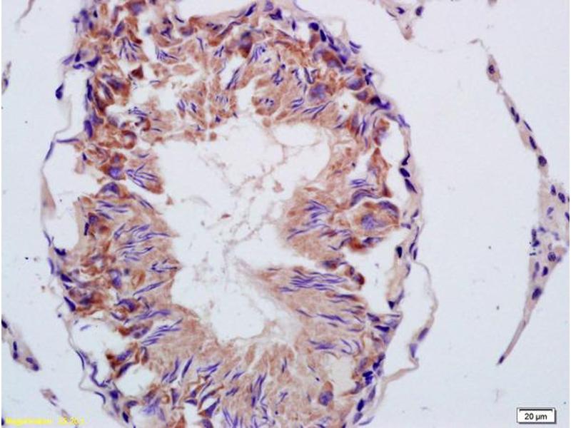
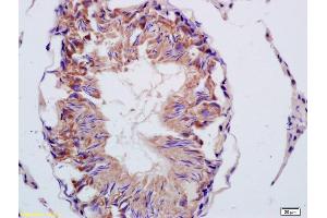
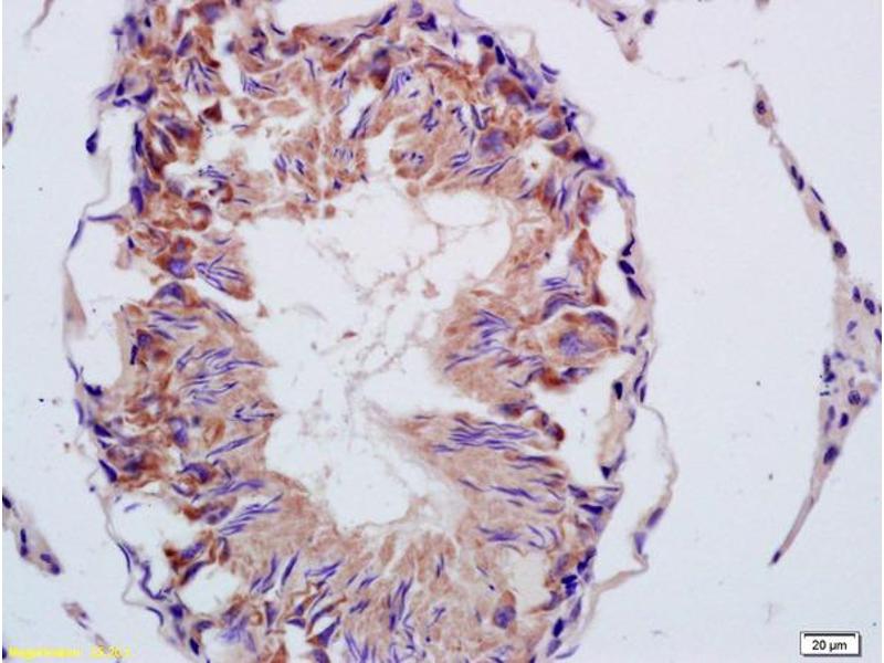
CMTM2 Antikörper (AA 23-100)
Kurzübersicht für CMTM2 Antikörper (AA 23-100) (ABIN726995)
Target
Alle CMTM2 Antikörper anzeigenReaktivität
Wirt
Klonalität
Konjugat
Applikation
-
-
Bindungsspezifität
- AA 23-100
-
Kreuzreaktivität
- Human
-
Aufreinigung
- Purified by Protein A.
-
Immunogen
- KLH conjugated synthetic peptide derived from human CMTM2
-
Isotyp
- IgG
-
-
-
-
Applikationshinweise
-
IHC-P 1:200-400
IHC-F 1:100-500
IF(IHC-P) 1:50-200
IF(IHC-F) 1:50-200
IF(ICC) 1:50-200 -
Beschränkungen
- Nur für Forschungszwecke einsetzbar
-
-
-
Format
- Liquid
-
Konzentration
- 1 μg/μL
-
Buffer
- 0.01M TBS( pH 7.4) with 1 % BSA, 0.02 % Proclin300 and 50 % Glycerol.
-
Konservierungsmittel
- ProClin
-
Vorsichtsmaßnahmen
- This product contains ProClin: a POISONOUS AND HAZARDOUS SUBSTANCE, which should be handled by trained staff only.
-
Lagerung
- 4 °C,-20 °C
-
Informationen zur Lagerung
- Shipped at 4°C. Store at -20°C for one year. Avoid repeated freeze/thaw cycles.
-
Haltbarkeit
- 12 months
-
-
- CMTM2 (CKLF-Like MARVEL Transmembrane Domain Containing 2 (CMTM2))
-
Andere Bezeichnung
- CMTM2
-
Hintergrund
-
Synonyms: CKLFSF2, CKLF-like MARVEL transmembrane domain-containing protein 2, Chemokine-like factor superfamily member 2, CMTM2
Background: This gene belongs to the chemokine-like factor gene superfamily, a novel family that links the chemokine and the transmembrane 4 superfamilies of signaling molecules. The protein encoded by this gene may play an important role in testicular development. [provided by RefSeq, Jul 2008]
-
Gen-ID
- 146225
-
UniProt
- Q8TAZ6
Target
-