Telefon:
+49 (0)241 95 163 153
Fax:
+49 (0)241 95 163 155
E-Mail:
orders@antikoerper-online.de

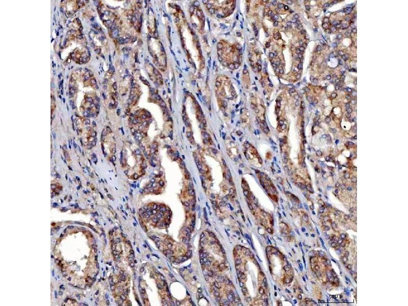
SDF2L1 Antikörper (AA 29-221)

Der Kaninchen Polyklonal anti-SDF2L1 Antikörper (ABIN7601111) detektiert spezifisch SDF2L1 in WB, IHC, ELISA und IF. Dieser Antikörper reagiert spezifisch mit Proben aus Human, Maus und Ratte.
Produktnummer ABIN7601111
500,50 €
Zzgl. Versandkosten 20,00 € und MwSt
100 μg
Lieferung nach: Deutschland
Lieferung in 8 bis 12 Werktagen

Kurzübersicht für SDF2L1 Antikörper (AA 29-221) (ABIN7601111)

Target

Alle SDF2L1 Antikörper anzeigen
SDF2L1 (Stromal Cell Derived Factor 2-Like 1 (SDF2L1))

Reaktivität

Human, Maus, Ratte

Wirt

  • 17
Kaninchen

Klonalität

  • 17
Polyklonal

Konjugat

  • 11
  • 2
  • 1
  • 1
  • 1
  • 1
Dieser SDF2L1 Antikörper ist unkonjugiert

Applikation

  • 16
  • 13
  • 11
  • 10
  • 2
Western Blotting (WB), Immunohistochemistry (IHC), ELISA, Immunofluorescence (IF)
  • Bindungsspezifität

    • 8
    • 3
    • 2
    • 2
    • 1
    • 1
    AA 29-221

    Verwendungszweck

    Anti-SDF2L1 Antibody

    Kreuzreaktivität (Details)

    No cross-reactivity with other proteins

    Produktmerkmale

    Anti-SDF2L1 Antibody (ABIN7601111). Tested in ELISA, IF, IHC, WB applications. This antibody reacts with Human, Mouse, Rat. This is a premium antibody that guarantees superior quality, high affinity, and strong signals with minimal background in Western blot applications.

    Aufreinigung

    Immunogen affinity purified.

    Immunogen

    E.coli-derived human SDF2L1 recombinant protein (Position: A29-L221).

    Isotyp

    IgG
  • Applikationshinweise

    Western blot, 0.1-0.25 μg/mL, Human, Mouse, Rat
    Immunohistochemistry(Paraffin-embedded Section), 2-5 μg/mL, Human, Mouse
    Immunofluorescence, 5 μg/mL, Human
    ELISA, 0.1-0.5 μg/mL, -

    Beschränkungen

    Nur für Forschungszwecke einsetzbar
  • Format

    Lyophilized

    Rekonstitution

    Adding 0.2 mL of distilled water will yield a concentration of 500 μg/mL.

    Konzentration

    500 μg/mL

    Buffer

    Each vial contains 4 mg Trehalose, 0.9 mg NaCl, 0.2 mg Na2HPO4.

    Lagerung

    4 °C,-20 °C

    Informationen zur Lagerung

    At -20°C for one year from date of receipt. After reconstitution, at 4°C for one month.
    It can also be aliquotted and stored frozen at -20°C for six months. Avoid repeated freezing and thawing.
  • Target

    SDF2L1 (Stromal Cell Derived Factor 2-Like 1 (SDF2L1))

    Andere Bezeichnung

    SDF2L1

    Hintergrund

    Synonyms: RNA-binding protein 47,RNA-binding motif protein 47,RBM47,

    Tissue Specificity: Abundantly expressed in tonsil, lymph node, and trachea, strong expression in prostate, lower expression in thyroid, stomach, and colon. .

    Background: Enables misfolded protein binding activity. Involved in chaperone cofactor-dependent protein refolding. Located in endoplasmic reticulum. Part of chaperone complex.

    Molekulargewicht

    24 kDa

    Gen-ID

    23753
Sie sind hier:
Chat with us!