Telefon:
+49 (0)241 95 163 153
Fax:
+49 (0)241 95 163 155
E-Mail:
orders@antikoerper-online.de

Rekombinanter Methionine--tRNA Ligase, Cytoplasmic Antikörper

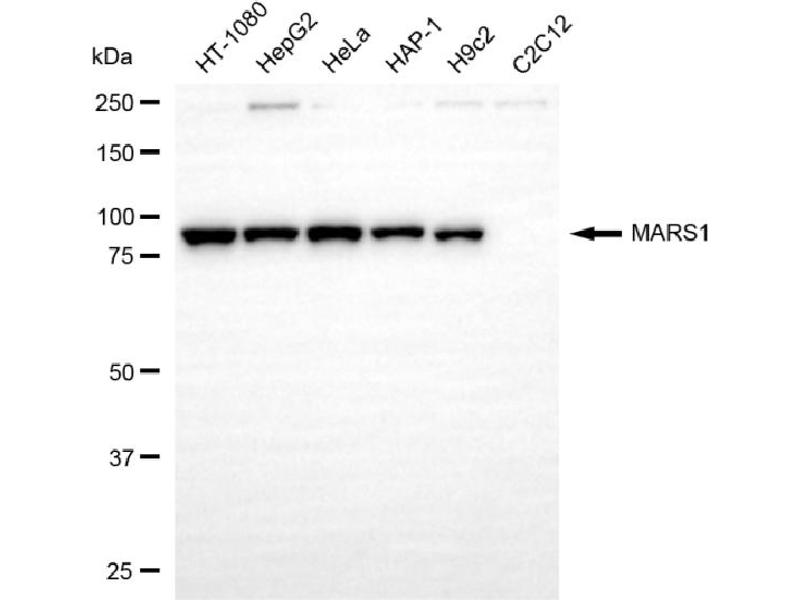
Der Kaninchen Monoklonal anti-Methionine--tRNA Ligase, Cytoplasmic Antikörper wird verwendet zum Nachweis von Methionine--tRNA Ligase, Cytoplasmic in Proben von Human. Er wurde validiert für WB und FACS.
Produktnummer ABIN7799382
598,92 €
Zzgl. Versandkosten 20,00 € und MwSt
100 μL
Lieferung nach: Deutschland
Lieferung in 7 bis 10 Werktagen

Kurzübersicht für Rekombinanter Methionine--tRNA Ligase, Cytoplasmic Antikörper (ABIN7799382)

Target

Methionine--tRNA Ligase, Cytoplasmic

Antikörpertyp

Recombinant Antibody

Reaktivität

  • 3
  • 1
  • 1
Human

Wirt

  • 3
Kaninchen

Klonalität

  • 3
Monoklonal

Konjugat

  • 3
Unkonjugiert

Applikation

  • 3
  • 3
  • 2
  • 1
  • 1
  • 1
  • 1
Western Blotting (WB), Flow Cytometry (FACS)

Güteklasse

KD Validated

Klon

25GB185
  • Expressionssystem

    HEK-293 Cells

    Verwendungszweck

    KD-Validated MARS1 Recombinant Rabbit mAb

    Kreuzreaktivität

    Ratte

    Aufreinigung

    Affinity Purified

    Immunogen

    A synthesized peptide derived from human MARS

    Isotyp

    IgG
  • Applikationshinweise

    Western Blotting (WB): 1:1,000-1:5,000, Flow Cytometry (FCM): 1:200-1:2,000

    Kommentare

    We assess the antibodies’ specificity and selectivity using knockdown techniques. Our validation approach is straightforward: if an antibody identifies a signal in wild-type (WT) cells, but this signal is absent or noticeably reduced in gene-silenced (KD) cells, we consider the antibody to be highly specific.

    Beschränkungen

    Nur für Forschungszwecke einsetzbar
  • Format

    Liquid

    Buffer

    PBS (pH 7.4) containing 50% glycerol and 0.02% sodium azide.

    Konservierungsmittel

    Sodium azide

    Vorsichtsmaßnahmen

    This product contains Sodium azide: a POISONOUS AND HAZARDOUS SUBSTANCE which should be handled by trained staff only.

    Lagerung

    -20 °C

    Informationen zur Lagerung

    Store at -20 °C for one year.

    Haltbarkeit

    12 months
  • Target

    Methionine--tRNA Ligase, Cytoplasmic

    Andere Bezeichnung

    MARS1

    Molekulargewicht

    101 kDa

    Gen-ID

    4141

    UniProt

    P56192
Sie sind hier:
Chat with us!