PNLIPRP1 Antikörper (AA 375-467)
Kurzübersicht für PNLIPRP1 Antikörper (AA 375-467) (ABIN718826)
Target
Alle PNLIPRP1 Antikörper anzeigenReaktivität
Wirt
Klonalität
Konjugat
Applikation
-
-
Bindungsspezifität
- AA 375-467
-
Kreuzreaktivität
- Ratte
-
Homologie
- Human,Mouse,Dog,Cow,Sheep,Pig,Horse,Rabbit
-
Aufreinigung
- Purified by Protein A.
-
Immunogen
- KLH conjugated synthetic peptide derived from human PLRP1/PNLIPRP1
-
Isotyp
- IgG
-
-
-
-
Applikationshinweise
-
WB 1:300-5000
ELISA 1:500-1000
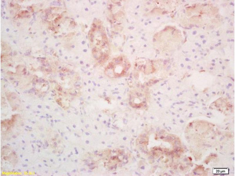
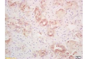
IHC-P 1:200-400
IHC-F 1:100-500
IF(IHC-P) 1:50-200
IF(IHC-F) 1:50-200
IF(ICC) 1:50-200 -
Beschränkungen
- Nur für Forschungszwecke einsetzbar
-
-
-
Format
- Liquid
-
Konzentration
- 1 μg/μL
-
Buffer
- 0.01M TBS( pH 7.4) with 1 % BSA, 0.02 % Proclin300 and 50 % Glycerol.
-
Konservierungsmittel
- ProClin
-
Vorsichtsmaßnahmen
- This product contains ProClin: a POISONOUS AND HAZARDOUS SUBSTANCE, which should be handled by trained staff only.
-
Lagerung
- 4 °C,-20 °C
-
Informationen zur Lagerung
- Shipped at 4°C. Store at -20°C for one year. Avoid repeated freeze/thaw cycles.
-
Haltbarkeit
- 12 months
-
-
- PNLIPRP1 (Pancreatic Lipase-Related Protein 1 (PNLIPRP1))
-
Andere Bezeichnung
- PLRP1
-
Hintergrund
-
Synonyms: PLRP1, Inactive pancreatic lipase-related protein 1, PL-RP1, PNLIPRP1
Background: May function as inhibitor of dietary triglyceride digestion. Lacks detectable lipase activity towards triglycerides, diglycerides, phosphatidylcholine, galactolipids or cholesterol esters (in vitro) (By similarity).
-
Gen-ID
- 5407
-
UniProt
- P54315
Target
-