×
Aktivieren Sie Javascript in Ihrem Browser, um unsere Webseite optimal zu nutzen.
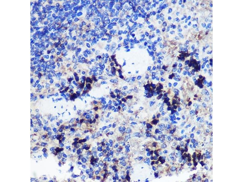
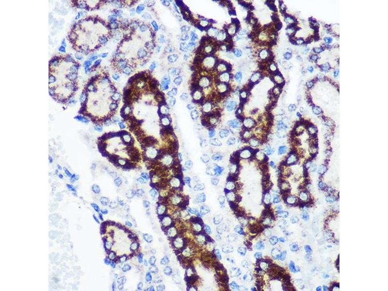
FCHSD1 Antikörper (AA 100-400)
Der Kaninchen Polyklonal anti-FCHSD1 Antikörper (ABIN7270317) detektiert spezifisch FCHSD1 in WB und IHC.
Dieser Antikörper reagiert spezifisch mit Proben aus Human.
Produktnummer ABIN7270317
320,00 €
Zzgl. Versandkosten 20,00 € und MwSt
20 μL ABIN7530562
100 μL ABIN7270317
500 μL ABIN7748737
1000 μL ABIN7748740
20 μL ABIN7530562
100 μL ABIN7270317
500 μL ABIN7748737
1000 μL ABIN7748740
Lieferung in 7 bis 9 Werktagen
Kurzübersicht für FCHSD1 Antikörper (AA 100-400) (ABIN7270317)
Target
FCHSD1
(Similar To FCH and Double SH3 Domains 1 (FCHSD1))
Reaktivität
Alle Reaktivitäten für FCHSD1 Antikörper
Human
Wirt
Alle Wirte für FCHSD1 Antikörper
Kaninchen
Klonalität
Alle Klonalitäten für FCHSD1 Antikörper
Polyklonal
Konjugat
Alle Konjugate für FCHSD1 Antikörper
Dieser FCHSD1 Antikörper ist unkonjugiert
Applikation
Alle Applikationen für FCHSD1 Antikörper
Western Blotting (WB), Immunohistochemistry (IHC)
Produktdetails anti-FCHSD1 Antikörper
(ausblenden)
Bindungsspezifität
Alle Epitope für FCHSD1 Antikörper
AA 100-400
Verwendungszweck
FCHSD1 Rabbit pAb
Sequenz
RLQASDRYRD LAGGTGRSAK EQVLRKGTEN LQRAQAEVLQ SVRELSRSRK LYGQRERVWA LAQEKAADVQ ARLNRSDHGI FHSRTSLQKL STKLSAQSAQ YSQQLQAARN EYLLNLVATN AHLDHYYQEE LPALLKALVS ELSEHLRDPL TSLSHTELEA AEVILEHAHR GEQTTSQVSW EQDLKLFLQE PGVFSPTPPQ QFQPAGTDQV CVLEWGAEGV AGKSGLEKEV QRLTSRAARD YKIQNHGHRV LQRLEQRRQQ ASEREAPSIE QRLQEVRESI RRAQVSQVKG AARLALLQGA G
Kreuzreaktivität
Human, Maus, Ratte
Produktmerkmale
Polyclonal Antibodies
Aufreinigung
Affinity purification
Immunogen
Recombinant fusion protein containing a sequence corresponding to amino acids 100-400 of human FCHSD1 (NP_258260.1).
Isotyp
IgG
Alternativen
(anzeigen)
Anwendungsinformationen
(ausblenden)
Applikationshinweise
WB,1:200 - 1:2000,IHC,1:50 - 1:200
Beschränkungen
Nur für Forschungszwecke einsetzbar
Handhabung
(ausblenden)
Format
Liquid
Buffer
PBS with 0.02 % sodium azide,50 % glycerol, pH 7.3.
Konservierungsmittel
Sodium azide
Vorsichtsmaßnahmen
This product contains Sodium azide: a POISONOUS AND HAZARDOUS SUBSTANCE which should be handled by trained staff only.
Lagerung
-20 °C
Informationen zur Lagerung
Store at -20°C. Avoid freeze / thaw cycles.
Details zu FCHSD1
(ausblenden)
Target
FCHSD1
(Similar To FCH and Double SH3 Domains 1 (FCHSD1))
Andere Bezeichnung
FCHSD1
Hintergrund
Promotes actin polymerization mediated by SNX9 and WASL.,FCHSD1,NWK2,Cell Biology & Developmental Biology,FCHSD1
Molekulargewicht
40kDa/46kDa/76kDa
Gen-ID
89848
UniProt
Q86WN1
Zuletzt angesehen
(ausblenden)
Sie sind hier:
Startseite
anti-FCHSD1 Antikörper (AA 100-400) (ABIN7270317)
Chat with us , powered by LiveChat