Telefon:
+49 (0)241 95 163 153
Fax:
+49 (0)241 95 163 155
E-Mail:
orders@antikoerper-online.de

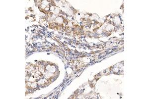
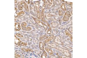
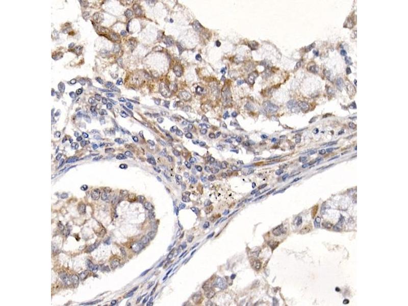
SCP2 Antikörper

Dieser Kaninchen Monoklonal Antikörper detektiert spezifisch SCP2 in WB, IHC und IF. Es zeigt Reaktivität gegenüber Proben von Human.
Produktnummer ABIN7270597
330,00 €
Zzgl. Versandkosten 20,00 € und MwSt
Lieferung nach: Deutschland
Lieferung in 7 bis 9 Werktagen

Kurzübersicht für SCP2 Antikörper (ABIN7270597)

Target

Alle SCP2 Antikörper anzeigen
SCP2 (Sterol Carrier Protein 2 (SCP2))

Reaktivität

  • 88
  • 26
  • 20
  • 2
  • 2
  • 1
  • 1
  • 1
  • 1
  • 1
Human

Wirt

  • 82
  • 7
  • 1
Kaninchen

Klonalität

  • 73
  • 17
Monoklonal

Konjugat

  • 37
  • 7
  • 6
  • 5
  • 3
  • 3
  • 3
  • 3
  • 3
  • 3
  • 2
  • 2
  • 1
  • 1
  • 1
  • 1
  • 1
  • 1
  • 1
  • 1
  • 1
  • 1
  • 1
  • 1
  • 1
Dieser SCP2 Antikörper ist unkonjugiert

Applikation

  • 57
  • 40
  • 35
  • 15
  • 13
  • 13
  • 12
  • 11
  • 6
  • 4
  • 3
  • 1
Western Blotting (WB), Immunohistochemistry (IHC), Immunofluorescence (IF)
  • Verwendungszweck

    Sterol carrier protein 2 Rabbit mAb

    Kreuzreaktivität

    Human, Maus, Ratte

    Produktmerkmale

    Monoclonal Antibodies

    Aufreinigung

    Affinity purification

    Immunogen

    A synthesized peptide derived from human Sterol carrier protein 2.

    Isotyp

    IgG
  • Applikationshinweise

    WB,1:500 - 1:2000,IHC,1:50 - 1:200,IF,1:50 - 1:200

    Beschränkungen

    Nur für Forschungszwecke einsetzbar
  • Format

    Liquid

    Buffer

    PBS with 0.02 % sodium azide,50 % glycerol, pH 7.3.

    Konservierungsmittel

    Sodium azide

    Vorsichtsmaßnahmen

    This product contains Sodium azide: a POISONOUS AND HAZARDOUS SUBSTANCE which should be handled by trained staff only.

    Lagerung

    -20 °C

    Informationen zur Lagerung

    Store at -20°C. Avoid freeze / thaw cycles.
  • Target

    SCP2 (Sterol Carrier Protein 2 (SCP2))

    Andere Bezeichnung

    Sterol carrier protein 2

    Hintergrund

    This gene encodes two proteins: sterol carrier protein X (SCPx) and sterol carrier protein 2 (SCP2), as a result of transcription initiation from 2 independently regulated promoters. The transcript initiated from the proximal promoter encodes the longer SCPx protein, and the transcript initiated from the distal promoter encodes the shorter SCP2 protein, with the 2 proteins sharing a common C-terminus. Evidence suggests that the SCPx protein is a peroxisome-associated thiolase that is involved in the oxidation of branched chain fatty acids, while the SCP2 protein is thought to be an intracellular lipid transfer protein. This gene is highly expressed in organs involved in lipid metabolism, and may play a role in Zellweger syndrome, in which cells are deficient in peroxisomes and have impaired bile acid synthesis. Alternative splicing of this gene produces multiple transcript variants, some encoding different isoforms.,SCP2, NLTP, NSL-TP, SCP-2, SCP-CHI, SCP-X, SCPX, sterol carrier protein 2,Cancer,Signal Transduction,Endocrine & Metabolism,Lipid Metabolism,Sterol carrier protein 2

    Molekulargewicht

    58kDa

    Gen-ID

    6342

    UniProt

    P22307

    Pathways

    C21-Steroid Hormone Metabolic Process, Monocarboxylic Acid Catabolic Process
Sie sind hier:
Chat with us!