsmaßnahmen
- This product contains Sodium azide: a POISONOUS AND HAZARDOUS SUBSTANCE which should be handled by trained staff only.
-
Lagerung
- -20 °C
-
Informationen zur Lagerung
- Store at -20 °C for one year.
-
Haltbarkeit
- 12 months
-
-
- RAB11A (RAB11A, Member RAS Oncogene Family (RAB11A))
-
Andere Bezeichnung
- RAB11A
-
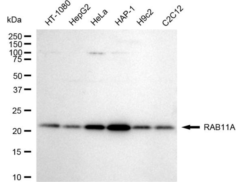
Molekulargewicht
- 24 kDa
-
Gen-ID
- 8766
-
UniProt
- P62491
-
Pathways
- Regulation of Cell Size, Thromboxane A2 Receptor Signaling, Regulation of long-term Neuronal Synaptic Plasticity
Target
-