SNCAIP Antikörper (AA 51-150)
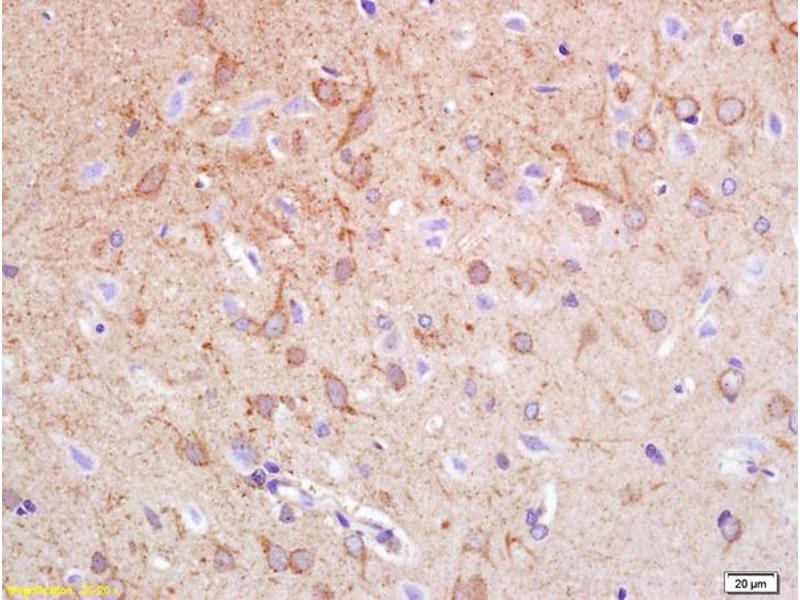
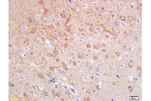
Kurzübersicht für SNCAIP Antikörper (AA 51-150) (ABIN736163)
Target
Alle SNCAIP Antikörper anzeigenReaktivität
Wirt
Klonalität
Konjugat
Applikation
-
-
Bindungsspezifität
- AA 51-150
-
Kreuzreaktivität
- Maus, Ratte
-
Homologie
- Human,Dog,Cow,Sheep,Pig,Horse,Chicken,Rabbit,Guinea Pig
-
Aufreinigung
- Purified by Protein A.
-
Immunogen
- KLH conjugated synthetic peptide derived from human Synphilin 1
-
Isotyp
- IgG
-
-
-
-
Applikationshinweise
-
WB 1:300-5000
ELISA 1:500-1000
IHC-P 1:200-400
IHC-F 1:100-500
IF(IHC-P) 1:50-200
IF(IHC-F) 1:50-200
IF(ICC) 1:50-200 -
Beschränkungen
- Nur für Forschungszwecke einsetzbar
-
-
-
Format
- Liquid
-
Konzentration
- 1 μg/μL
-
Buffer
- 0.01M TBS( pH 7.4) with 1 % BSA, 0.02 % Proclin300 and 50 % Glycerol.
-
Konservierungsmittel
- ProClin
-
Vorsichtsmaßnahmen
- This product contains ProClin: a POISONOUS AND HAZARDOUS SUBSTANCE, which should be handled by trained staff only.
-
Lagerung
- 4 °C,-20 °C
-
Informationen zur Lagerung
- Shipped at 4°C. Store at -20°C for one year. Avoid repeated freeze/thaw cycles.
-
Haltbarkeit
- 12 months
-
-
- SNCAIP (Synuclein, alpha Interacting Protein (SNCAIP))
-
Andere Bezeichnung
- Synphilin 1
-
Hintergrund
-
Synonyms: Sph1, SYPH1, Synphilin-1, Alpha-synuclein-interacting protein, SNCAIP
Background: Isoform 2 inhibits the ubiquitin ligase activity of SIAH1 and inhibits proteasomal degradation of target proteins. Isoform 2 inhibits autoubiquitination and proteasomal degradation of SIAH1, and thereby increases cellular levels of SIAH. Isoform 2 modulates SNCA monoubiquitination by SIAH1.
-
Gen-ID
- 9627
-
UniProt
- Q9Y6H5
Target
-