CCL17 Antikörper
Der Maus Monoklonal anti-CCL17 Antikörper wird verwendet zum Nachweis von CCL17 in Proben von Human. Er wurde validiert für WB.
Produktnummer ABIN7798041
394,31 €
Zzgl. Versandkosten 20,00 € und MwSt
Lieferung in 7 bis 10 Werktagen
Kurzübersicht für CCL17 Antikörper (ABIN7798041)
Target
Alle CCL17 Antikörper anzeigen
CCL17
(Chemokine (C-C Motif) Ligand 17 (CCL17))
Reaktivität
Human
Wirt
Maus
Klonalität
Monoklonal
Konjugat
Dieser CCL17 Antikörper ist unkonjugiert
Applikation
Western Blotting (WB)
Klon
24GB14095
-
-
Verwendungszweck
-
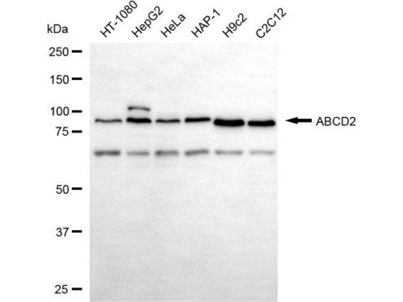
ABCD2 Mouse mAb
-
Kreuzreaktivität
-
Maus, Ratte
-
Aufreinigung
-
Affinity Purified
-
Immunogen
-
Recombinant protein of human ABCD2
-
Isotyp
-
IgG1
-
-
-
Applikationshinweise
-
Western Blotting (WB): 1:200-1:1,000
-
Beschränkungen
-
Nur für Forschungszwecke einsetzbar
-
-
Format
-
Liquid
-
Buffer
-
PBS (pH 7.4) containing 50% glycerol and 0.02% sodium azide.
-
Konservierungsmittel
-
Sodium azide
-
Vorsichtsmaßnahmen
-
This product contains Sodium azide: a POISONOUS AND HAZARDOUS SUBSTANCE which should be handled by trained staff only.
-
Lagerung
-
-20 °C
-
Informationen zur Lagerung
-
Store at -20 °C for one year.
-
Haltbarkeit
-
12 months
-
Target
-
CCL17
(Chemokine (C-C Motif) Ligand 17 (CCL17))
-
Andere Bezeichnung
-
ABCD2
-
Molekulargewicht
-
83 kDa
-
Gen-ID
-
225
-
UniProt
-
Q9UBJ2
-