Telefon:
+49 (0)241 95 163 153
Fax:
+49 (0)241 95 163 155
E-Mail:
orders@antikoerper-online.de

S100A8 Antikörper

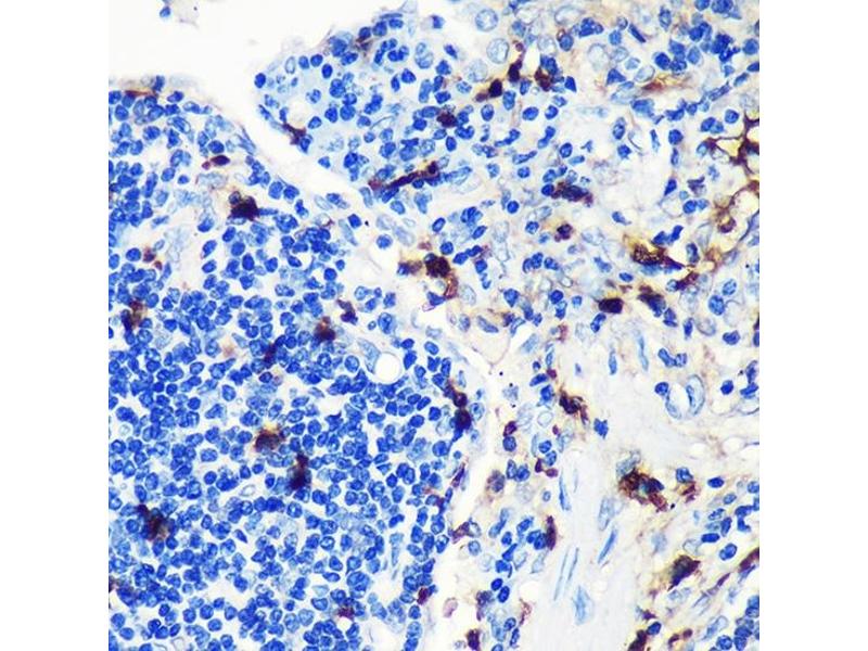
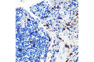
Der Kaninchen Monoklonal anti-S100A8 Antikörper (ABIN7270128) detektiert spezifisch S100A8 in WB und IHC. Dieser Antikörper reagiert spezifisch mit Proben aus Human.
Produktnummer ABIN7270128
330,00 €
Zzgl. Versandkosten 20,00 € und MwSt
Lieferung nach: Deutschland
Lieferung in 7 bis 9 Werktagen

Kurzübersicht für S100A8 Antikörper (ABIN7270128)

Target

Alle S100A8 Antikörper anzeigen
S100A8 (S100 Calcium Binding Protein A8 (S100A8))

Reaktivität

  • 110
  • 66
  • 38
  • 11
  • 8
  • 8
  • 6
  • 4
  • 4
  • 4
  • 2
  • 2
  • 2
Human

Wirt

  • 124
  • 34
  • 3
  • 3
  • 3
Kaninchen

Klonalität

  • 121
  • 46
Monoklonal

Konjugat

  • 71
  • 26
  • 23
  • 9
  • 2
  • 2
  • 2
  • 2
  • 2
  • 2
  • 2
  • 2
  • 2
  • 2
  • 2
  • 2
  • 2
  • 2
  • 2
  • 2
  • 2
  • 1
  • 1
  • 1
  • 1
Dieser S100A8 Antikörper ist unkonjugiert

Applikation

  • 108
  • 66
  • 52
  • 31
  • 30
  • 26
  • 16
  • 13
  • 13
  • 11
  • 6
  • 6
  • 5
  • 5
  • 1
  • 1
  • 1
Western Blotting (WB), Immunohistochemistry (IHC)
  • Verwendungszweck

    S100A8 Rabbit mAb

    Kreuzreaktivität

    Human, Maus, Ratte

    Produktmerkmale

    Monoclonal Antibodies

    Aufreinigung

    Affinity purification

    Immunogen

    A synthesized peptide derived from human S100A8

    Isotyp

    IgG
  • Applikationshinweise

    WB,1:500 - 1:2000,IHC,1:50 - 1:200

    Beschränkungen

    Nur für Forschungszwecke einsetzbar
  • Format

    Liquid

    Buffer

    PBS with 0.02 % sodium azide,0.05 % BSA,50 % glycerol, pH 7.3.

    Konservierungsmittel

    Sodium azide

    Vorsichtsmaßnahmen

    This product contains Sodium azide: a POISONOUS AND HAZARDOUS SUBSTANCE which should be handled by trained staff only.

    Lagerung

    -20 °C

    Informationen zur Lagerung

    Store at -20°C. Avoid freeze / thaw cycles.
  • Target

    S100A8 (S100 Calcium Binding Protein A8 (S100A8))

    Andere Bezeichnung

    S100A8

    Hintergrund

    The protein encoded by this gene is a member of the S100 family of proteins containing 2 EF-hand calcium-binding motifs. S100 proteins are localized in the cytoplasm and/or nucleus of a wide range of cells, and involved in the regulation of a number of cellular processes such as cell cycle progression and differentiation. S100 genes include at least 13 members which are located as a cluster on chromosome 1q21. This protein may function in the inhibition of casein kinase and as a cytokine. Altered expression of this protein is associated with the disease cystic fibrosis. Multiple transcript variants encoding different isoforms have been found for this gene. [provided by RefSeq, Jan 2016],60B8AG, CAGA, CFAG, CGLA, CP-10, L1Ag, MA387, MIF, MRP8, NIF, P8,Cell Intrinsic Innate Immunity Signaling Pathway,Cell Type Marker,Cell Type Marker_Microglia marker,Immunology & Inflammation,Neuroscience,Signal Transduction,S100A8

    Molekulargewicht

    11kDa

    Gen-ID

    6279

    UniProt

    P05109

    Pathways

    Transition Metal Ion Homeostasis, Positive Regulation of Endopeptidase Activity, S100 Proteine
Sie sind hier:
Chat with us!