HSPA4L Antikörper
Kurzübersicht für HSPA4L Antikörper (ABIN7798854)
Target
Alle HSPA4L Antikörper anzeigenReaktivität
Wirt
Klonalität
Konjugat
Applikation
Klon
-
-
Verwendungszweck
- HSPA4L Mouse mAb
-
Kreuzreaktivität
- Maus
-
Aufreinigung
- Affinity Purified
-
Immunogen
- Recombinant protein of human HSPA4L
-
Isotyp
- IgG1
-
-
-
-
Applikationshinweise
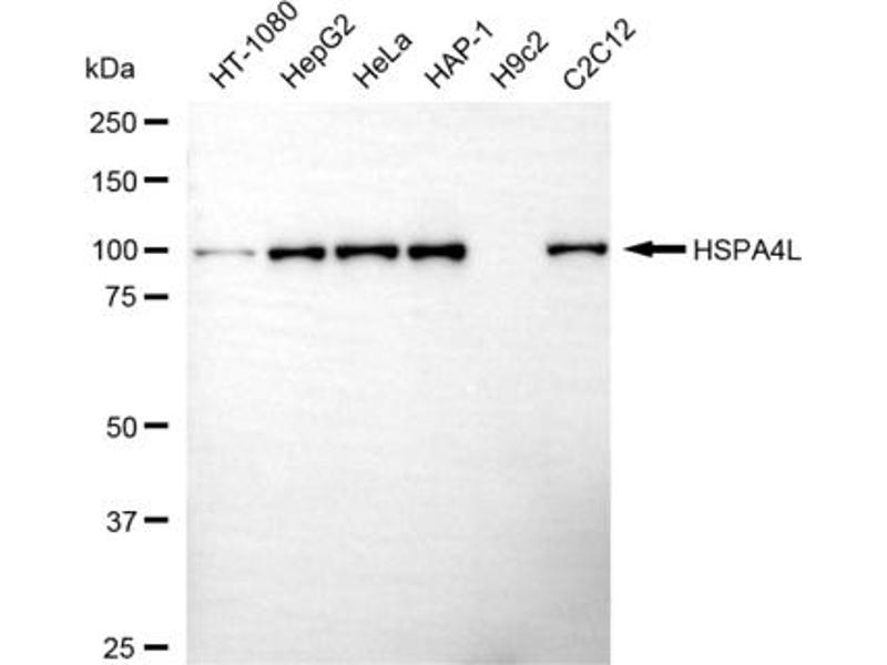
- Western Blotting (WB): 1:400-1:2,000
-
Beschränkungen
- Nur für Forschungszwecke einsetzbar
-
-
-
Format
- Liquid
-
Buffer
- PBS (pH 7.4) containing 50% glycerol and 0.02% sodium azide.
-
Konservierungsmittel
- Sodium azide
-
Vorsichtsmaßnahmen
- This product contains Sodium azide: a POISONOUS AND HAZARDOUS SUBSTANCE which should be handled by trained staff only.
-
Lagerung
- -20 °C
-
Informationen zur Lagerung
- Store at -20 °C for one year.
-
Haltbarkeit
- 12 months
-
-
- HSPA4L (Heat Shock 70kDa Protein 4-Like (HSPA4L))
-
Andere Bezeichnung
- HSPA4L
-
Molekulargewicht
- 95 kDa
-
Gen-ID
- 22824
-
UniProt
- O95757
Target
-