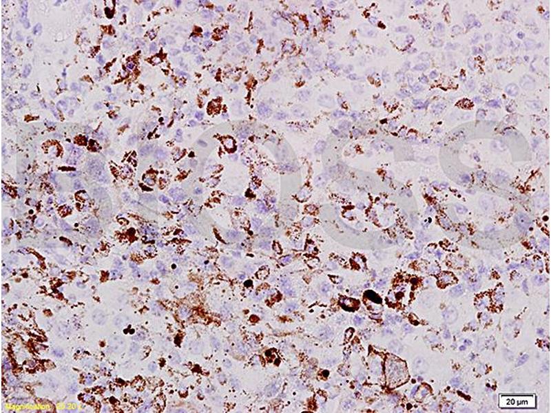
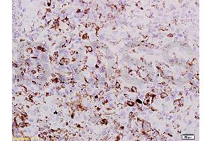
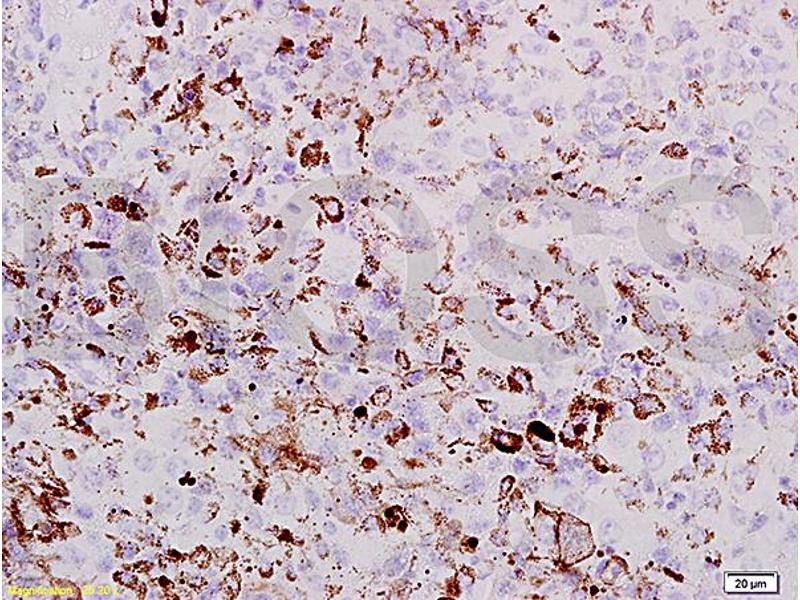
PRAME Antikörper (AA 151-250)
Kurzübersicht für PRAME Antikörper (AA 151-250) (ABIN721555)
Target
Alle PRAME Antikörper anzeigenReaktivität
Wirt
Klonalität
Konjugat
Applikation
-
-
Bindungsspezifität
- AA 151-250
-
Kreuzreaktivität
- Human, Maus
-
Aufreinigung
- Purified by Protein A.
-
Immunogen
- KLH conjugated synthetic peptide derived from human PRAME
-
Isotyp
- IgG
-
-
-
-
Applikationshinweise
-
ELISA 1:500-1000
FCM 1:20-100
IHC-P 1:200-400
IHC-F 1:100-500
IF(IHC-P) 1:50-200
IF(IHC-F) 1:50-200
IF(ICC) 1:50-200
ICC 1:100-500 -
Beschränkungen
- Nur für Forschungszwecke einsetzbar
-
-
-
Format
- Liquid
-
Konzentration
- 1 μg/μL
-
Buffer
- 0.01M TBS( pH 7.4) with 1 % BSA, 0.02 % Proclin300 and 50 % Glycerol.
-
Konservierungsmittel
- ProClin
-
Vorsichtsmaßnahmen
- This product contains ProClin: a POISONOUS AND HAZARDOUS SUBSTANCE, which should be handled by trained staff only.
-
Lagerung
- 4 °C,-20 °C
-
Informationen zur Lagerung
- Shipped at 4°C. Store at -20°C for one year. Avoid repeated freeze/thaw cycles.
-
Haltbarkeit
- 12 months
-
-
- PRAME (Preferentially Expressed Antigen in Melanoma (PRAME))
-
Andere Bezeichnung
- PRAME
-
Hintergrund
-
Synonyms: MAPE, OIP4, CT130, OIP-4, Melanoma antigen preferentially expressed in tumors, Opa-interacting protein 4, Preferentially expressed antigen of melanoma, PRAME
Background: Functions as a transcriptional repressor, inhibiting the signaling of retinoic acid through the retinoic acid receptors RARA, RARB and RARG. Prevents retinoic acid-induced cell proliferation arrest, differentiation and apoptosis.
-
Gen-ID
- 23532
-
UniProt
- P78395
-
Pathways
- Retinoic Acid Receptor Signaling Pathway, Nuclear Hormone Receptor Binding
Target
-