×
Aktivieren Sie Javascript in Ihrem Browser, um unsere Webseite optimal zu nutzen.
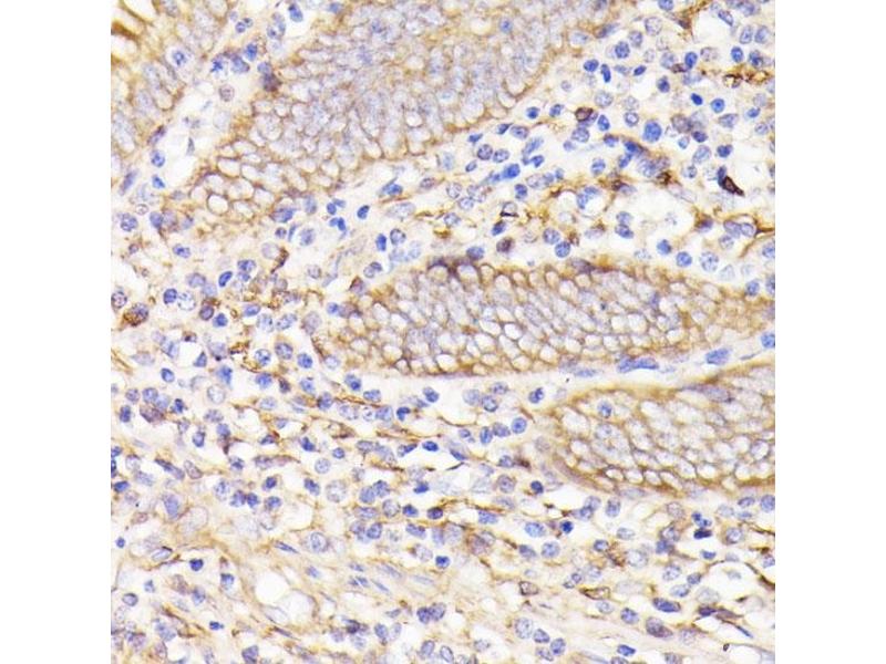
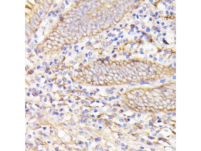
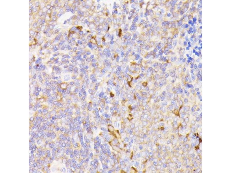
PSMG1 Antikörper (AA 1-288)
Der Kaninchen Polyklonal anti-PSMG1 Antikörper wird verwendet zum Nachweis von PSMG1 in Proben von Human. Er wurde validiert für WB und IHC.
Produktnummer ABIN7269593
320,00 €
Zzgl. Versandkosten 20,00 € und MwSt
20 μL ABIN7530380
100 μL ABIN7269593
500 μL ABIN7747227
1000 μL ABIN7747229
20 μL ABIN7530380
100 μL ABIN7269593
500 μL ABIN7747227
1000 μL ABIN7747229
Lieferung in 7 bis 9 Werktagen
Kurzübersicht für PSMG1 Antikörper (AA 1-288) (ABIN7269593)
Target
Alle PSMG1 Antikörper anzeigen
PSMG1
(Proteasome (Prosome, Macropain) Assembly Chaperone 1 (PSMG1))
Reaktivität
Alle Reaktivitäten für PSMG1 Antikörper
Human
Wirt
Alle Wirte für PSMG1 Antikörper
Kaninchen
Klonalität
Alle Klonalitäten für PSMG1 Antikörper
Polyklonal
Konjugat
Alle Konjugate für PSMG1 Antikörper
Dieser PSMG1 Antikörper ist unkonjugiert
Applikation
Alle Applikationen für PSMG1 Antikörper
Western Blotting (WB), Immunohistochemistry (IHC)
Produktdetails anti-PSMG1 Antikörper
(ausblenden)
Bindungsspezifität
Alle Epitope für PSMG1 Antikörper
AA 1-288
Verwendungszweck
PSMG1 Rabbit pAb
Sequenz
MAATFFGEVV KAPCRAGTED EEEEEEGRRE TPEDREVRLQ LARKREVRLL RRQTKTSLEV SLLEKYPCSK FIIAIGNNAV AFLSSFVMNS GVWEEVGCAK LWNEWCRTTD TTHLSSTEAF CVFYHLKSNP SVFLCQCSCY VAEDQQYQWL EKVFGSCPRK NMQITILTCR HVTDYKTSES TGSLPSPFLR ALKTQNFKDS ACCPLLEQPN IVHDLPAAVL SYCQVWKIPA ILYLCYTDVM KLDLITVEAF KPILSTRSLK GLVKNIPQST EILKKLMTTN EIQSNIYT
Kreuzreaktivität
Human, Maus, Ratte
Produktmerkmale
Polyclonal Antibodies
Aufreinigung
Affinity purification
Immunogen
Recombinant fusion protein containing a sequence corresponding to amino acids 1-288 of human PSMG1 (NP_003711.1).
Isotyp
IgG
Alternativen
(anzeigen)
Anwendungsinformationen
(ausblenden)
Applikationshinweise
WB,1:200 - 1:2000,IHC,1:50 - 1:200
Beschränkungen
Nur für Forschungszwecke einsetzbar
Handhabung
(ausblenden)
Format
Liquid
Buffer
PBS with 0.02 % sodium azide,50 % glycerol, pH 7.3.
Konservierungsmittel
Sodium azide
Vorsichtsmaßnahmen
This product contains Sodium azide: a POISONOUS AND HAZARDOUS SUBSTANCE which should be handled by trained staff only.
Lagerung
-20 °C
Informationen zur Lagerung
Store at -20°C. Avoid freeze / thaw cycles.
Details zu PSMG1
(ausblenden)
Target
PSMG1
(Proteasome (Prosome, Macropain) Assembly Chaperone 1 (PSMG1))
Andere Bezeichnung
PSMG1
Hintergrund
Chaperone protein which promotes assembly of the 20S proteasome as part of a heterodimer with PSMG2. The PSMG1-PSMG2 heterodimer binds to the PSMA5 and PSMA7 proteasome subunits, promotes assembly of the proteasome alpha subunits into the heteroheptameric alpha ring and prevents alpha ring dimerization.,PSMG1,C21LRP,DSCR2,LRPC21,PAC-1,PAC1,Signal Transduction,Cell Biology & Developmental Biology,Ubiquitin,PSMG1
Molekulargewicht
30kDa/32kDa
Gen-ID
8624
UniProt
O95456
Zuletzt angesehen
(ausblenden)
Sie sind hier:
Startseite
anti-PSMG1 Antikörper (AA 1-288) (ABIN7269593)
Chat with us , powered by LiveChat