Telefon:
+49 (0)241 95 163 153
Fax:
+49 (0)241 95 163 155
E-Mail:
orders@antikoerper-online.de

TEX101 Antikörper

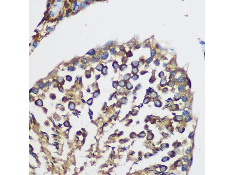
Der Kaninchen Polyklonal anti-TEX101 Antikörper (ABIN7270773) detektiert spezifisch TEX101 in WB und IHC. Dieser Antikörper reagiert spezifisch mit Proben aus Human.
Produktnummer ABIN7270773
320,00 €
Zzgl. Versandkosten 20,00 € und MwSt
Lieferung nach: Deutschland
Lieferung in 7 bis 9 Werktagen

Kurzübersicht für TEX101 Antikörper (ABIN7270773)

Target

TEX101 (Testis Expressed 101 (TEX101))

Reaktivität

  • 6
  • 1
Human

Wirt

  • 5
  • 2
Kaninchen

Klonalität

  • 7
Polyklonal

Konjugat

  • 7
Dieser TEX101 Antikörper ist unkonjugiert

Applikation

  • 6
  • 1
  • 1
Western Blotting (WB), Immunohistochemistry (IHC)
  • Verwendungszweck

    TEX101 Rabbit pAb

    Kreuzreaktivität

    Human, Maus, Ratte

    Produktmerkmale

    Polyclonal Antibodies

    Aufreinigung

    Affinity purification

    Immunogen

    Recombinant protein of human TEX101.

    Isotyp

    IgG
  • Applikationshinweise

    WB,1:500 - 1:2000,IHC,1:50 - 1:200

    Beschränkungen

    Nur für Forschungszwecke einsetzbar
  • Format

    Liquid

    Buffer

    PBS with 0.02 % sodium azide,50 % glycerol, pH 7.3.

    Konservierungsmittel

    Sodium azide

    Vorsichtsmaßnahmen

    This product contains Sodium azide: a POISONOUS AND HAZARDOUS SUBSTANCE which should be handled by trained staff only.

    Lagerung

    -20 °C

    Informationen zur Lagerung

    Store at -20°C. Avoid freeze / thaw cycles.
  • Target

    TEX101 (Testis Expressed 101 (TEX101))

    Andere Bezeichnung

    TEX101

    Hintergrund

    Plays a role in fertilization by controlling binding of sperm to zona pellucida and migration of spermatozoa into the oviduct (By similarity. May play a role in signal transduction and promote protein tyrosine phosphorylation (By similarity.,CT131,GTPR867,NYD-SP8,PRO1884,SGRG,SPATA44,TES101RP,TEX101,Immunology & Inflammation,TEX101

    Gen-ID

    83639

    UniProt

    Q9BY14
Sie sind hier:
Chat with us!