PARK7/DJ1 Antikörper
Kurzübersicht für PARK7/DJ1 Antikörper (ABIN7799737)
Target
Alle PARK7/DJ1 (PARK7) Antikörper anzeigenReaktivität
Wirt
Klonalität
Konjugat
Applikation
Güteklasse
-
-
Verwendungszweck
- KD-Validated PARK7 Rabbit pAb
-
Aufreinigung
- Affinity Purified
-
Immunogen
- A synthesized peptide derived from human DJ-1
-
Isotyp
- IgG
-
-
-
-
Applikationshinweise
- Western Blotting (WB): 1:200-1:1,000
-
Kommentare
-
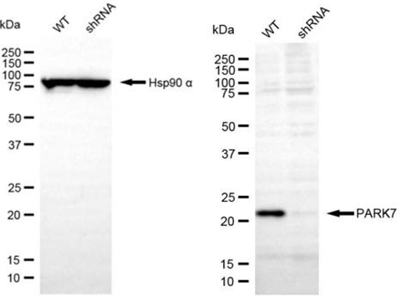
We assess the antibodies’ specificity and selectivity using knockdown techniques. Our validation approach is straightforward: if an antibody identifies a signal in wild-type (WT) cells, but this signal is absent or noticeably reduced in gene-silenced (KD) cells, we consider the antibody to be highly specific.
-
Beschränkungen
- Nur für Forschungszwecke einsetzbar
-
-
-
Format
- Liquid
-
Buffer
- PBS (pH 7.4) containing 50% glycerol and 0.02% sodium azide.
-
Konservierungsmittel
- Sodium azide
-
Vorsichtsmaßnahmen
- This product contains Sodium azide: a POISONOUS AND HAZARDOUS SUBSTANCE which should be handled by trained staff only.
-
Lagerung
- -20 °C
-
Informationen zur Lagerung
- Store at -20 °C for one year.
-
Haltbarkeit
- 12 months
-
-
- PARK7/DJ1 (PARK7) (Parkinson Protein 7 (PARK7))
-
Andere Bezeichnung
- PARK7
-
Molekulargewicht
- 20 kDa
-
Gen-ID
- 11315
-
UniProt
- Q99497
-
Pathways
- Intracellular Steroid Hormone Receptor Signaling Pathway, Regulation of Intracellular Steroid Hormone Receptor Signaling, Proton Transport
Target
-