Telefon:
+49 (0)241 95 163 153
Fax:
+49 (0)241 95 163 155
E-Mail:
orders@antikoerper-online.de

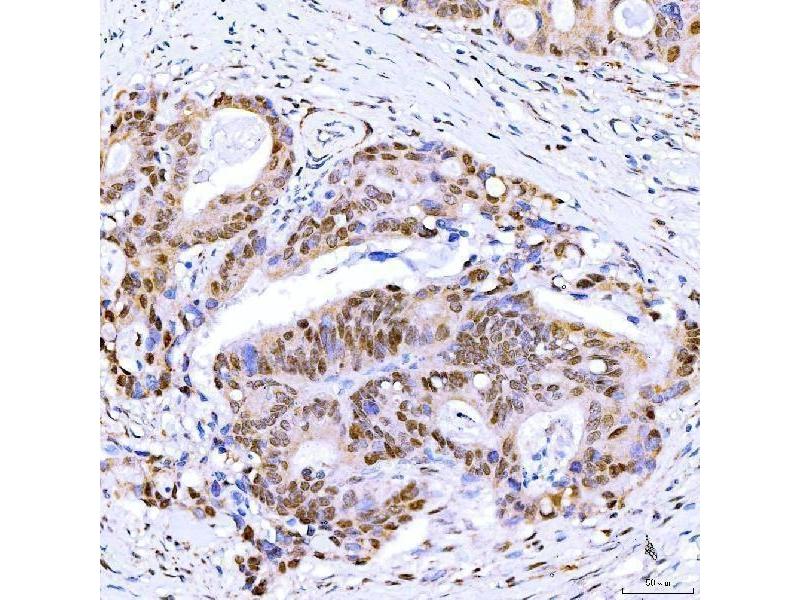
Symplekin Antikörper (AA 384-1092)

Der Kaninchen Polyklonal anti-Symplekin Antikörper (ABIN7601558) detektiert spezifisch Symplekin in WB, IHC, ELISA, IF, FACS und ICC. Dieser Antikörper reagiert spezifisch mit Proben aus Human und Ratte.
Produktnummer ABIN7601558
500,50 €
Zzgl. Versandkosten 20,00 € und MwSt
100 μg
Lieferung nach: Deutschland
Lieferung in 8 bis 12 Werktagen

Kurzübersicht für Symplekin Antikörper (AA 384-1092) (ABIN7601558)

Target

Alle Symplekin (SYMPK) Antikörper anzeigen
Symplekin (SYMPK)

Reaktivität

  • 24
  • 5
  • 5
  • 4
  • 3
  • 3
  • 3
  • 3
  • 1
  • 1
Human, Ratte

Wirt

  • 19
  • 5
Kaninchen

Klonalität

  • 20
  • 4
Polyklonal

Konjugat

  • 24
Dieser Symplekin Antikörper ist unkonjugiert

Applikation

  • 21
  • 10
  • 7
  • 6
  • 6
  • 3
  • 2
Western Blotting (WB), Immunohistochemistry (IHC), ELISA, Immunofluorescence (IF), Flow Cytometry (FACS), Immunocytochemistry (ICC)
  • Bindungsspezifität

    • 4
    • 3
    • 2
    • 2
    • 2
    • 2
    • 1
    • 1
    • 1
    • 1
    • 1
    AA 384-1092

    Verwendungszweck

    Anti-Symplekin/SYMPK Antibody

    Kreuzreaktivität (Details)

    No cross-reactivity with other proteins

    Produktmerkmale

    Anti-Symplekin/SYMPK Antibody (ABIN7601558). Tested in ELISA, Flow Cytometry, IF, IHC, ICC, WB applications. This antibody reacts with Human, Rat. This is a premium antibody that guarantees superior quality, high affinity, and strong signals with minimal background in Western blot applications.

    Aufreinigung

    Immunogen affinity purified.

    Immunogen

    E.coli-derived human Symplekin/SYMPK recombinant protein (Position: K384-N1092).

    Isotyp

    IgG
  • Applikationshinweise

    Western blot, 0.25-0.5 μg/mL, Human, Rat
    Immunohistochemistry(Paraffin-embedded Section), 2-5 μg/mL, Human, Rat
    Immunocytochemistry/Immunofluorescence, 5 μg/mL, Human
    Flow Cytometry (Fixed), 1-3 μg/1x106 cells, Human
    ELISA, 0.1-0.5 μg/mL, -

    Beschränkungen

    Nur für Forschungszwecke einsetzbar
  • Format

    Lyophilized

    Rekonstitution

    Adding 0.2 mL of distilled water will yield a concentration of 500 μg/mL.

    Konzentration

    500 μg/mL

    Buffer

    Each vial contains 4 mg Trehalose, 0.9 mg NaCl, 0.2 mg Na2HPO4.

    Lagerung

    4 °C,-20 °C

    Informationen zur Lagerung

    At -20°C for one year from date of receipt. After reconstitution, at 4°C for one month.
    It can also be aliquotted and stored frozen at -20°C for six months. Avoid repeated freezing and thawing.
  • Target

    Symplekin (SYMPK)

    Andere Bezeichnung

    SYMPK

    Hintergrund

    Synonyms: N-alpha-acetyltransferase 15, NatA auxiliary subunit,Gastric cancer antigen Ga19,N-terminal acetyltransferase,NMDA receptor-regulated protein 1,Protein tubedown-1,Tbdn100,NAA15,GA19, NARG1, NATH, TBDN100,

    Tissue Specificity: Expressed at high levels in testis and in ocular endothelial cells. Also found in brain (corpus callosum), heart, colon, bone marrow and at lower levels in most adult tissues, including thyroid, liver, pancreas, mammary and salivary glands, lung, ovary, urogenital system and upper gastrointestinal tract. Overexpressed in gastric cancer, in papillary thyroid carcinomas and in a Burkitt lymphoma cell line (Daudi). Specifically suppressed in abnormal proliferating blood vessels in eyes of patients with proliferative diabetic retinopathy. .

    Background: Symplekin is a protein that in humans is encoded by the SYMPK gene. This gene encodes a nuclear protein that functions in the regulation of polyadenylation and promotes gene expression. The protein forms a high-molecular weight complex with components of the polyadenylation machinery. It is thought to serve as a scaffold for recruiting regulatory factors to the polyadenylation complex. It also participates in 3'-end maturation of histone mRNAs, which do not undergo polyadenylation. The protein also localizes to the cytoplasmic plaques of tight junctions in some cell types.

    Molekulargewicht

    150 kDa

    Gen-ID

    8189

    UniProt

    Q92797
Sie sind hier:
Chat with us!