Rekombinanter Geminin Antikörper
Kurzübersicht für Rekombinanter Geminin Antikörper (ABIN7798705)
Target
Alle Geminin (GMNN) Antikörper anzeigenAntikörpertyp
Reaktivität
Wirt
Klonalität
Konjugat
Applikation
Güteklasse
Klon
-
-
Expressionssystem
- HEK-293 Cells
-
Verwendungszweck
- KD-Validated Geminin DNA Replication Inhibitor Recombinant Rabbit mAb
-
Kreuzreaktivität
- Maus, Ratte
-
Aufreinigung
- Affinity Purified
-
Immunogen
- Recombinant protein of human Geminin
-
Isotyp
- IgG
-
-
-
-
Applikationshinweise
- Western blotting (WB): 1:1,000-1:5,000
-
Kommentare
-
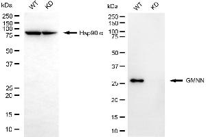
We assess the antibodies’ specificity and selectivity using knockdown techniques. Our validation approach is straightforward: if an antibody identifies a signal in wild-type (WT) cells, but this signal is absent or noticeably reduced in gene-silenced (KD) cells, we consider the antibody to be highly specific.
-
Beschränkungen
- Nur für Forschungszwecke einsetzbar
-
-
-
Format
- Liquid
-
Buffer
- PBS (pH 7.4) containing 50% glycerol and 0.02% sodium azide.
-
Konservierungsmittel
- Sodium azide
-
Vorsichtsmaßnahmen
- This product contains Sodium azide: a POISONOUS AND HAZARDOUS SUBSTANCE which should be handled by trained staff only.
-
Lagerung
- -20 °C
-
Informationen zur Lagerung
- Store at -20 °C for one year.
-
Haltbarkeit
- 12 months
-
-
- Geminin (GMNN) (Geminin, DNA Replication Inhibitor (GMNN))
-
Andere Bezeichnung
- Geminin DNA Replication Inhibitor
-
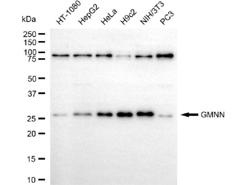
Molekulargewicht
- 24 kDa
-
Gen-ID
- 51053
-
UniProt
- O75496
-
Pathways
- EGFR Signaling Pathway, DNA Replication
Target
-