Telefon:
+49 (0)241 95 163 153
Fax:
+49 (0)241 95 163 155
E-Mail:
orders@antikoerper-online.de

Rekombinanter Peroxiredoxin 4 Antikörper

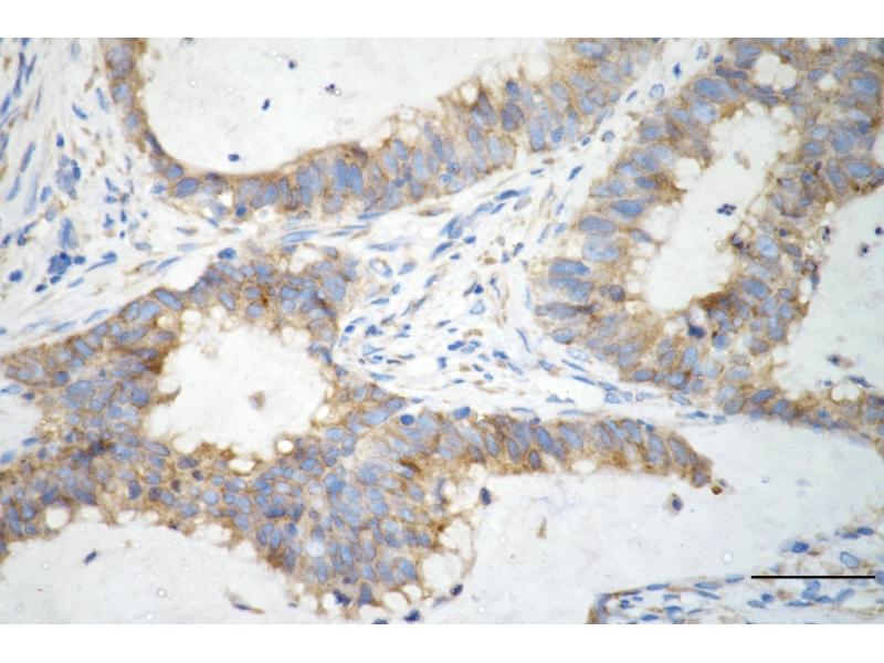
Der Kaninchen Monoklonal anti-Peroxiredoxin 4 Antikörper (Klon 24GB1570) (ABIN7799779) detektiert spezifisch Peroxiredoxin 4 in WB, FACS und IF (p). Dieser Antikörper reagiert spezifisch mit Proben aus Human.
Produktnummer ABIN7799779
598,92 €
Zzgl. Versandkosten 20,00 € und MwSt
100 μL
Lieferung nach: Deutschland
Lieferung in 7 bis 10 Werktagen

Kurzübersicht für Rekombinanter Peroxiredoxin 4 Antikörper (ABIN7799779)

Target

Alle Peroxiredoxin 4 (PRDX4) Antikörper anzeigen
Peroxiredoxin 4 (PRDX4)

Antikörpertyp

Recombinant Antibody

Reaktivität

  • 73
  • 41
  • 28
  • 6
  • 4
  • 4
  • 4
  • 3
  • 3
  • 2
  • 2
  • 2
  • 2
  • 1
  • 1
  • 1
  • 1
Human

Wirt

  • 59
  • 19
  • 1
  • 1
Kaninchen

Klonalität

  • 48
  • 32
Monoklonal

Konjugat

  • 44
  • 8
  • 3
  • 2
  • 2
  • 2
  • 2
  • 2
  • 2
  • 2
  • 1
  • 1
  • 1
  • 1
  • 1
  • 1
  • 1
  • 1
  • 1
  • 1
  • 1
Dieser Peroxiredoxin 4 Antikörper ist unkonjugiert

Applikation

  • 56
  • 34
  • 24
  • 9
  • 7
  • 7
  • 6
  • 3
  • 2
  • 1
  • 1
  • 1
  • 1
  • 1
Western Blotting (WB), Flow Cytometry (FACS), Immunofluorescence (Paraffin-embedded Sections) (IF (p))

Güteklasse

KD Validated

Klon

24GB1570
  • Expressionssystem

    HEK-293 Cells

    Verwendungszweck

    KD-Validated Peroxiredoxin 4 Recombinant Rabbit mAb

    Kreuzreaktivität

    Maus, Ratte

    Aufreinigung

    Affinity Purified

    Immunogen

    A synthesized peptide derived from human Peroxiredoxin 4

    Isotyp

    IgG
  • Applikationshinweise

    Western Blotting (WB): 1:1,000-1:5,000, Flow Cytometry (FCM): 1:200-1:2,000, Immunohistochemistry-Paraffin (IHC-P): 1:100-1:200

    Kommentare

    We assess the antibodies’ specificity and selectivity using knockdown techniques. Our validation approach is straightforward: if an antibody identifies a signal in wild-type (WT) cells, but this signal is absent or noticeably reduced in gene-silenced (KD) cells, we consider the antibody to be highly specific.

    Beschränkungen

    Nur für Forschungszwecke einsetzbar
  • Format

    Liquid

    Buffer

    PBS (pH 7.4) containing 50% glycerol and 0.02% sodium azide.

    Konservierungsmittel

    Sodium azide

    Vorsichtsmaßnahmen

    This product contains Sodium azide: a POISONOUS AND HAZARDOUS SUBSTANCE which should be handled by trained staff only.

    Lagerung

    -20 °C

    Informationen zur Lagerung

    Store at -20 °C for one year.

    Haltbarkeit

    12 months
  • Target

    Peroxiredoxin 4 (PRDX4)

    Andere Bezeichnung

    Peroxiredoxin 4

    Molekulargewicht

    31 kDa

    Gen-ID

    10549

    UniProt

    Q13162
Sie sind hier:
Chat with us!