Telefon:
+49 (0)241 95 163 153
Fax:
+49 (0)241 95 163 155
E-Mail:
orders@antikoerper-online.de

RHOQ Antikörper

Der Kaninchen Monoklonal anti-RHOQ Antikörper wird verwendet zum Nachweis von RHOQ in Proben von Human. Er wurde validiert für WB und IHC.
Produktnummer ABIN7269869
330,00 €
Zzgl. Versandkosten 20,00 € und MwSt
Lieferung nach: Deutschland
Lieferung in 7 bis 9 Werktagen

Kurzübersicht für RHOQ Antikörper (ABIN7269869)

Target

Alle RHOQ Antikörper anzeigen
RHOQ (Ras Homolog Gene Family, Member Q (RHOQ))

Reaktivität

  • 31
  • 14
  • 4
Human

Wirt

  • 28
  • 3
Kaninchen

Klonalität

  • 18
  • 13
Monoklonal

Konjugat

  • 17
  • 2
  • 1
  • 1
  • 1
  • 1
  • 1
  • 1
  • 1
  • 1
  • 1
  • 1
  • 1
  • 1
Dieser RHOQ Antikörper ist unkonjugiert

Applikation

  • 28
  • 14
  • 13
  • 11
  • 11
  • 2
  • 1
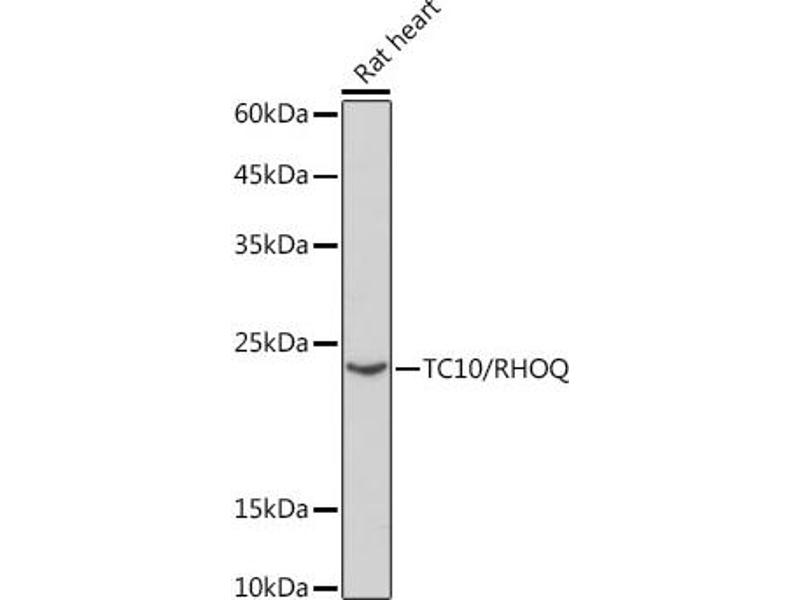
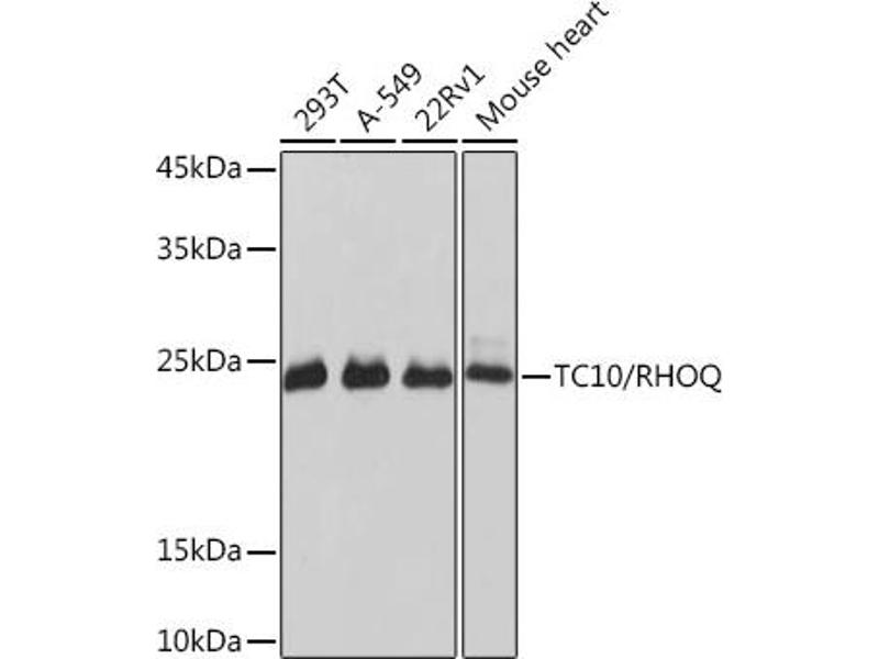
Western Blotting (WB), Immunohistochemistry (IHC)
  • Verwendungszweck

    TC10/RHOQ Rabbit mAb

    Kreuzreaktivität

    Human, Maus, Ratte

    Produktmerkmale

    Monoclonal Antibodies

    Aufreinigung

    Affinity purification

    Immunogen

    A synthesized peptide derived from human TC10/RHOQ

    Isotyp

    IgG
  • Applikationshinweise

    WB,1:500 - 1:2000,IHC,1:50 - 1:200

    Beschränkungen

    Nur für Forschungszwecke einsetzbar
  • Format

    Liquid

    Buffer

    PBS with 0.02 % sodium azide,0.05 % BSA,50 % glycerol, pH 7.3.

    Konservierungsmittel

    Sodium azide

    Vorsichtsmaßnahmen

    This product contains Sodium azide: a POISONOUS AND HAZARDOUS SUBSTANCE which should be handled by trained staff only.

    Lagerung

    -20 °C

    Informationen zur Lagerung

    Store at -20°C. Avoid freeze / thaw cycles.
  • Target

    RHOQ (Ras Homolog Gene Family, Member Q (RHOQ))

    Andere Bezeichnung

    RHOQ

    Hintergrund

    This gene encodes a member of the Rho family of small GTPases, which cycle between inactive GDP-bound and active GTP-bound states and function as molecular switches in signal transduction cascades. Rho proteins promote reorganization of the actin cytoskeleton and regulate cell shape, attachment, and motility. The encoded protein is an important signalling protein for sarcomere assembly and has been shown to play a significant role in the exocytosis of the solute carrier family 2, facilitated glucose transporter member 4 and other proteins, possibly acting as the signal that turns on the membrane fusion machinery. Three related pseudogene have been identified on chromosomes 2 and 14. [provided by RefSeq, Aug 2011],ARHQ, HEL-S-42, RASL7A, TC10, TC10A,Endocrine & Metabolism,G protein signaling,G protein signaling_Small G proteins,Insulin Receptor Signaling Pathway,Signal Transduction,RHOQ

    Molekulargewicht

    25kDa

    Gen-ID

    23433

    UniProt

    P17081
Sie sind hier:
Chat with us!