Telefon:
+49 (0)241 95 163 153
Fax:
+49 (0)241 95 163 155
E-Mail:
orders@antikoerper-online.de

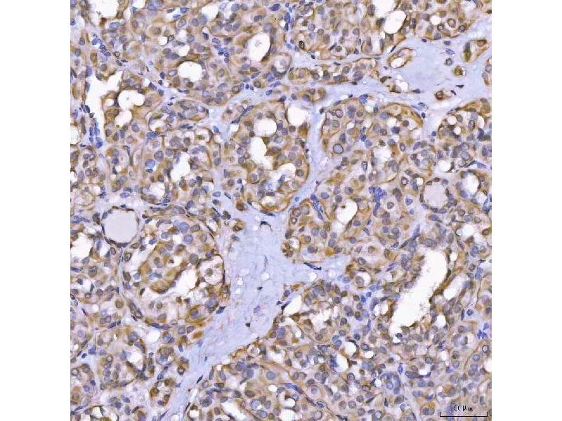
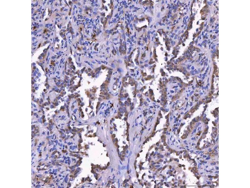
TOM1L1 Antikörper (AA 9-448)

Der Kaninchen Polyklonal anti-TOM1L1 Antikörper wird verwendet zum Nachweis von TOM1L1 in Proben von Human, Ratte und Maus. Er wurde validiert für WB, ELISA, IHC, IF und FACS.
Produktnummer ABIN7602631
500,50 €
Zzgl. Versandkosten 20,00 € und MwSt
100 μg
Lieferung nach: Deutschland
Lieferung in 8 bis 12 Werktagen

Kurzübersicht für TOM1L1 Antikörper (AA 9-448) (ABIN7602631)

Target

Alle TOM1L1 Antikörper anzeigen
TOM1L1 (Target of Myb1 (Chicken)-Like 1 (TOM1L1))

Reaktivität

  • 49
  • 5
  • 4
  • 3
  • 2
  • 2
  • 2
  • 1
  • 1
  • 1
  • 1
Human, Ratte, Maus

Wirt

  • 41
  • 6
  • 1
Kaninchen

Klonalität

  • 45
  • 4
Polyklonal

Konjugat

  • 26
  • 4
  • 3
  • 3
  • 1
  • 1
  • 1
  • 1
  • 1
  • 1
  • 1
  • 1
  • 1
  • 1
  • 1
  • 1
  • 1
Dieser TOM1L1 Antikörper ist unkonjugiert

Applikation

  • 40
  • 18
  • 13
  • 13
  • 6
  • 5
  • 4
  • 4
  • 3
  • 2
Western Blotting (WB), ELISA, Immunohistochemistry (IHC), Immunofluorescence (IF), Flow Cytometry (FACS)
  • Bindungsspezifität

    • 15
    • 9
    • 6
    • 5
    • 2
    • 2
    • 1
    • 1
    • 1
    • 1
    • 1
    AA 9-448

    Verwendungszweck

    Anti-TOM1L1 Antibody

    Kreuzreaktivität (Details)

    No cross-reactivity with other proteins.

    Produktmerkmale

    Anti-TOM1L1 Antibody (ABIN7602631). Tested in ELISA, Flow Cytometry, IF, IHC, WB applications. This antibody reacts with Human, Mouse, Rat. This is a premium antibody that guarantees superior quality, high affinity, and strong signals with minimal background in Western blot applications.

    Aufreinigung

    Immunogen affinity purified.

    Immunogen

    E.coli-derived human TOM1L1 recombinant protein (Position: D9-D448).

    Isotyp

    IgG
  • Applikationshinweise

    Western blot, 0.1-0.25 μg/mL, Human
    Immunohistochemistry(Paraffin-embedded Section), 2-5 μg/mL, Human, Mouse, Rat
    Immunofluorescence, 5 μg/mL, Human
    Flow Cytometry (Fixed), 1-3 μg/1x106 cells, Human
    ELISA, 0.1-0.5 μg/mL, -

    Beschränkungen

    Nur für Forschungszwecke einsetzbar
  • Format

    Lyophilized

    Rekonstitution

    Adding 0.2 mL of distilled water will yield a concentration of 500 μg/mL.

    Konzentration

    500 μg/mL

    Buffer

    Each vial contains 4 mg Trehalose, 0.9 mg NaCl, 0.2 mg Na2HPO4.

    Lagerung

    4 °C,-20 °C

    Informationen zur Lagerung

    At -20°C for one year from date of receipt. After reconstitution, at 4°C for one month.
    It can also be aliquotted and stored frozen at -20°C for six months. Avoid repeated freezing and thawing.
  • Target

    TOM1L1 (Target of Myb1 (Chicken)-Like 1 (TOM1L1))

    Andere Bezeichnung

    TOM1L1

    Hintergrund

    Synonyms: C-C motif chemokine 16, Chemokine CC-4, HCC-4, Chemokine LEC, IL-10-inducible chemokine, LCC-1, Liver-expressed chemokine, Lymphocyte and monocyte chemoattractant, LMC, Monotactin-1, MTN-1, NCC-4, Small-inducible cytokine A16, CCL16, ILINCK, NCC4, SCYA16

    Tissue Specificity: Mainly expressed in liver, also found in spleen and thymus. Highly expressed in LPS- and IFN-gamma- activated monocytes, weakly in some lymphocytes, including natural killer cells, gamma-delta T-cells, and some T-cell clones.

    Background: TOM1-like protein 1 is a protein that in humans is encoded by the TOM1L1 gene. Enables clathrin binding activity and protein kinase binding activity. Involved in negative regulation of mitotic nuclear division, positive regulation of protein phosphorylation, and signal transduction. Located in cytosol and endosome.

    Molekulargewicht

    55 kDa

    Gen-ID

    10040

    UniProt

    O75674
Sie sind hier:
Chat with us!