Telefon:
+49 (0)241 95 163 153
Fax:
+49 (0)241 95 163 155
E-Mail:
orders@antikoerper-online.de

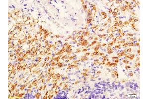
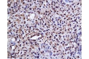
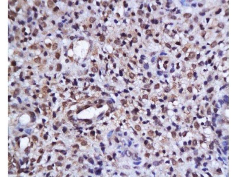
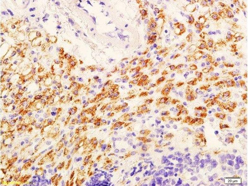
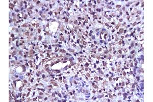
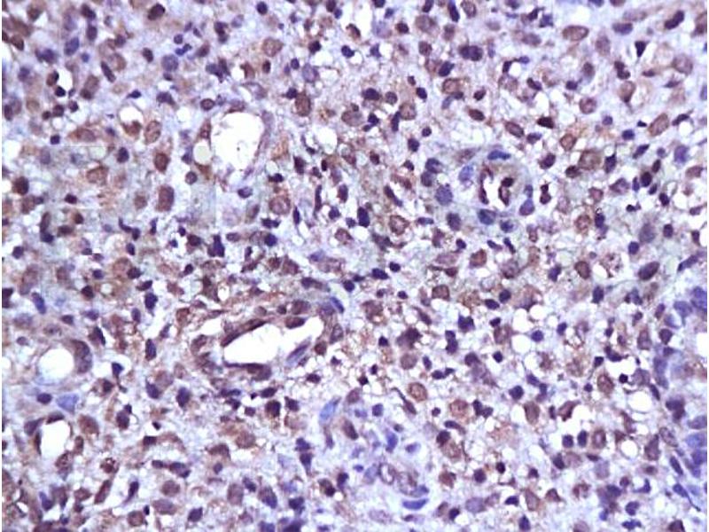
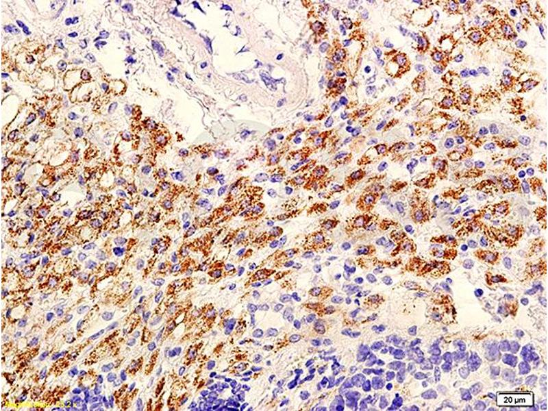
AKT 1/2/3 Antikörper (pSer473)

Dieser Kaninchen Polyklonal Antikörper detektiert spezifisch AKT 1/2/3 in WB, IF (cc), IF (p), ELISA, IHC (p) und IHC (fro). Es zeigt Reaktivität gegenüber Proben von Human, Maus, Ratte, Rind (Kuh), Kaninchen, Huhn und Fisch. Es wurde in 6+ Publikationen zitiert.
Produktnummer ABIN729298
357,70 €
Zzgl. Versandkosten 20,00 € und MwSt
100 μL
Lieferung nach: Deutschland
Lieferung in 8 bis 12 Werktagen

Kurzübersicht für AKT 1/2/3 Antikörper (pSer473) (ABIN729298)

Target

AKT 1/2/3

Reaktivität

  • 176
  • 166
  • 151
  • 43
  • 32
  • 25
  • 23
  • 14
  • 7
  • 7
  • 4
  • 4
  • 1
Human, Maus, Ratte, Rind (Kuh), Kaninchen, Huhn, Fisch

Wirt

  • 176
  • 3
Kaninchen

Klonalität

  • 140
  • 39
Polyklonal

Konjugat

  • 47
  • 11
  • 7
  • 6
  • 6
  • 6
  • 6
  • 6
  • 6
  • 6
  • 6
  • 6
  • 6
  • 6
  • 6
  • 6
  • 4
  • 4
  • 4
  • 4
  • 4
  • 4
  • 2
  • 2
  • 2
  • 2
  • 2
  • 2
Dieser AKT 1/2/3 Antikörper ist unkonjugiert

Applikation

  • 159
  • 105
  • 78
  • 77
  • 51
  • 35
  • 32
  • 29
  • 28
  • 26
  • 17
  • 3
Western Blotting (WB), Immunofluorescence (Cultured Cells) (IF (cc)), Immunofluorescence (Paraffin-embedded Sections) (IF (p)), ELISA, Immunohistochemistry (Paraffin-embedded Sections) (IHC (p)), Immunohistochemistry (Frozen Sections) (IHC (fro))
  • Bindungsspezifität

    • 22
    • 21
    • 20
    • 20
    • 19
    • 19
    • 16
    • 16
    • 16
    • 16
    • 7
    • 2
    • 2
    • 2
    • 1
    • 1
    • 1
    • 1
    • 1
    • 1
    • 1
    • 1
    • 1
    • 1
    • 1
    • 1
    • 1
    • 1
    • 1
    • 1
    pSer473

    Kreuzreaktivität

    Huhn, Rind (Kuh), Fisch, Human, Maus, Kaninchen, Ratte

    Homologie

    Dog,Cow,Sheep

    Aufreinigung

    Purified by Protein A.

    Immunogen

    KLH conjugated synthetic phosphopeptide derived from human AKT1 around the phosphorylation site of Ser473

    Isotyp

    IgG
  • Applikationshinweise

    WB 1:300-5000
    ELISA 1:500-1000
    IHC-P 1:200-400
    IHC-F 1:100-500
    IF(IHC-P) 1:50-200
    IF(IHC-F) 1:50-200
    IF(ICC) 1:50-200

    Beschränkungen

    Nur für Forschungszwecke einsetzbar
  • Format

    Liquid

    Konzentration

    1 μg/μL

    Buffer

    0.01M TBS( pH 7.4) with 1 % BSA, 0.02 % Proclin300 and 50 % Glycerol.

    Konservierungsmittel

    ProClin

    Vorsichtsmaßnahmen

    This product contains ProClin: a POISONOUS AND HAZARDOUS SUBSTANCE, which should be handled by trained staff only.

    Lagerung

    4 °C,-20 °C

    Informationen zur Lagerung

    Shipped at 4°C. Store at -20°C for one year. Avoid repeated freeze/thaw cycles.

    Haltbarkeit

    12 months
  • Li, Jia, Ji, Gong, Wang, Zhang, Wang, Zang: "The neutrophil elastase inhibitor, sivelestat, attenuates sepsis-related kidney injury in rats." in: International journal of molecular medicine, Vol. 38, Issue 3, pp. 767-75, (2016) (PubMed).

    Xu, Xu, Luan, Jiang, Tian, Zhang: "Cardioprotection against experimental myocardial ischemic injury using cornin." in: Brazilian journal of medical and biological research = Revista brasileira de pesquisas medicas e biologicas, Vol. 49, Issue 2, pp. e5039, (2016) (PubMed).

    Santos, Mesquita, Barros-Silva, Jerónimo, Henrique, Morais, Paulo, Teixeira: "Uncovering potential downstream targets of oncogenic GRPR overexpression in prostate carcinomas harboring ETS rearrangements." in: Oncoscience, Vol. 2, Issue 5, pp. 497-507, (2015) (PubMed).

    Liang, Zeng, Wang, Shen, Li, Ma, Ci, Yu, Jia, Sun, Liu, Liu, Li, Yu, Chen, Jia: "Histone demethylase RBP2 induced by Helicobactor Pylori CagA participates in the malignant transformation of gastric epithelial cells." in: Oncotarget, Vol. 5, Issue 14, pp. 5798-807, (2015) (PubMed).

    Tang, Liu, Dong, Li, Li, Lin, Zheng, Hou, Li: "The cardioprotective effects of citric Acid and L-malic Acid on myocardial ischemia/reperfusion injury." in: Evidence-based complementary and alternative medicine : eCAM, Vol. 2013, pp. 820695, (2013) (PubMed).

  • Target

    AKT 1/2/3

    Andere Bezeichnung

    AKT1/2/3

    Hintergrund

    Synonyms: Akt, RAC-alpha serine/threonine-protein kinase, Protein kinase B, PKB, Protein kinase B alpha, PKB alpha, RAC-PK-alpha, Akt1

    Background: AKT1-specific substrates have been recently identified, including palladin (PALLD), which phosphorylation modulates cytoskeletal organization and cell motility, prohibitin (PHB), playing an important role in cell metabolism and proliferation, and CDKN1A, for which phosphorylation at 'Thr-145' induces its release from CDK2 and cytoplasmic relocalization. These recent findings indicate that the AKT1 isoform has a more specific role in cell motility and proliferation. Phosphorylates CLK2 thereby controlling cell survival to ionizing radiation.

    Gen-ID

    24185

    UniProt

    P47196
Sie sind hier:
Chat with us!