Telefon:
+49 (0)241 95 163 153
Fax:
+49 (0)241 95 163 155
E-Mail:
orders@antikoerper-online.de

Gephyrin Antikörper

Der Maus Monoklonal anti-Gephyrin Antikörper (Klon 24GB5585) (ABIN7798714) detektiert spezifisch Gephyrin in WB und FACS. Dieser Antikörper reagiert spezifisch mit Proben aus Human.
Produktnummer ABIN7798714
598,92 €
Zzgl. Versandkosten 20,00 € und MwSt
100 μL
Lieferung nach: Deutschland
Lieferung in 7 bis 10 Werktagen

Kurzübersicht für Gephyrin Antikörper (ABIN7798714)

Target

Alle Gephyrin (GPHN) Antikörper anzeigen
Gephyrin (GPHN)

Reaktivität

  • 87
  • 46
  • 40
  • 6
  • 5
  • 4
  • 4
  • 3
  • 3
  • 3
  • 3
  • 3
  • 2
  • 2
  • 1
Human

Wirt

  • 59
  • 31
  • 2
  • 1
  • 1
Maus

Klonalität

  • 51
  • 43
Monoklonal

Konjugat

  • 51
  • 5
  • 3
  • 3
  • 3
  • 3
  • 3
  • 3
  • 3
  • 3
  • 3
  • 3
  • 2
  • 2
  • 1
  • 1
  • 1
  • 1
Dieser Gephyrin Antikörper ist unkonjugiert

Applikation

  • 61
  • 46
  • 30
  • 23
  • 20
  • 16
  • 7
  • 6
  • 2
  • 1
  • 1
Western Blotting (WB), Flow Cytometry (FACS)

Güteklasse

KD Validated

Klon

24GB5585
  • Verwendungszweck

    KD-Validated Gephyrin Mouse mAb

    Kreuzreaktivität

    Maus

    Aufreinigung

    Affinity Purified

    Immunogen

    Recombinant protein of human GPHN

    Isotyp

    IgG2a
  • Applikationshinweise

    Western Blotting (WB):1:2,500-1:5,000, Flow Cytometry (FCM): 1:200-1:2,000

    Kommentare

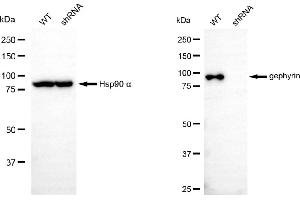
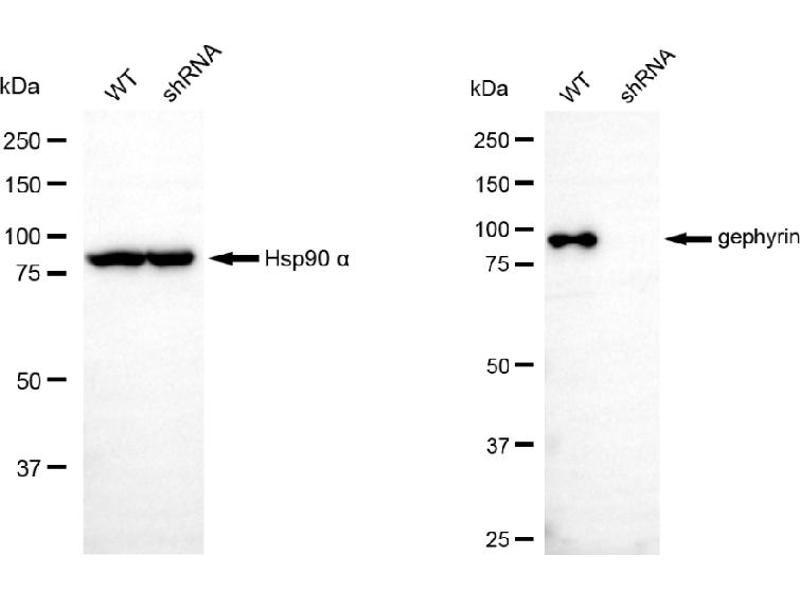
    We assess the antibodies’ specificity and selectivity using knockdown techniques. Our validation approach is straightforward: if an antibody identifies a signal in wild-type (WT) cells, but this signal is absent or noticeably reduced in gene-silenced (KD) cells, we consider the antibody to be highly specific.

    Beschränkungen

    Nur für Forschungszwecke einsetzbar
  • Format

    Liquid

    Buffer

    PBS (pH 7.4) containing 50% glycerol and 0.02% sodium azide.

    Konservierungsmittel

    Sodium azide

    Vorsichtsmaßnahmen

    This product contains Sodium azide: a POISONOUS AND HAZARDOUS SUBSTANCE which should be handled by trained staff only.

    Lagerung

    -20 °C

    Informationen zur Lagerung

    Store at -20 °C for one year.

    Haltbarkeit

    12 months
  • Target

    Gephyrin (GPHN)

    Andere Bezeichnung

    Gephyrin

    Molekulargewicht

    80 kDa

    Gen-ID

    10243

    UniProt

    Q9NQX3

    Pathways

    Synaptic Membrane, Skeletal Muscle Fiber Development
Sie sind hier:
Chat with us!