Telefon:
+49 (0)241 95 163 153
Fax:
+49 (0)241 95 163 155
E-Mail:
orders@antikoerper-online.de

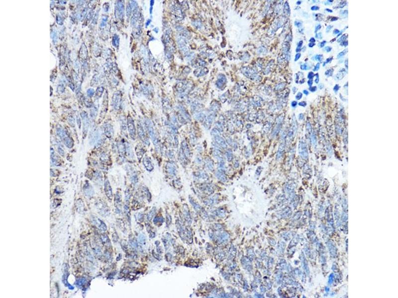
SMOC1 Antikörper (AA 27-250)

Der Kaninchen Polyklonal anti-SMOC1 Antikörper wird verwendet zum Nachweis von SMOC1 in Proben von Human. Er wurde validiert für WB und IHC.
Produktnummer ABIN7270511
320,00 €
Zzgl. Versandkosten 20,00 € und MwSt
Lieferung nach: Deutschland
Lieferung in 7 bis 9 Werktagen

Kurzübersicht für SMOC1 Antikörper (AA 27-250) (ABIN7270511)

Target

Alle SMOC1 Antikörper anzeigen
SMOC1 (SPARC Related Modular Calcium Binding 1 (SMOC1))

Reaktivität

  • 34
  • 20
Human

Wirt

  • 26
  • 6
  • 3
  • 1
Kaninchen

Klonalität

  • 31
  • 5
Polyklonal

Konjugat

  • 16
  • 4
  • 4
  • 2
  • 2
  • 2
  • 1
  • 1
  • 1
  • 1
  • 1
  • 1
Dieser SMOC1 Antikörper ist unkonjugiert

Applikation

  • 22
  • 20
  • 6
  • 4
  • 4
  • 2
  • 1
  • 1
  • 1
  • 1
  • 1
Western Blotting (WB), Immunohistochemistry (IHC)
Sie sind hier:
Chat with us!