Rekombinanter IGF2BP2 Antikörper
Kurzübersicht für Rekombinanter IGF2BP2 Antikörper (ABIN7799051)
Target
Alle IGF2BP2 Antikörper anzeigenAntikörpertyp
Reaktivität
Wirt
Klonalität
Konjugat
Applikation
Güteklasse
Klon
-
-
Expressionssystem
- HEK-293 Cells
-
Verwendungszweck
- KD-Validated IGF2BP2 Recombinant Rabbit mAb
-
Kreuzreaktivität
- Maus, Ratte
-
Aufreinigung
- Affinity Purified
-
Immunogen
- A synthesized peptide derived from human IGF2BP2
-
Isotyp
- IgG
-
-
-
-
Applikationshinweise
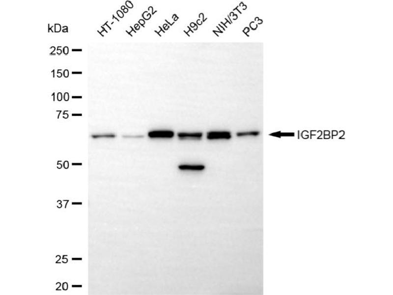
- Western Blotting (WB): 1:1,000-1:5,000, Immunohistochemistry-Paraffin (IHC-P): 1:100-1:200
-
Kommentare
-
We assess the antibodies’ specificity and selectivity using knockdown techniques. Our validation approach is straightforward: if an antibody identifies a signal in wild-type (WT) cells, but this signal is absent or noticeably reduced in gene-silenced (KD) cells, we consider the antibody to be highly specific.
-
Beschränkungen
- Nur für Forschungszwecke einsetzbar
-
-
-
Format
- Liquid
-
Buffer
- PBS (pH 7.4) containing 50% glycerol and 0.02% sodium azide.
-
Konservierungsmittel
- Sodium azide
-
Vorsichtsmaßnahmen
- This product contains Sodium azide: a POISONOUS AND HAZARDOUS SUBSTANCE which should be handled by trained staff only.
-
Lagerung
- -20 °C
-
Informationen zur Lagerung
- Store at -20 °C for one year.
-
Haltbarkeit
- 12 months
-
-
- IGF2BP2 (Insulin-Like Growth Factor 2 mRNA Binding Protein 2 (IGF2BP2))
-
Andere Bezeichnung
- IGF2BP2
-
Molekulargewicht
- 66 kDa
-
Gen-ID
- 10644
-
UniProt
- Q9Y6M1
Target
-