Telefon:
+49 (0)241 95 163 153
Fax:
+49 (0)241 95 163 155
E-Mail:
orders@antikoerper-online.de

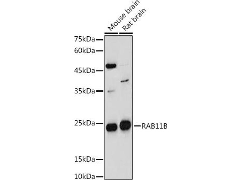
RAB11B Antikörper (AA 130-215)

Der Kaninchen Polyklonal anti-RAB11B Antikörper (ABIN7269795) detektiert spezifisch RAB11B in WB und IF. Dieser Antikörper reagiert spezifisch mit Proben aus Human.
Produktnummer ABIN7269795
320,00 €
Zzgl. Versandkosten 20,00 € und MwSt
Lieferung nach: Deutschland
Lieferung in 7 bis 9 Werktagen

Kurzübersicht für RAB11B Antikörper (AA 130-215) (ABIN7269795)

Target

Alle RAB11B Antikörper anzeigen
RAB11B (RAB11B, Member RAS Oncogene Family (RAB11B))

Reaktivität

  • 25
  • 14
  • 12
  • 3
  • 3
  • 3
  • 3
  • 2
  • 2
  • 2
  • 2
  • 1
  • 1
  • 1
  • 1
  • 1
  • 1
  • 1
  • 1
Human

Wirt

  • 20
  • 4
  • 2
  • 1
Kaninchen

Klonalität

  • 23
  • 4
Polyklonal

Konjugat

  • 23
  • 2
  • 1
  • 1
Dieser RAB11B Antikörper ist unkonjugiert

Applikation

  • 22
  • 13
  • 8
  • 6
  • 4
  • 4
  • 3
  • 2
Western Blotting (WB), Immunofluorescence (IF)
  • Bindungsspezifität

    • 9
    • 6
    • 2
    • 2
    • 1
    • 1
    • 1
    • 1
    AA 130-215

    Verwendungszweck

    RAB11B Rabbit pAb

    Sequenz

    HLRAVPTDEA RAFAEKNNLS FIETSALDST NVEEAFKNIL TEIYRIVSQK QIADRAAHDE SPGNNVVDIS VPPTTDGQKP NKLQCC

    Kreuzreaktivität

    Human, Maus, Ratte

    Produktmerkmale

    Polyclonal Antibodies

    Aufreinigung

    Affinity purification

    Immunogen

    Recombinant fusion protein containing a sequence corresponding to amino acids 130-215 of human RAB11B (NP_004209.2).

    Isotyp

    IgG
  • Applikationshinweise

    WB,1:200 - 1:2000,IF,1:50 - 1:200

    Beschränkungen

    Nur für Forschungszwecke einsetzbar
  • Format

    Liquid

    Buffer

    PBS with 0.02 % sodium azide,50 % glycerol, pH 7.3.

    Konservierungsmittel

    Sodium azide

    Vorsichtsmaßnahmen

    This product contains Sodium azide: a POISONOUS AND HAZARDOUS SUBSTANCE which should be handled by trained staff only.

    Lagerung

    -20 °C

    Informationen zur Lagerung

    Store at -20°C. Avoid freeze / thaw cycles.
  • Target

    RAB11B (RAB11B, Member RAS Oncogene Family (RAB11B))

    Andere Bezeichnung

    RAB11B

    Hintergrund

    The Ras superfamily of small GTP-binding proteins, which includes the Ras (see MIM 190020), Ral (see MIM 179550), Rho (see MIM 165390), Rap (see MIM 179520), and Rab (see MIM 179508) families, is involved in controlling a diverse set of essential cellular functions. The Rab family, including RAB11B, appears to play a critical role in regulating exocytotic and endocytotic pathways (summary by Zhu et al., 1994 [PubMed 7811277]).[supplied by OMIM, Nov 2010],RAB11B,H-YPT3,Cancer,Signal Transduction,G protein signaling,Signal Transduction,RAB11B

    Molekulargewicht

    19kDa/24kDa

    Gen-ID

    9230

    UniProt

    Q15907

    Pathways

    Hormone Transport, Carbohydrate Homeostasis
Sie sind hier:
Chat with us!