PECR Antikörper
Kurzübersicht für PECR Antikörper (ABIN7799782)
Target
Alle PECR Antikörper anzeigenReaktivität
Wirt
Klonalität
Konjugat
Applikation
-
-
Verwendungszweck
- PECR Mouse Oligoclonal Antibody
-
Kreuzreaktivität
- Maus, Ratte
-
Aufreinigung
- Affinity Purified
-
Immunogen
- Recombinant protein of human PECR
-
Isotyp
- IgG
-
-
-
-
Applikationshinweise
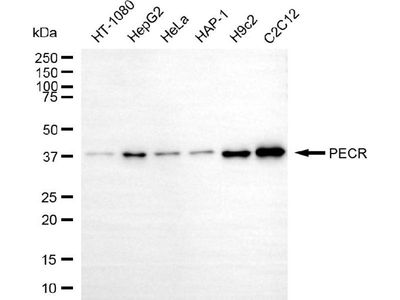
- Western Blotting (WB): 1:500-1:2,500
-
Beschränkungen
- Nur für Forschungszwecke einsetzbar
-
-
-
Format
- Liquid
-
Buffer
- PBS (pH 7.4) containing 50% glycerol and 0.02% sodium azide.
-
Konservierungsmittel
- Sodium azide
-
Vorsichtsmaßnahmen
- This product contains Sodium azide: a POISONOUS AND HAZARDOUS SUBSTANCE which should be handled by trained staff only.
-
Lagerung
- -20 °C
-
Informationen zur Lagerung
- Store at -20 °C for one year.
-
Haltbarkeit
- 12 months
-
-
- PECR (Peroxisomal Trans-2-Enoyl-CoA Reductase (PECR))
-
Andere Bezeichnung
- PECR
-
Molekulargewicht
- 33 kDa
-
Gen-ID
- 55825
-
UniProt
- Q9BY49
Target
-