Telefon:
+49 (0)241 95 163 153
Fax:
+49 (0)241 95 163 155
E-Mail:
orders@antikoerper-online.de

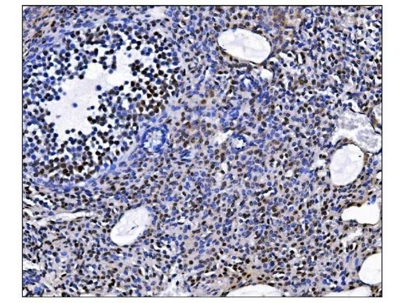
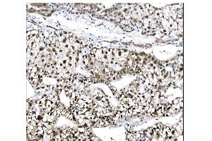
EHMT2 Antikörper (AA 580-1195)

Dieser Kaninchen Polyklonal Antikörper detektiert spezifisch EHMT2 in WB, IHC, ELISA, IF, FACS und ICC. Es zeigt Reaktivität gegenüber Proben von Human, Maus und Ratte.
Produktnummer ABIN7602084
500,50 €
Zzgl. Versandkosten 20,00 € und MwSt
100 μg
Lieferung nach: Deutschland
Lieferung in 8 bis 12 Werktagen

Kurzübersicht für EHMT2 Antikörper (AA 580-1195) (ABIN7602084)

Target

Alle EHMT2 Antikörper anzeigen
EHMT2 (Ankyrin Repeat-Containing Protein (EHMT2))

Reaktivität

  • 66
  • 30
  • 22
  • 3
  • 3
  • 2
  • 1
  • 1
  • 1
  • 1
  • 1
Human, Maus, Ratte

Wirt

  • 67
  • 2
  • 1
Kaninchen

Klonalität

  • 41
  • 29
Polyklonal

Konjugat

  • 40
  • 4
  • 3
  • 3
  • 3
  • 3
  • 3
  • 3
  • 2
  • 2
  • 1
  • 1
  • 1
  • 1
Dieser EHMT2 Antikörper ist unkonjugiert

Applikation

  • 59
  • 25
  • 17
  • 15
  • 14
  • 14
  • 5
  • 5
  • 2
  • 2
  • 1
Western Blotting (WB), Immunohistochemistry (IHC), ELISA, Immunofluorescence (IF), Flow Cytometry (FACS), Immunocytochemistry (ICC)
  • Bindungsspezifität

    • 8
    • 6
    • 5
    • 2
    • 2
    • 2
    • 1
    • 1
    • 1
    • 1
    • 1
    • 1
    • 1
    • 1
    • 1
    AA 580-1195

    Verwendungszweck

    Anti-EHMT2/G9A Antibody

    Kreuzreaktivität (Details)

    No cross-reactivity with other proteins.

    Produktmerkmale

    Anti-EHMT2/G9A Antibody (ABIN7602084). Tested in ELISA, Flow Cytometry, IF, IHC, ICC, WB applications. This antibody reacts with Human, Mouse, Rat. This is a premium antibody that guarantees superior quality, high affinity, and strong signals with minimal background in Western blot applications.

    Aufreinigung

    Immunogen affinity purified.

    Immunogen

    E.coli-derived human EHMT2 recombinant protein (Position: Q580-H1195).

    Isotyp

    IgG
  • Applikationshinweise

    Western blot, 0.25-0.5 μg/mL, Human, Rat
    Immunohistochemistry (Paraffin-embedded Section), 2-5 μg/mL, Human, Mouse
    Immunocytochemistry/Immunofluorescence, 5 μg/mL, Human
    Flow Cytometry (Fixed), 1-3 μg/1x106 cells, Human
    ELISA, 0.1-0.5 μg/mL, -

    Beschränkungen

    Nur für Forschungszwecke einsetzbar
  • Format

    Lyophilized

    Rekonstitution

    Add 0.2 mL of distilled water will yield a concentration of 500 μg/mL.

    Konzentration

    500 μg/mL

    Buffer

    Each vial contains 4 mg Trehalose, 0.9 mg NaCl, 0.2 mg Na2HPO4.

    Lagerung

    4 °C,-20 °C

    Informationen zur Lagerung

    Store at -20°C for one year from date of receipt. After reconstitution, at 4°C for one month.
    It can also be aliquotted and stored frozen at -20°C for six months. Avoid repeated freeze-thaw cycles.
  • Target

    EHMT2 (Ankyrin Repeat-Containing Protein (EHMT2))

    Andere Bezeichnung

    EHMT2

    Hintergrund

    Synonyms: Neuronal migration protein doublecortin,Doublin,Lissencephalin-X,Lis-X,DCX,DBCN, LISX,

    Tissue Specificity: Highly expressed in neuronal cells of fetal brain (in the majority of cells of the cortical plate, intermediate zone and ventricular zone), but not expressed in other fetal tissues. In the adult, highly expressed in the brain frontal lobe, but very low expression in other regions of brain, and not detected in heart, placenta, lung, liver, skeletal muscles, kidney and pancreas.

    Background: Euchromatic histone-lysine N-methyltransferase 2 (EHMT2), also known as G9a, is a histone methyltransferase enzyme that in humans is encoded by the EHMT2 gene. This gene encodes a methyltransferase that methylates lysine residues of histone H3. Methylation of H3 at lysine 9 by this protein results in recruitment of additional epigenetic regulators and repression of transcription. This gene was initially thought to be two different genes, NG36 and G9a, adjacent to each other in the HLA locus. Alternative splicing results in multiple transcript variants.

    Molekulargewicht

    160-180 kDa

    Gen-ID

    10919
Sie sind hier:
Chat with us!