Telefon:
+49 (0)241 95 163 153
Fax:
+49 (0)241 95 163 155
E-Mail:
orders@antikoerper-online.de

PTBP2 Antikörper

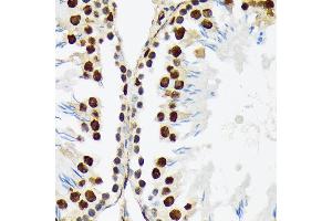
Der Kaninchen Monoklonal anti-PTBP2 Antikörper (ABIN7269465) detektiert spezifisch PTBP2 in WB, IHC und IF. Dieser Antikörper reagiert spezifisch mit Proben aus Human.
Produktnummer ABIN7269465
429,00 €
Zzgl. Versandkosten 20,00 € und MwSt
Lieferung nach: Deutschland
Lieferung in 7 bis 9 Werktagen

Kurzübersicht für PTBP2 Antikörper (ABIN7269465)

Target

Alle PTBP2 Antikörper anzeigen
PTBP2 (Polypyrimidine Tract Binding Protein 2 (PTBP2))

Reaktivität

  • 37
  • 22
  • 21
  • 4
  • 4
  • 4
  • 3
  • 3
  • 2
  • 2
  • 1
Human

Wirt

  • 30
  • 6
  • 1
Kaninchen

Klonalität

  • 19
  • 18
Monoklonal

Konjugat

  • 24
  • 2
  • 2
  • 1
  • 1
  • 1
  • 1
  • 1
  • 1
  • 1
  • 1
  • 1
Dieser PTBP2 Antikörper ist unkonjugiert

Applikation

  • 33
  • 18
  • 17
  • 16
  • 12
  • 4
  • 2
Western Blotting (WB), Immunohistochemistry (IHC), Immunofluorescence (IF)
Sie sind hier:
Chat with us!