Telefon:
+49 (0)241 95 163 153
Fax:
+49 (0)241 95 163 155
E-Mail:
orders@antikoerper-online.de

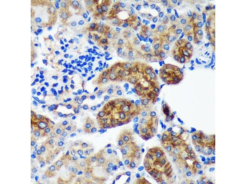
PYCR2 Antikörper (AA 271-320)

Dieser Kaninchen Polyklonal Antikörper detektiert spezifisch PYCR2 in WB, IHC und IF. Es zeigt Reaktivität gegenüber Proben von Human.
Produktnummer ABIN7269766
320,00 €
Zzgl. Versandkosten 20,00 € und MwSt
Lieferung nach: Deutschland
Lieferung in 7 bis 9 Werktagen

Kurzübersicht für PYCR2 Antikörper (AA 271-320) (ABIN7269766)

Target

Alle PYCR2 Antikörper anzeigen
PYCR2 (Pyrroline-5-Carboxylate Reductase Family, Member 2 (PYCR2))

Reaktivität

  • 38
  • 10
  • 10
  • 4
  • 4
  • 4
  • 3
  • 3
  • 3
  • 2
  • 2
  • 2
  • 1
  • 1
Human

Wirt

  • 28
  • 10
Kaninchen

Klonalität

  • 30
  • 8
Polyklonal

Konjugat

  • 29
  • 3
  • 2
  • 2
  • 1
  • 1
Dieser PYCR2 Antikörper ist unkonjugiert

Applikation

  • 30
  • 15
  • 15
  • 11
  • 6
  • 3
  • 2
  • 1
  • 1
Western Blotting (WB), Immunohistochemistry (IHC), Immunofluorescence (IF)
Sie sind hier:
Chat with us!