Telefon:
+49 (0)241 95 163 153
Fax:
+49 (0)241 95 163 155
E-Mail:
orders@antikoerper-online.de

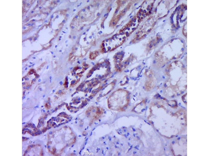
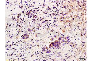
G-CSF Antikörper (AA 155-198)

Zitiert in 1 Publikation. Der Kaninchen Polyklonal anti-G-CSF Antikörper (ABIN736521) detektiert spezifisch G-CSF in WB, ELISA, IHC (p), IF (cc), IF (p) und IHC (fro). Dieser Antikörper reagiert spezifisch mit Proben aus Human, Maus und Ratte.
Produktnummer ABIN736521
357,70 €
Zzgl. Versandkosten 20,00 € und MwSt
100 μL
Lieferung nach: Deutschland
Lieferung in 8 bis 12 Werktagen

Kurzübersicht für G-CSF Antikörper (AA 155-198) (ABIN736521)

Target

Alle G-CSF (CSF3) Antikörper anzeigen
G-CSF (CSF3) (Colony Stimulating Factor 3 (Granulocyte) (CSF3))

Reaktivität

  • 132
  • 38
  • 32
  • 28
  • 3
  • 1
Human, Maus, Ratte

Wirt

  • 89
  • 46
  • 15
  • 2
  • 1
Kaninchen

Klonalität

  • 82
  • 71
Polyklonal

Konjugat

  • 76
  • 14
  • 7
  • 4
  • 3
  • 3
  • 3
  • 3
  • 3
  • 3
  • 3
  • 3
  • 2
  • 2
  • 2
  • 2
  • 2
  • 2
  • 2
  • 1
  • 1
  • 1
  • 1
  • 1
  • 1
  • 1
  • 1
  • 1
  • 1
  • 1
  • 1
  • 1
  • 1
Dieser G-CSF Antikörper ist unkonjugiert

Applikation

  • 88
  • 47
  • 45
  • 25
  • 25
  • 23
  • 20
  • 18
  • 12
  • 12
  • 10
  • 9
  • 7
  • 6
  • 5
  • 3
  • 2
  • 2
  • 2
  • 1
  • 1
  • 1
Western Blotting (WB), ELISA, Immunohistochemistry (Paraffin-embedded Sections) (IHC (p)), Immunofluorescence (Cultured Cells) (IF (cc)), Immunofluorescence (Paraffin-embedded Sections) (IF (p)), Immunohistochemistry (Frozen Sections) (IHC (fro))
  • Bindungsspezifität

    • 14
    • 9
    • 7
    • 5
    • 3
    • 3
    • 2
    • 2
    • 2
    • 1
    • 1
    • 1
    • 1
    • 1
    • 1
    • 1
    • 1
    • 1
    • 1
    • 1
    • 1
    AA 155-198

    Kreuzreaktivität

    Human, Maus, Ratte

    Homologie

    Cow,Sheep,Pig

    Aufreinigung

    Purified by Protein A.

    Immunogen

    KLH conjugated synthetic peptide derived from human CSF3

    Isotyp

    IgG
  • Applikationshinweise

    WB 1:300-5000
    ELISA 1:500-1000
    IHC-P 1:200-400
    IHC-F 1:100-500
    IF(IHC-P) 1:50-200
    IF(IHC-F) 1:50-200
    IF(ICC) 1:50-200

    Beschränkungen

    Nur für Forschungszwecke einsetzbar
  • Format

    Liquid

    Konzentration

    1 μg/μL

    Buffer

    0.01M TBS( pH 7.4) with 1 % BSA, 0.02 % Proclin300 and 50 % Glycerol.

    Konservierungsmittel

    ProClin

    Vorsichtsmaßnahmen

    This product contains ProClin: a POISONOUS AND HAZARDOUS SUBSTANCE, which should be handled by trained staff only.

    Lagerung

    4 °C,-20 °C

    Informationen zur Lagerung

    Shipped at 4°C. Store at -20°C for one year. Avoid repeated freeze/thaw cycles.

    Haltbarkeit

    12 months
  • Kameyama, Udagawa, Hoshi, Toukairin, Arai, Nogami: "The mRNA expressions and immunohistochemistry of factors involved in angiogenesis and lymphangiogenesis in the early stage of rat skin incision wounds." in: Legal medicine (Tokyo, Japan), Vol. 17, Issue 4, pp. 255-60, (2015) (PubMed).

  • Target

    G-CSF (CSF3) (Colony Stimulating Factor 3 (Granulocyte) (CSF3))

    Andere Bezeichnung

    CSF3

    Hintergrund

    Synonyms: GCSF, CSF3OS, C17orf33, Granulocyte colony-stimulating factor, G-CSF, Pluripoietin, CSF3

    Background: Granulocyte/macrophage colony-stimulating factors are cytokines that act in hematopoiesis by controlling the production, differentiation, and function of 2 related white cell populations of the blood, the granulocytes and the monocytes-macrophages. This CSF induces granulocytes.

    Gen-ID

    1440

    UniProt

    P09919

    Pathways

    Cellular Response to Molecule of Bacterial Origin, Regulation of Actin Filament Polymerization
Sie sind hier:
Chat with us!