Telefon:
+49 (0)241 95 163 153
Fax:
+49 (0)241 95 163 155
E-Mail:
orders@antikoerper-online.de

Abeta 1-42 Antikörper (AA 1-42)

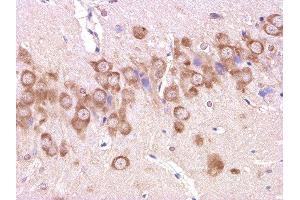
Es sind 9+ Publikationen für dieses Produkt verfügbar. Der Kaninchen Polyklonal anti-Abeta 1-42 Antikörper wird verwendet zum Nachweis von Abeta 1-42 in Proben von Human, Ratte und Maus. Er wurde validiert für WB, ICC, IF (p), ELISA, FACS, IF (cc), IHC (p) und IHC (fro).
Produktnummer ABIN725015
357,70 €
Zzgl. Versandkosten 20,00 € und MwSt
100 μL
Lieferung nach: Deutschland
Lieferung in 8 bis 12 Werktagen

Kurzübersicht für Abeta 1-42 Antikörper (AA 1-42) (ABIN725015)

Target

Alle Abeta 1-42 Antikörper anzeigen
Abeta 1-42 (Amyloid beta 1-42 (Abeta 1-42))

Reaktivität

  • 49
  • 42
  • 22
  • 3
  • 3
  • 3
  • 3
  • 2
Human, Ratte, Maus

Wirt

  • 27
  • 25
  • 1
Kaninchen

Klonalität

  • 27
  • 26
Polyklonal

Konjugat

  • 16
  • 3
  • 2
  • 2
  • 2
  • 2
  • 2
  • 2
  • 2
  • 2
  • 2
  • 2
  • 2
  • 2
  • 2
  • 2
  • 2
  • 2
  • 2
Dieser Abeta 1-42 Antikörper ist unkonjugiert

Applikation

  • 52
  • 25
  • 16
  • 12
  • 11
  • 11
  • 7
  • 7
  • 6
  • 3
  • 2
  • 1
  • 1
  • 1
Western Blotting (WB), Immunocytochemistry (ICC), Immunofluorescence (Paraffin-embedded Sections) (IF (p)), ELISA, Flow Cytometry (FACS), Immunofluorescence (Cultured Cells) (IF (cc)), Immunohistochemistry (Paraffin-embedded Sections) (IHC (p)), Immunohistochemistry (Frozen Sections) (IHC (fro))
  • Bindungsspezifität

    • 15
    • 1
    AA 1-42

    Kreuzreaktivität

    Human, Maus, Ratte

    Homologie

    Dog,Cow,Pig,Chicken,Rabbit

    Aufreinigung

    Purified by Protein A.

    Immunogen

    KLH conjugated synthetic peptide of human beta-Amyloid(1-42)

    Isotyp

    IgG
  • Applikationshinweise

    WB 1:300-5000
    ELISA 1:500-1000
    FCM 1:20-100
    IHC-P 1:200-400
    IHC-F 1:100-500
    IF(IHC-P) 1:50-200
    IF(IHC-F) 1:50-200
    IF(ICC) 1:50-200
    ICC 1:100-500

    Beschränkungen

    Nur für Forschungszwecke einsetzbar
  • Format

    Liquid

    Konzentration

    1 μg/μL

    Buffer

    0.01M TBS( pH 7.4) with 1 % BSA, 0.02 % Proclin300 and 50 % Glycerol.

    Konservierungsmittel

    ProClin

    Vorsichtsmaßnahmen

    This product contains ProClin: a POISONOUS AND HAZARDOUS SUBSTANCE, which should be handled by trained staff only.

    Lagerung

    4 °C,-20 °C

    Informationen zur Lagerung

    Shipped at 4°C. Store at -20°C for one year. Avoid repeated freeze/thaw cycles.

    Haltbarkeit

    12 months
  • Behairi, Belkhelfa, Rafa, Labsi, Deghbar, Bouzid, Mesbah-Amroun, Touil-Boukoffa: "All-trans retinoic acid (ATRA) prevents lipopolysaccharide-induced neuroinflammation, amyloidogenesis and memory impairment in aged rats." in: Journal of neuroimmunology, Vol. 300, pp. 21-29, (2017) (PubMed).

    Vinothkumar, Kedharnath, Krishnakumar, Sreedhar, Preethikrishnan, Dinesh, Sundaram, Balakrishnan, Shivashekar, Sureshkumar, Venkataraman: "Abnormal amyloid β42expression and increased oxidative stress in plasma of CKD patients with cognitive dysfunction: A small scale case control study comparison with Alzheimer's disease." in: BBA clinical, Vol. 8, pp. 20-27, (2017) (PubMed).

    Tian, Guo, Wu, Ma, Zhao: "Minocycline Alleviates Sevoflurane-Induced Cognitive Impairment in Aged Rats." in: Cellular and molecular neurobiology, (2015) (PubMed).

    Wang, Wang: "Studying the relationship between cell cycle and Alzheimer's disease by gold nanoparticle probes." in: Analytical biochemistry, Vol. 489, pp. 32-7, (2015) (PubMed).

    Li, Dai, Sun, Xiang, Yang, Dai, Zhang: "Neuroglobin Attenuates Beta Amyloid-Induced Apoptosis Through Inhibiting Caspases Activity by Activating PI3K/Akt Signaling Pathway." in: Journal of molecular neuroscience : MN, (2015) (PubMed).

    Kang, Li, Xing, Li, Su, Fan, Wang, Cui: "Dihydrotestosterone treatment delays the conversion from mild cognitive impairment to Alzheimer's disease in SAMP8 mice." in: Hormones and behavior, Vol. 65, Issue 5, pp. 505-15, (2014) (PubMed).

    Zhou, Luo, Dai: "Axonal and Dendritic Changes are Associated with Diabetic Encephalopathy in Rats: An Important Risk Factor for Alzheimer's Disease." in: Journal of Alzheimer's disease : JAD, (2013) (PubMed).

    Zhang, Gao, Luo, Chen, Gao, Gao, Zhou, Dai: "Transient focal cerebral ischemia/reperfusion induces early and chronic axonal changes in rats: its importance for the risk of Alzheimer's disease." in: PLoS ONE, Vol. 7, Issue 3, pp. e33722, (2012) (PubMed).

    Xiao, He, Wang, Luo, Sun, Zhou, Guan, Lucassen, Dai: "The origin and development of plaques and phosphorylated tau are associated with axonopathy in Alzheimer's disease." in: Neuroscience bulletin, Vol. 27, Issue 5, pp. 287-99, (2011) (PubMed).

  • Target

    Abeta 1-42 (Amyloid beta 1-42 (Abeta 1-42))

    Andere Bezeichnung

    beta Amyloid 1-42

    Hintergrund

    Synonyms: AAA, AD1, PN2, ABPP, APPI, CVAP, ABETA, PN-II, CTFgamma, Amyloid beta A4 protein, APP, Alzheimer disease amyloid protein, Cerebral vascular amyloid peptide, PreA4, Protease nexin-II, A4

    Background: The cerebral and vascular plaques associated with Alzheimer's disease are mainly composed of Amyloid beta peptides. beta Amyloid is derived from cleavage of the Amyloid precursor protein and varies in length from 39 to 43 amino acids. beta Amyloid [1-40], beta Amyloid [1-42], and beta Amyloid [1-43] peptides result from cleavage of Amyloid precursor protein after residues 40, 42, and 43, respectively. The cleavage takes place by gamma-secretase during the last Amyloid precursor protein processing step. beta Amyloid [1-40], beta Amyloid [1-42], and beta Amyloid [1-43] peptides are major constituents of the plaques and tangles that occur in Alzheimer's disease. beta Amyloid and peptides have been developed as tools for elucidating the biology of Alzheimer's disease.

    Gen-ID

    351

    UniProt

    P05067
Sie sind hier:
Chat with us!