Telefon:
+49 (0)241 95 163 153
Fax:
+49 (0)241 95 163 155
E-Mail:
orders@antikoerper-online.de

DPP9 Antikörper

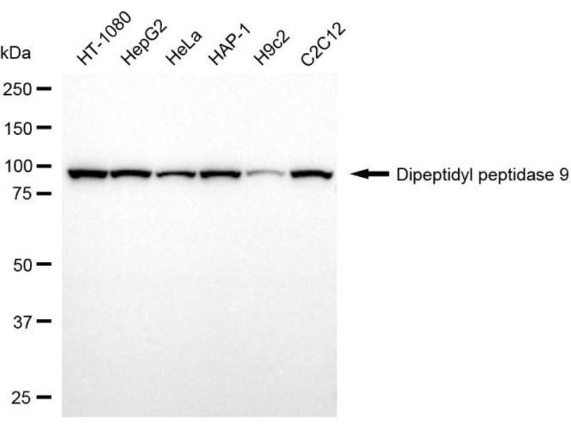
Der Maus Monoklonal anti-DPP9 Antikörper (Klon 24GB8170) (ABIN7798348) detektiert spezifisch DPP9 in WB und FACS. Dieser Antikörper reagiert spezifisch mit Proben aus Human.
Produktnummer ABIN7798348
598,92 €
Zzgl. Versandkosten 20,00 € und MwSt
100 μL
Lieferung nach: Deutschland
Lieferung in 7 bis 10 Werktagen

Kurzübersicht für DPP9 Antikörper (ABIN7798348)

Target

Alle DPP9 Antikörper anzeigen
DPP9 (Dipeptidyl-Peptidase 9 (DPP9))

Reaktivität

  • 34
  • 9
  • 6
  • 4
  • 4
  • 3
  • 1
  • 1
  • 1
  • 1
  • 1
  • 1
  • 1
Human

Wirt

  • 24
  • 12
Maus

Klonalität

  • 25
  • 11
Monoklonal

Konjugat

  • 26
  • 2
  • 1
  • 1
  • 1
  • 1
  • 1
  • 1
  • 1
  • 1
Dieser DPP9 Antikörper ist unkonjugiert

Applikation

  • 20
  • 17
  • 10
  • 7
  • 7
  • 4
  • 3
  • 2
Western Blotting (WB), Flow Cytometry (FACS)

Güteklasse

KD Validated

Klon

24GB8170
  • Verwendungszweck

    KD-Validated DPP9 Mouse mAb

    Kreuzreaktivität

    Maus, Ratte

    Aufreinigung

    Affinity Purified

    Immunogen

    Recombinant protein of human DPP9

    Isotyp

    IgG2b
  • Applikationshinweise

    Western Blotting (WB): 1:1,000-1:5,000, Flow Cytometry (FCM): 1:100-1:1,000

    Kommentare

    We assess the antibodies’ specificity and selectivity using knockdown techniques. Our validation approach is straightforward: if an antibody identifies a signal in wild-type (WT) cells, but this signal is absent or noticeably reduced in gene-silenced (KD) cells, we consider the antibody to be highly specific.

    Beschränkungen

    Nur für Forschungszwecke einsetzbar
  • Format

    Liquid

    Buffer

    PBS (pH 7.4) containing 50% glycerol and 0.02% sodium azide.

    Konservierungsmittel

    Sodium azide

    Vorsichtsmaßnahmen

    This product contains Sodium azide: a POISONOUS AND HAZARDOUS SUBSTANCE which should be handled by trained staff only.

    Lagerung

    -20 °C

    Informationen zur Lagerung

    Store at -20 °C for one year.

    Haltbarkeit

    12 months
  • Target

    DPP9 (Dipeptidyl-Peptidase 9 (DPP9))

    Andere Bezeichnung

    DPP9

    Molekulargewicht

    98 kDa

    Gen-ID

    91039

    UniProt

    Q86TI2
Sie sind hier:
Chat with us!