Telefon:
+49 (0)241 95 163 153
Fax:
+49 (0)241 95 163 155
E-Mail:
orders@antikoerper-online.de

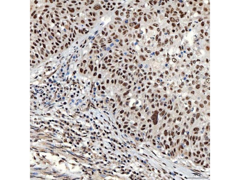
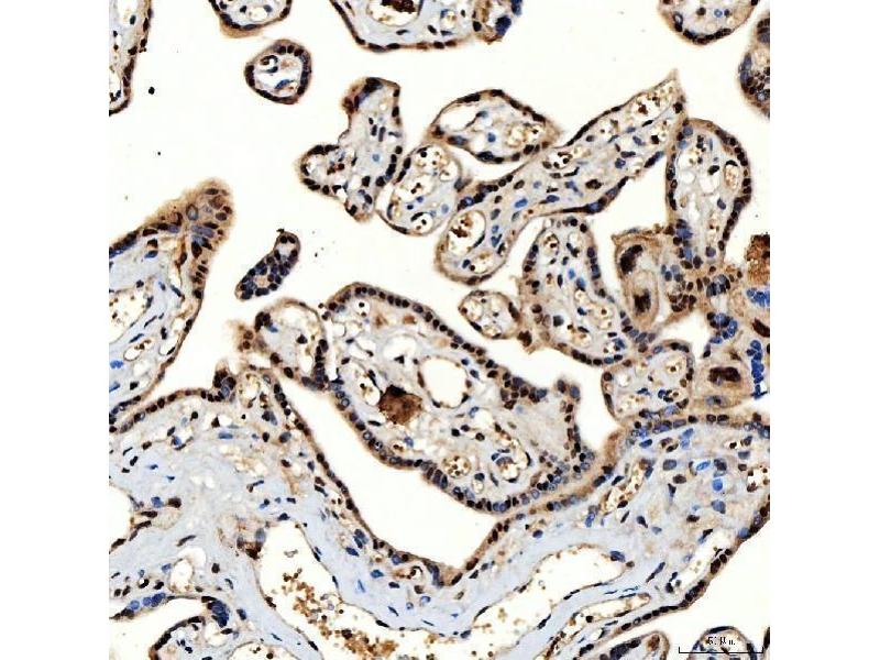
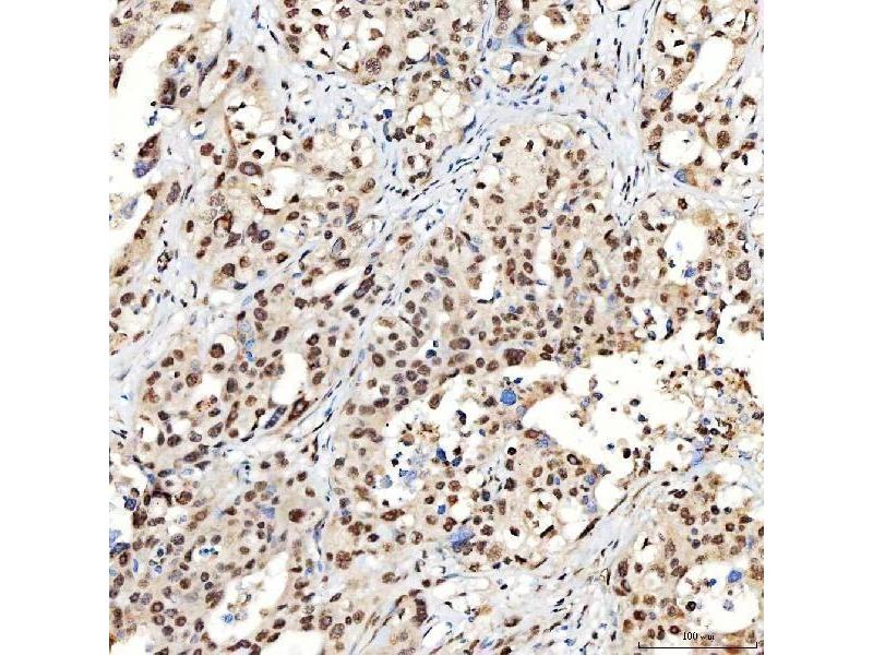
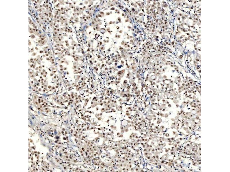
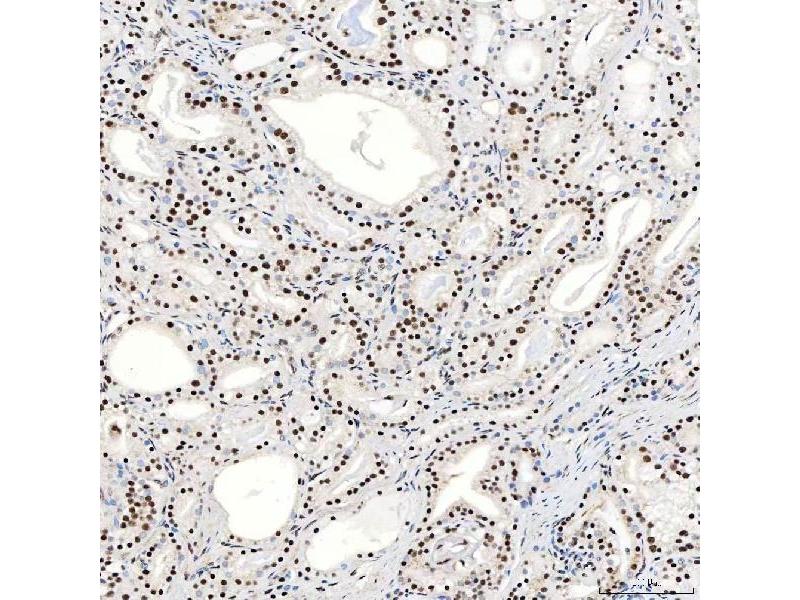
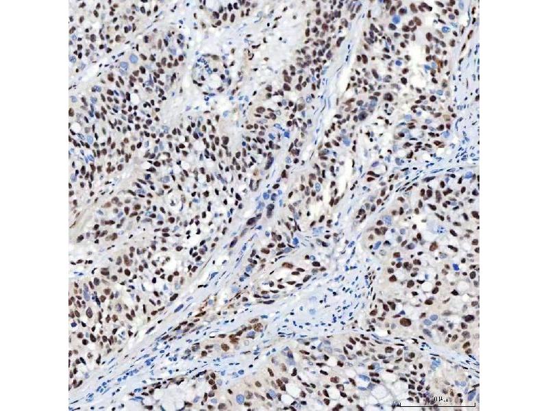
SNRNP40 Antikörper (AA 43-357)

Der Kaninchen Polyklonal anti-SNRNP40 Antikörper wird verwendet zum Nachweis von SNRNP40 in Proben von Human, Maus und Ratte. Er wurde validiert für WB, ELISA, IHC, FACS, ICC und IF.
Produktnummer ABIN7601719
500,50 €
Zzgl. Versandkosten 20,00 € und MwSt
100 μg
Lieferung nach: Deutschland
Lieferung in 8 bis 12 Werktagen

Kurzübersicht für SNRNP40 Antikörper (AA 43-357) (ABIN7601719)

Target

Alle SNRNP40 Antikörper anzeigen
SNRNP40 (Small Nuclear Ribonucleoprotein 40kDa (U5) (SNRNP40))

Reaktivität

  • 20
  • 2
  • 2
  • 2
  • 2
  • 2
  • 2
  • 1
  • 1
  • 1
  • 1
  • 1
  • 1
Human, Maus, Ratte

Wirt

  • 20
Kaninchen

Klonalität

  • 20
Polyklonal

Konjugat

  • 9
  • 3
  • 3
  • 3
  • 1
  • 1
Dieser SNRNP40 Antikörper ist unkonjugiert

Applikation

Western Blotting (WB), ELISA, Immunohistochemistry (IHC), Flow Cytometry (FACS), Immunocytochemistry (ICC), Immunofluorescence (IF)
  • Bindungsspezifität

    • 8
    • 7
    • 1
    • 1
    • 1
    • 1
    • 1
    AA 43-357

    Verwendungszweck

    Anti-SNRNP40 Antibody

    Kreuzreaktivität (Details)

    No cross-reactivity with other proteins

    Produktmerkmale

    Anti-SNRNP40 Antibody (ABIN7601719). Tested in ELISA, Flow Cytometry, IF, IHC, ICC, WB applications. This antibody reacts with Human, Mouse, Rat. This is a premium antibody that guarantees superior quality, high affinity, and strong signals with minimal background in Western blot applications.

    Aufreinigung

    Immunogen affinity purified.

    Immunogen

    E.coli-derived human SNRNP40 recombinant protein (Position: A43-Q357).

    Isotyp

    IgG
  • Applikationshinweise

    Western blot, 0.25-0.5 μg/mL, Human, Mouse, Rat
    Immunohistochemistry(Paraffin-embedded Section), 2-5 μg/mL, Human, Mouse, Rat
    Immunocytochemistry/Immunofluorescence, 5 μg/mL, Human
    Immunofluorescence, 5 μg/mL, Human
    Flow Cytometry (Fixed), 1-3 μg/1x106 cells, Human
    ELISA, 0.1-0.5 μg/mL, -

    Beschränkungen

    Nur für Forschungszwecke einsetzbar
  • Format

    Lyophilized

    Rekonstitution

    Adding 0.2 mL of distilled water will yield a concentration of 500 μg/mL.

    Konzentration

    500 μg/mL

    Buffer

    Each vial contains 4 mg Trehalose, 0.9 mg NaCl, 0.2 mg Na2HPO4.

    Lagerung

    4 °C,-20 °C

    Informationen zur Lagerung

    At -20°C for one year from date of receipt. After reconstitution, at 4°C for one month.
    It can also be aliquotted and stored frozen at -20°C for six months. Avoid repeated freezing and thawing.
  • Target

    SNRNP40 (Small Nuclear Ribonucleoprotein 40kDa (U5) (SNRNP40))

    Andere Bezeichnung

    SNRNP40

    Hintergrund

    Synonyms: Alpha-amylase 1,3.2.1.1,1,4-alpha-D-glucan glucanohydrolase 1,Salivary alpha-amylase,AMY1A,AMY1,AMY1B,AMY1,AMY1C,AMY1,

    Tissue Specificity: Highly expressed in the kidney, brain and testis and to a lower extent in heart, liver and small intestine. Expressed in the lens, cornea and retina. Strongly expressed in the distal tips of the retinal neuroepithelium that form the iris and ciliary body.

    Background: This gene encodes a component of the U5 small nuclear ribonucleoprotein (snRNP) particle. The U5 snRNP is part of the spliceosome, a multiprotein complex that catalyzes the removal of introns from pre-messenger RNAs.

    Molekulargewicht

    37 kDa

    Gen-ID

    9410
Sie sind hier:
Chat with us!