Telefon:
+49 (0)241 95 163 153
Fax:
+49 (0)241 95 163 155
E-Mail:
orders@antikoerper-online.de

SBNO1 Antikörper (AA 43-1303)

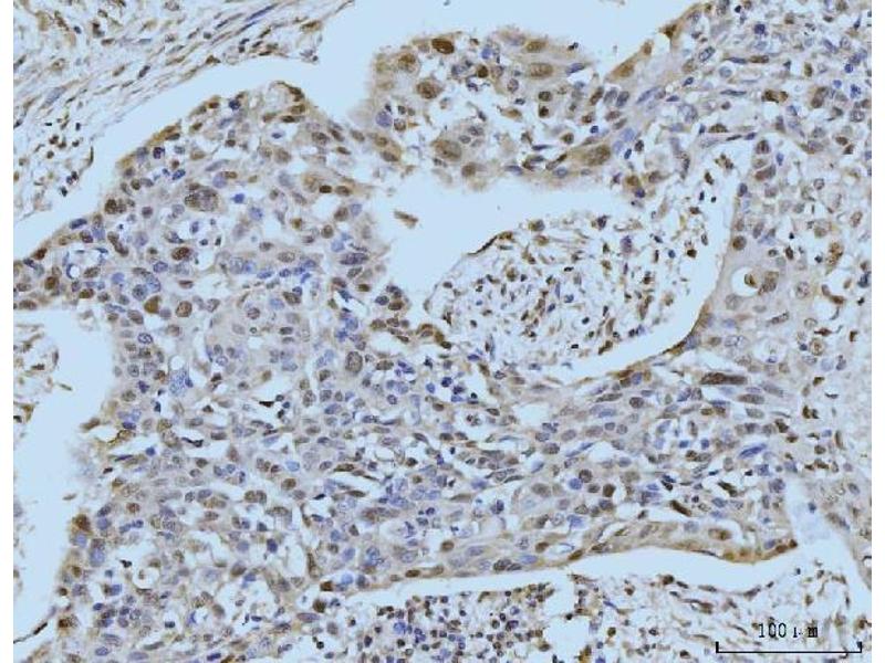
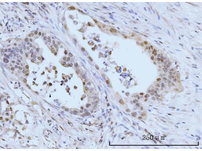
Der Kaninchen Polyklonal anti-SBNO1 Antikörper wird verwendet zum Nachweis von SBNO1 in Proben von Human, Maus und Ratte. Er wurde validiert für WB, ELISA, IHC, ICC, FACS und IF.
Produktnummer ABIN7601710
500,50 €
Zzgl. Versandkosten 20,00 € und MwSt
100 μg
Lieferung nach: Deutschland
Lieferung in 8 bis 12 Werktagen

Kurzübersicht für SBNO1 Antikörper (AA 43-1303) (ABIN7601710)

Target

Alle SBNO1 Antikörper anzeigen
SBNO1 (Strawberry Notch Homolog 1 (SBNO1))

Reaktivität

  • 18
  • 2
  • 1
  • 1
Human, Maus, Ratte

Wirt

  • 19
Kaninchen

Klonalität

  • 19
Polyklonal

Konjugat

  • 5
  • 1
  • 1
  • 1
  • 1
  • 1
  • 1
  • 1
  • 1
  • 1
  • 1
  • 1
  • 1
  • 1
  • 1
Dieser SBNO1 Antikörper ist unkonjugiert

Applikation

  • 19
  • 13
  • 13
  • 6
  • 3
  • 3
  • 1
  • 1
Western Blotting (WB), ELISA, Immunohistochemistry (IHC), Immunocytochemistry (ICC), Flow Cytometry (FACS), Immunofluorescence (IF)
  • Bindungsspezifität

    • 15
    • 1
    • 1
    • 1
    AA 43-1303

    Verwendungszweck

    Anti-SBNO1 Antibody

    Kreuzreaktivität (Details)

    No cross-reactivity with other proteins

    Produktmerkmale

    Anti-SBNO1 Antibody (ABIN7601710). Tested in ELISA, Flow Cytometry, IF, IHC, ICC, WB applications. This antibody reacts with Human, Mouse, Rat. This is a premium antibody that guarantees superior quality, high affinity, and strong signals with minimal background in Western blot applications.

    Aufreinigung

    Immunogen affinity purified.

    Immunogen

    E.coli-derived human SBNO1 recombinant protein (Position: Q43-E1303).

    Isotyp

    IgG
  • Applikationshinweise

    Western blot, 0.25-0.5 μg/mL, Human
    Immunohistochemistry(Paraffin-embedded Section), 2-5 μg/mL, Human, Mouse, Rat
    Immunocytochemistry/Immunofluorescence, 5 μg/mL, Human
    Flow Cytometry (Fixed), 1-3 μg/1x106 cells, Human
    ELISA, 0.1-0.5 μg/mL, -

    Beschränkungen

    Nur für Forschungszwecke einsetzbar
  • Format

    Lyophilized

    Rekonstitution

    Adding 0.2 mL of distilled water will yield a concentration of 500 μg/mL.

    Konzentration

    500 μg/mL

    Buffer

    Each vial contains 4 mg Trehalose, 0.9 mg NaCl, 0.2 mg Na2HPO4.

    Lagerung

    4 °C,-20 °C

    Informationen zur Lagerung

    At -20°C for one year from date of receipt. After reconstitution, at 4°C for one month.
    It can also be aliquotted and stored frozen at -20°C for six months. Avoid repeated freezing and thawing.
  • Target

    SBNO1 (Strawberry Notch Homolog 1 (SBNO1))

    Andere Bezeichnung

    SBNO1

    Hintergrund

    Synonyms: Follicular dendritic cell secreted peptide,FDC secreted protein,FDC-SP,FDCSP,C4orf7,UNQ733/PRO1419,

    Tissue Specificity: Abundantly expressed in tonsil, lymph node, and trachea, strong expression in prostate, lower expression in thyroid, stomach, and colon. .

    Background: SBNO1, also named as Monocyte protein 3 or MOP3, is a 1393 amino acid protein, which belongs to the SBNO family. SBNO1 play an important role in development of the vertebrate central nervous system. SBNO1 has four isoforms with MW 154 kDa and 80 kDa.

    Molekulargewicht

    154 kDa

    Gen-ID

    55206

    Pathways

    SARS-CoV-2 Protein Interaktom
Sie sind hier:
Chat with us!