Telefon:
+49 (0)241 95 163 153
Fax:
+49 (0)241 95 163 155
E-Mail:
orders@antikoerper-online.de

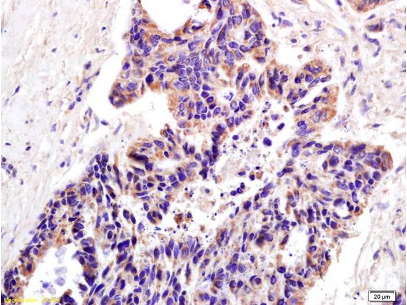
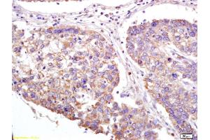
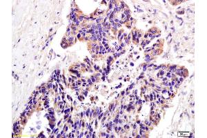
XAGE2 Antikörper (AA 30-70)

Dieser Kaninchen Polyklonal Antikörper detektiert spezifisch XAGE2 in ELISA, WB, IF (cc), IF (p), IHC (fro) und IHC (p). Es zeigt Reaktivität gegenüber Proben von Human.
Produktnummer ABIN721750
357,70 €
Zzgl. Versandkosten 20,00 € und MwSt
100 μL
Lieferung nach: Deutschland
Lieferung in 8 bis 12 Werktagen

Kurzübersicht für XAGE2 Antikörper (AA 30-70) (ABIN721750)

Target

Alle XAGE2 Antikörper anzeigen
XAGE2 (X Antigen Family, Member 2 (XAGE2))

Reaktivität

Human

Wirt

  • 19
  • 3
Kaninchen

Klonalität

  • 21
  • 1
Polyklonal

Konjugat

  • 4
  • 3
  • 2
  • 2
  • 1
  • 1
  • 1
  • 1
  • 1
  • 1
  • 1
  • 1
  • 1
  • 1
  • 1
Dieser XAGE2 Antikörper ist unkonjugiert

Applikation

  • 17
  • 12
  • 12
  • 7
  • 2
  • 2
  • 2
ELISA, Western Blotting (WB), Immunofluorescence (Cultured Cells) (IF (cc)), Immunofluorescence (Paraffin-embedded Sections) (IF (p)), Immunohistochemistry (Frozen Sections) (IHC (fro)), Immunohistochemistry (Paraffin-embedded Sections) (IHC (p))
  • Bindungsspezifität

    • 14
    • 7
    • 1
    AA 30-70

    Kreuzreaktivität

    Human

    Aufreinigung

    Purified by Protein A.

    Immunogen

    KLH conjugated synthetic peptide derived from human XAGE2

    Isotyp

    IgG
  • Applikationshinweise

    WB 1:300-5000
    ELISA 1:500-1000
    IHC-P 1:200-400
    IHC-F 1:100-500
    IF(IHC-P) 1:50-200
    IF(IHC-F) 1:50-200
    IF(ICC) 1:50-200

    Beschränkungen

    Nur für Forschungszwecke einsetzbar
  • Format

    Liquid

    Konzentration

    1 μg/μL

    Buffer

    0.01M TBS( pH 7.4) with 1 % BSA, 0.02 % Proclin300 and 50 % Glycerol.

    Konservierungsmittel

    ProClin

    Vorsichtsmaßnahmen

    This product contains ProClin: a POISONOUS AND HAZARDOUS SUBSTANCE, which should be handled by trained staff only.

    Lagerung

    4 °C,-20 °C

    Informationen zur Lagerung

    Shipped at 4°C. Store at -20°C for one year. Avoid repeated freeze/thaw cycles.

    Haltbarkeit

    12 months
  • Target

    XAGE2 (X Antigen Family, Member 2 (XAGE2))

    Andere Bezeichnung

    XAGE2

    Hintergrund

    Synonyms: CT12.2, GAGED3, XAGE-2, X antigen family member 2, Cancer/testis antigen 12.2, G antigen family D member 3, XAGE2

    Background: XAGE2 belongs to the GAGE family of genes which are expressed in a variety of tumors and in some fetal and reproductive tissues. XAGE2 is strongly expressed in normal testis, and in Ewing's sarcoma, rhabdomyosarcoma, a breast cancer and a germ cell tumor. Its function is unknown.

    Gen-ID

    9502

    UniProt

    Q96GT9
Sie sind hier:
Chat with us!