EHMT1 Antikörper
Kurzübersicht für EHMT1 Antikörper (ABIN722691)
Target
Alle EHMT1 Antikörper anzeigenReaktivität
Wirt
Klonalität
Konjugat
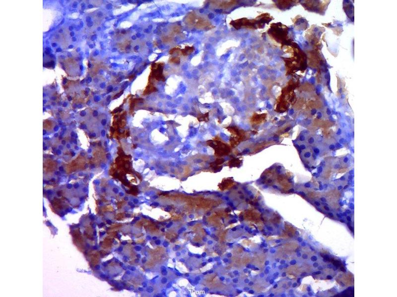
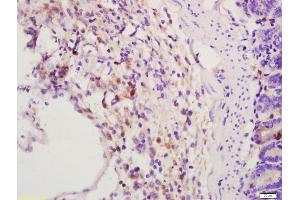
Applikation
Klon
-
-
Kreuzreaktivität
- Human, Maus, Ratte
-
Aufreinigung
- Purified by Protein G.
-
Immunogen
- KLH conjugated synthetic peptide derived from human GLP-1
-
Isotyp
- IgG
-
-
-
-
Applikationshinweise
-
WB 1:300-5000
IHC-P 1:200-400
IF(IHC-P) 1:50-200 -
Beschränkungen
- Nur für Forschungszwecke einsetzbar
-
-
-
Format
- Liquid
-
Konzentration
- 1 μg/μL
-
Buffer
- 0.01M TBS( pH 7.4) with 1 % BSA, 0.02 % Proclin300 and 50 % Glycerol.
-
Konservierungsmittel
- ProClin
-
Vorsichtsmaßnahmen
- This product contains ProClin: a POISONOUS AND HAZARDOUS SUBSTANCE, which should be handled by trained staff only.
-
Lagerung
- 4 °C,-20 °C
-
Informationen zur Lagerung
- Shipped at 4°C. Store at -20°C for one year. Avoid repeated freeze/thaw cycles.
-
Haltbarkeit
- 12 months
-
-
- EHMT1 (Euchromatic Histone-Lysine N-Methyltransferase 1 (EHMT1))
-
Andere Bezeichnung
- GLP
-
Hintergrund
-
Synonyms: GCG, GLP 1, glucagon, Glucagon like peptide 1, GRPP, GLP-17-36, GLP-17-37, Oxyntomodulin, OXM, OXY, GLUC_HUMAN.
Background: Glucagon plays a key role in glucose metabolism and homeostasis. Regulates blood glucose by increasing gluconeogenesis and decreasing glycolysis. A counterregulatory hormone of insulin, raises plasma glucose levels in response to insulin-induced hypoglycemia. GLP-1 is a potent stimulator of glucose-dependent insulin release. Play important roles on gastric motility and the suppression of plasma glucagon levels. May be involved in thesuppression of satiety and stimulation of glucose disposal in peripheral tissues, independent of the actions of insulin. Have growth-promoting activities on intestinal epithelium. May also regulate the hypothalamic pituitary axis (HPA) via effects on LH, TSH, CRH, oxytocin, and vasopressin. Belongs to the glucagon family.
Target
-