Telefon:
+49 (0)241 95 163 153
Fax:
+49 (0)241 95 163 155
E-Mail:
orders@antikoerper-online.de

Rekombinanter Acyl Co-A Dehydrogenase (AIDB) (chain short) Antikörper

Der Kaninchen Monoklonal anti-Acyl Co-A Dehydrogenase Antikörper (Klon 23GB1365) (ABIN7797493) detektiert spezifisch Acyl Co-A Dehydrogenase in FACS, ICC, IF (p) und WB. Dieser Antikörper reagiert spezifisch mit Proben aus Human.
Produktnummer ABIN7797493
598,92 €
Zzgl. Versandkosten 20,00 € und MwSt
100 μL
Lieferung nach: Deutschland
Lieferung in 7 bis 10 Werktagen

Kurzübersicht für Rekombinanter Acyl Co-A Dehydrogenase (AIDB) (chain short) Antikörper (ABIN7797493)

Target

Acyl Co-A Dehydrogenase (AIDB)

Antikörpertyp

Recombinant Antibody

Reaktivität

Human

Wirt

Kaninchen

Klonalität

Monoklonal

Applikation

Flow Cytometry (FACS), Immunocytochemistry (ICC), Immunofluorescence (Paraffin-embedded Sections) (IF (p)), Western Blotting (WB)

Güteklasse

KD Validated

Klon

23GB1365
  • Bindungsspezifität

    chain short

    Expressionssystem

    HEK-293 Cells

    Verwendungszweck

    KD-Validated Acyl-CoA dehydrogenase short chain Recombinant Rabbit mAb

    Kreuzreaktivität

    Maus, Ratte

    Aufreinigung

    Affinity Purified

    Immunogen

    A synthesized peptide derived from human ACADS / SCAD

    Isotyp

    IgG
  • Applikationshinweise

    Western Blotting (WB): 1:1,000-1:5,000, Flow Cytometry (FCM): 1:200-1:2,000, Immunocytochemistry (ICC): 1:100-1:1,000, Immunohistochemistry-Paraffin (IHC-P): 1:100-1:200

    Kommentare

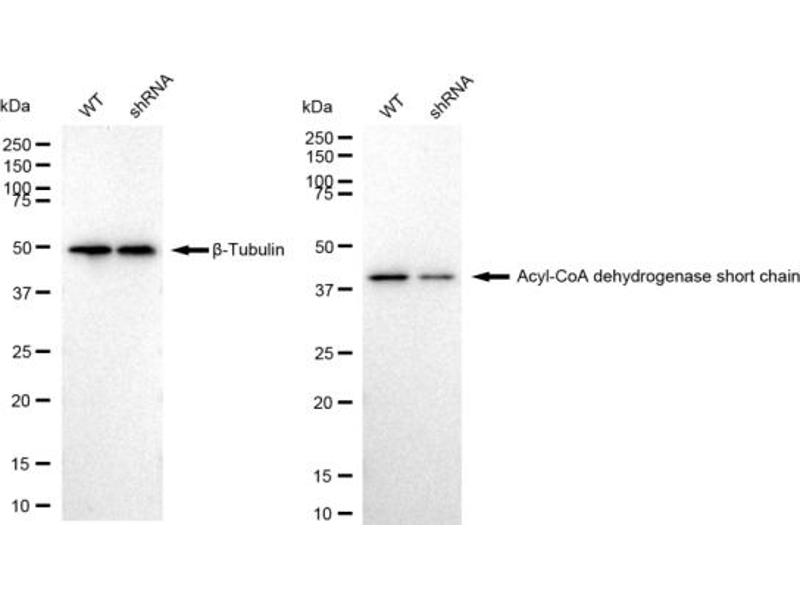
    We assess the antibodies’ specificity and selectivity using knockdown techniques. Our validation approach is straightforward: if an antibody identifies a signal in wild-type (WT) cells, but this signal is absent or noticeably reduced in gene-silenced (KD) cells, we consider the antibody to be highly specific.

    Beschränkungen

    Nur für Forschungszwecke einsetzbar
  • Format

    Liquid

    Buffer

    PBS (pH 7.4) containing 50% glycerol and 0.02% sodium azide.

    Konservierungsmittel

    Sodium azide

    Vorsichtsmaßnahmen

    This product contains Sodium azide: a POISONOUS AND HAZARDOUS SUBSTANCE which should be handled by trained staff only.

    Lagerung

    -20 °C

    Informationen zur Lagerung

    Store at -20 °C for one year.

    Haltbarkeit

    12 months
  • Target

    Acyl Co-A Dehydrogenase (AIDB)

    Andere Bezeichnung

    Acyl-CoA dehydrogenase

    Molekulargewicht

    44 kDa

    Gen-ID

    35

    UniProt

    P16219
Sie sind hier:
Chat with us!