Telefon:
+49 (0)241 95 163 153
Fax:
+49 (0)241 95 163 155
E-Mail:
orders@antikoerper-online.de

Rekombinanter PLSCR1 Antikörper

Dieser Kaninchen Monoklonal Antikörper detektiert spezifisch PLSCR1 in WB, FACS und ICC. Es zeigt Reaktivität gegenüber Proben von Human.
Produktnummer ABIN7799825
598,92 €
Zzgl. Versandkosten 20,00 € und MwSt
100 μL
Lieferung nach: Deutschland
Lieferung in 7 bis 10 Werktagen

Kurzübersicht für Rekombinanter PLSCR1 Antikörper (ABIN7799825)

Target

Alle PLSCR1 Antikörper anzeigen
PLSCR1 (phospholipid Scramblase 1 (PLSCR1))

Antikörpertyp

Recombinant Antibody

Reaktivität

  • 34
  • 5
  • 5
  • 3
  • 3
  • 2
  • 1
  • 1
  • 1
  • 1
  • 1
Human

Wirt

  • 27
  • 9
Kaninchen

Klonalität

  • 18
  • 18
Monoklonal

Konjugat

  • 27
  • 1
  • 1
  • 1
  • 1
  • 1
  • 1
  • 1
  • 1
  • 1
Dieser PLSCR1 Antikörper ist unkonjugiert

Applikation

  • 32
  • 17
  • 14
  • 13
  • 13
  • 9
  • 8
  • 3
  • 1
  • 1
  • 1
Western Blotting (WB), Flow Cytometry (FACS), Immunocytochemistry (ICC)

Güteklasse

KD Validated

Klon

24GB1550
  • Expressionssystem

    HEK-293 Cells

    Verwendungszweck

    KD-Validated Phospholipid Scramblase 1 Recombinant Rabbit mAb

    Kreuzreaktivität

    Maus, Ratte

    Aufreinigung

    Affinity Purified

    Immunogen

    A synthesized peptide derived from human Scramblase 1

    Isotyp

    IgG
  • Applikationshinweise

    Western Blotting (WB): 1:1,000-1:5,000, Flow Cytometry (FCM): 1:200-1:2,000, Immunocytochemistry (ICC): 1:100-1:1,000

    Kommentare

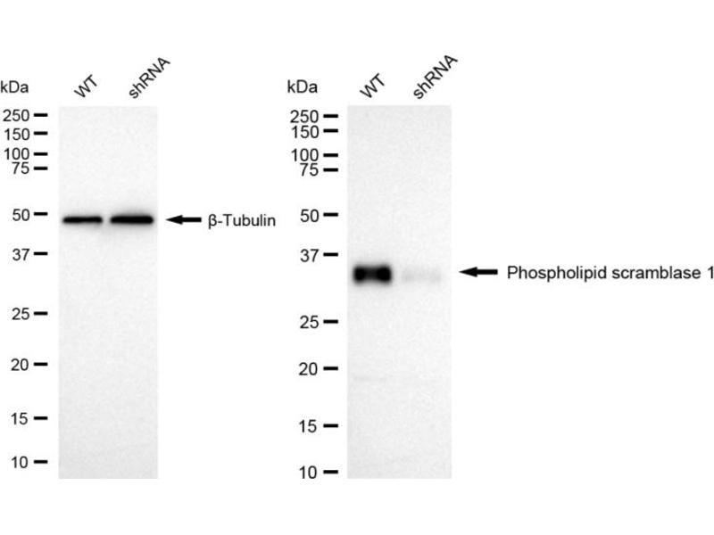
    We assess the antibodies’ specificity and selectivity using knockdown techniques. Our validation approach is straightforward: if an antibody identifies a signal in wild-type (WT) cells, but this signal is absent or noticeably reduced in gene-silenced (KD) cells, we consider the antibody to be highly specific.

    Beschränkungen

    Nur für Forschungszwecke einsetzbar
  • Format

    Liquid

    Buffer

    PBS (pH 7.4) containing 50% glycerol and 0.02% sodium azide.

    Konservierungsmittel

    Sodium azide

    Vorsichtsmaßnahmen

    This product contains Sodium azide: a POISONOUS AND HAZARDOUS SUBSTANCE which should be handled by trained staff only.

    Lagerung

    -20 °C

    Informationen zur Lagerung

    Store at -20 °C for one year.

    Haltbarkeit

    12 months
  • Target

    PLSCR1 (phospholipid Scramblase 1 (PLSCR1))

    Andere Bezeichnung

    Phospholipid Scramblase 1

    Molekulargewicht

    35 kDa

    Gen-ID

    5359

    UniProt

    O15162

    Pathways

    Cellular Response to Molecule of Bacterial Origin
Sie sind hier:
Chat with us!