Telefon:
+49 (0)241 95 163 153
Fax:
+49 (0)241 95 163 155
E-Mail:
orders@antikoerper-online.de

DVL2 Antikörper

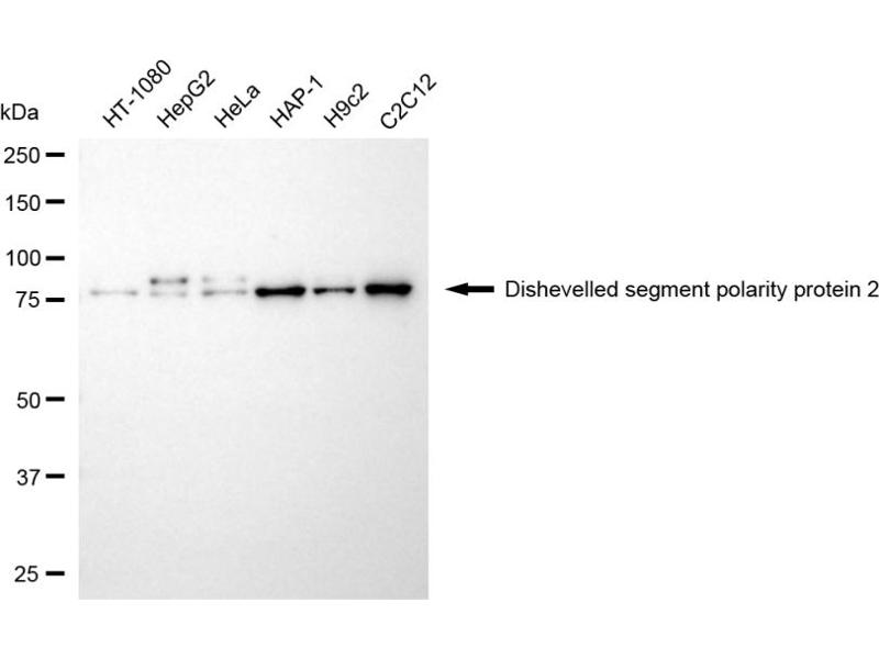
Der Maus Monoklonal anti-DVL2 Antikörper wird verwendet zum Nachweis von DVL2 in Proben von Human. Er wurde validiert für WB und FACS.
Produktnummer ABIN7798356
394,31 €
Zzgl. Versandkosten 20,00 € und MwSt
100 μL
Lieferung nach: Deutschland
Lieferung in 7 bis 10 Werktagen

Kurzübersicht für DVL2 Antikörper (ABIN7798356)

Target

Alle DVL2 Antikörper anzeigen
DVL2 (Dishevelled, Dsh Homolog 2 (Drosophila) (DVL2))

Reaktivität

  • 73
  • 36
  • 26
  • 16
  • 2
  • 2
  • 2
  • 2
  • 2
  • 1
  • 1
  • 1
Human

Wirt

  • 69
  • 4
Maus

Klonalität

  • 70
  • 3
Monoklonal

Konjugat

  • 34
  • 3
  • 3
  • 3
  • 2
  • 2
  • 2
  • 2
  • 2
  • 2
  • 2
  • 2
  • 2
  • 2
  • 2
  • 1
  • 1
  • 1
  • 1
  • 1
  • 1
  • 1
  • 1
Dieser DVL2 Antikörper ist unkonjugiert

Applikation

  • 62
  • 26
  • 19
  • 13
  • 12
  • 10
  • 5
  • 4
  • 3
  • 3
  • 1
Western Blotting (WB), Flow Cytometry (FACS)

Klon

24GB8260
Sie sind hier:
Chat with us!