Telefon:
+49 (0)241 95 163 153
Fax:
+49 (0)241 95 163 155
E-Mail:
orders@antikoerper-online.de

Rekombinanter Haloacid Dehalogenase-Like Hydrolase Domain-Containing 5 (HDHD5) Antikörper

Der Kaninchen Monoklonal anti-Haloacid Dehalogenase-Like Hydrolase Domain-Containing 5 Antikörper wird verwendet zum Nachweis von Haloacid Dehalogenase-Like Hydrolase Domain-Containing 5 in Proben von Human. Er wurde validiert für WB, FACS, ICC und IF (p).
Produktnummer ABIN7798836
598,92 €
Zzgl. Versandkosten 20,00 € und MwSt
100 μL
Lieferung nach: Deutschland
Lieferung in 7 bis 10 Werktagen

Kurzübersicht für Rekombinanter Haloacid Dehalogenase-Like Hydrolase Domain-Containing 5 (HDHD5) Antikörper (ABIN7798836)

Target

Haloacid Dehalogenase-Like Hydrolase Domain-Containing 5 (HDHD5)

Antikörpertyp

Recombinant Antibody

Reaktivität

  • 2
  • 1
  • 1
Human

Wirt

  • 2
Kaninchen

Klonalität

  • 1
  • 1
Monoklonal

Konjugat

  • 2
Unkonjugiert

Applikation

  • 2
  • 1
  • 1
  • 1
  • 1
  • 1
Western Blotting (WB), Flow Cytometry (FACS), Immunocytochemistry (ICC), Immunofluorescence (Paraffin-embedded Sections) (IF (p))

Güteklasse

KD Validated

Klon

23GB6585
  • Expressionssystem

    HEK-293 Cells

    Verwendungszweck

    KD-Validated HDHD5 Recombinant Rabbit mAb

    Aufreinigung

    Affinity Purified

    Immunogen

    A synthesized peptide derived from human CECR5

    Isotyp

    IgG
  • Applikationshinweise

    Western Blotting (WB): 1:1,000-1:5,000, Flow Cytometry (FCM): 1:200-1:2,000, Immunocytochemistry (ICC): 1:100-1:1,000, Immunohistochemistry-Paraffin (IHC-P): 1:100-1:200

    Kommentare

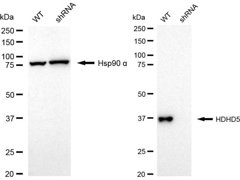
    We assess the antibodies’ specificity and selectivity using knockdown techniques. Our validation approach is straightforward: if an antibody identifies a signal in wild-type (WT) cells, but this signal is absent or noticeably reduced in gene-silenced (KD) cells, we consider the antibody to be highly specific.

    Beschränkungen

    Nur für Forschungszwecke einsetzbar
  • Format

    Liquid

    Buffer

    PBS (pH 7.4) containing 50% glycerol and 0.02% sodium azide.

    Konservierungsmittel

    Sodium azide

    Vorsichtsmaßnahmen

    This product contains Sodium azide: a POISONOUS AND HAZARDOUS SUBSTANCE which should be handled by trained staff only.

    Lagerung

    -20 °C

    Informationen zur Lagerung

    Store at -20 °C for one year.

    Haltbarkeit

    12 months
  • Target

    Haloacid Dehalogenase-Like Hydrolase Domain-Containing 5 (HDHD5)

    Andere Bezeichnung

    HDHD5

    Molekulargewicht

    46 kDa

    Gen-ID

    27440

    UniProt

    Q9BXW7
Sie sind hier:
Chat with us!