Telefon:
+49 (0)241 95 163 153
Fax:
+49 (0)241 95 163 155
E-Mail:
orders@antikoerper-online.de

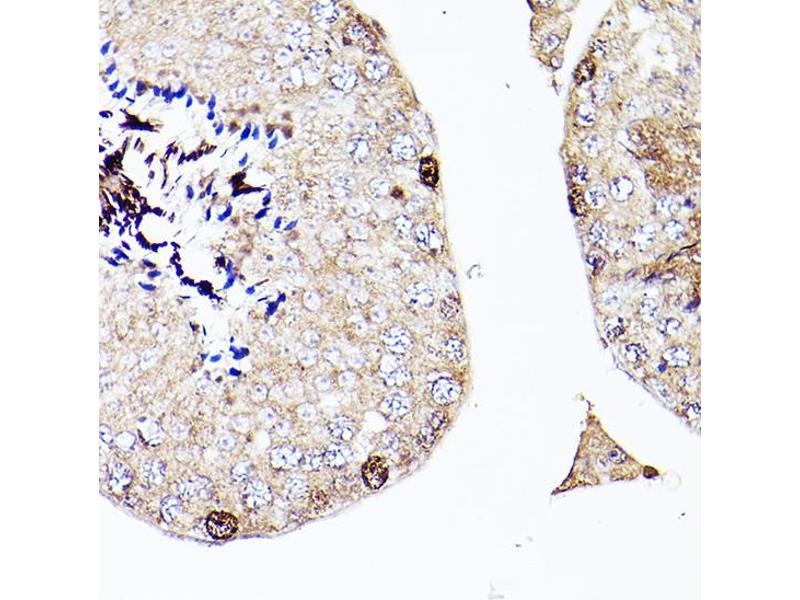
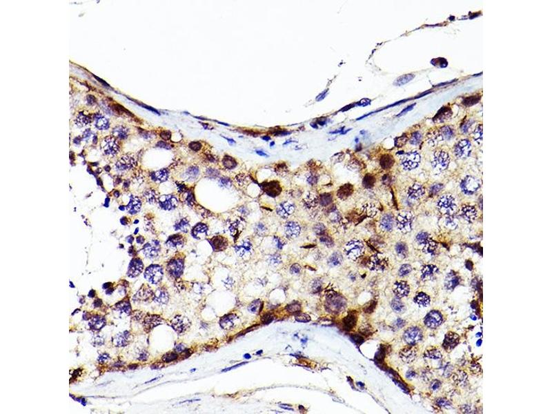
SALL4 Antikörper (AA 853-1053)

Dieser Kaninchen Polyklonal Antikörper detektiert spezifisch SALL4 in WB, IHC und IF. Es zeigt Reaktivität gegenüber Proben von Human.
Produktnummer ABIN7270138
320,00 €
Zzgl. Versandkosten 20,00 € und MwSt
Lieferung nach: Deutschland
Lieferung in 7 bis 9 Werktagen

Kurzübersicht für SALL4 Antikörper (AA 853-1053) (ABIN7270138)

Target

Alle SALL4 Antikörper anzeigen
SALL4 (Sal-Like 4 (SALL4))

Reaktivität

  • 62
  • 24
  • 18
  • 18
  • 16
  • 13
  • 12
  • 4
  • 1
  • 1
  • 1
Human

Wirt

  • 49
  • 15
  • 1
Kaninchen

Klonalität

  • 46
  • 19
Polyklonal

Konjugat

  • 43
  • 5
  • 2
  • 2
  • 2
  • 2
  • 1
  • 1
  • 1
  • 1
  • 1
  • 1
  • 1
  • 1
  • 1
Dieser SALL4 Antikörper ist unkonjugiert

Applikation

  • 56
  • 31
  • 15
  • 8
  • 8
  • 7
  • 5
  • 4
  • 1
  • 1
Western Blotting (WB), Immunohistochemistry (IHC), Immunofluorescence (IF)
  • Bindungsspezifität

    • 7
    • 7
    • 6
    • 5
    • 3
    • 2
    • 2
    • 2
    • 2
    • 1
    • 1
    • 1
    • 1
    • 1
    • 1
    • 1
    • 1
    AA 853-1053

    Verwendungszweck

    SALL4 Rabbit pAb

    Sequenz

    PGMTPLLAAQ PRRQAKQHGC TRCGKNFSSA SALQIHERTH TGEKPFVCNI CGRAFTTKGN LKVHYMTHGA NNNSARRGRK LAIENTMALL GTDGKRVSEI FPKEILAPSV NVDPVVWNQY TSMLNGGLAV KTNEISVIQS GGVPTLPVSL GATSVVNNAT VSKMDGSQSG ISADVEKPSA TDGVPKHQFP HFLEENKIAV S

    Kreuzreaktivität

    Human, Maus, Ratte

    Produktmerkmale

    Polyclonal Antibodies

    Aufreinigung

    Affinity purification

    Immunogen

    Recombinant fusion protein containing a sequence corresponding to amino acids 853-1053 of human SALL4 (NP_065169.1).

    Isotyp

    IgG
  • Applikationshinweise

    WB,1:500 - 1:2000,IHC,1:50 - 1:200,IF,1:50 - 1:200

    Beschränkungen

    Nur für Forschungszwecke einsetzbar
  • Format

    Liquid

    Buffer

    PBS with 0.02 % sodium azide,50 % glycerol, pH 7.3.

    Konservierungsmittel

    Sodium azide

    Vorsichtsmaßnahmen

    This product contains Sodium azide: a POISONOUS AND HAZARDOUS SUBSTANCE which should be handled by trained staff only.

    Lagerung

    -20 °C

    Informationen zur Lagerung

    Store at -20°C. Avoid freeze / thaw cycles.
  • Target

    SALL4 (Sal-Like 4 (SALL4))

    Andere Bezeichnung

    SALL4

    Hintergrund

    This gene encodes a zinc finger transcription factor thought to play a role in the development of abducens motor neurons. Defects in this gene are a cause of Duane-radial ray syndrome (DRRS). Alternative splicing results in multiple transcript variants encoding different isoforms.,SALL4,DRRS,HSAL4,ZNF797,Epigenetics & Nuclear Signaling,Cell Biology & Developmental Biology,Stem Cells,Embryonic Stem Cells,SALL4

    Molekulargewicht

    65kDa/112kDa

    Gen-ID

    57167

    UniProt

    Q9UJQ4

    Pathways

    Stem Cell Maintenance, Tube Formation
Sie sind hier:
Chat with us!