Telefon:
+49 (0)241 95 163 153
Fax:
+49 (0)241 95 163 155
E-Mail:
orders@antikoerper-online.de

MPI Antikörper

Der Maus Monoklonal anti-MPI Antikörper wird verwendet zum Nachweis von MPI in Proben von Human. Er wurde validiert für WB und FACS.
Produktnummer ABIN7799328
598,92 €
Zzgl. Versandkosten 20,00 € und MwSt
100 μL
Lieferung nach: Deutschland
Lieferung in 7 bis 10 Werktagen

Kurzübersicht für MPI Antikörper (ABIN7799328)

Target

Alle MPI Antikörper anzeigen
MPI (Mannose Phosphate Isomerase (MPI))

Reaktivität

  • 46
  • 9
  • 6
  • 6
  • 4
  • 1
Human

Wirt

  • 46
  • 11
Maus

Klonalität

  • 48
  • 9
Monoklonal

Konjugat

  • 38
  • 6
  • 5
  • 3
  • 2
  • 2
  • 1
Dieser MPI Antikörper ist unkonjugiert

Applikation

  • 40
  • 28
  • 13
  • 12
  • 7
  • 7
  • 5
  • 4
  • 4
  • 4
  • 3
  • 2
  • 2
Western Blotting (WB), Flow Cytometry (FACS)

Güteklasse

KD Validated

Klon

25GB3765
  • Verwendungszweck

    KD-Validated Mannose Phosphate Isomerase Mouse mAb

    Kreuzreaktivität

    Maus, Ratte

    Aufreinigung

    Affinity Purified

    Immunogen

    Recombinant protein of human MPI

    Isotyp

    IgG1
  • Applikationshinweise

    Western Blotting (WB): 1:500-1:2,500, Flow Cytometry (FCM): 1:200-1:2,000

    Kommentare

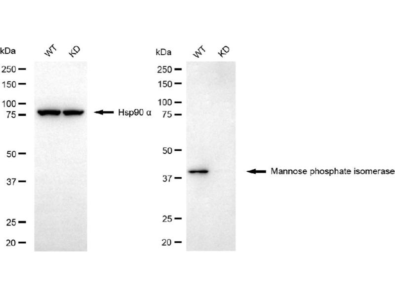
    We assess the antibodies’ specificity and selectivity using knockdown techniques. Our validation approach is straightforward: if an antibody identifies a signal in wild-type (WT) cells, but this signal is absent or noticeably reduced in gene-silenced (KD) cells, we consider the antibody to be highly specific.

    Beschränkungen

    Nur für Forschungszwecke einsetzbar
  • Format

    Liquid

    Buffer

    PBS (pH 7.4) containing 50% glycerol and 0.02% sodium azide.

    Konservierungsmittel

    Sodium azide

    Vorsichtsmaßnahmen

    This product contains Sodium azide: a POISONOUS AND HAZARDOUS SUBSTANCE which should be handled by trained staff only.

    Lagerung

    -20 °C

    Informationen zur Lagerung

    Store at -20 °C for one year.

    Haltbarkeit

    12 months
  • Target

    MPI (Mannose Phosphate Isomerase (MPI))

    Andere Bezeichnung

    Mannose Phosphate Isomerase

    Molekulargewicht

    47 kDa

    Gen-ID

    4351

    UniProt

    P34949
Sie sind hier:
Chat with us!